whatsapp telegram vkontakte email

Что такое сегментарная пневмония легких

Сегментарная пневмония – это заболевание, которое характеризуется возникновением воспалительного процесса в одном из сегментов лёгкого. От очаговой пневмонии отличается тем, что поражает большую площадь этого органа и имеет более тяжёлое течение. В подавляющем большинстве случаев, развитию воспаления предшествует проникновение в человеческий организм болезнетворных агентов, оказывающих неблагоприятное влияние. Однако пульмонологи выделяют ряд дополнительных предрасполагающих факторов.

Такая разновидность воспаления лёгких клинически выражается в остром начале, резком возрастании температуры, ярко выраженной интоксикации организма и сильной болью в груди, может принимать затяжное течение и привести к развитию осложнений.

Основу диагностики составляют инструментальные обследования пациента, которые дополняются физикальным осмотром, изучением истории болезни и лабораторными исследованиями.

Как лечить сегментарную пневмонию может сказать только врач. Зачастую это консервативные методы, которые предполагают приём медикаментов и выполнение физиотерапевтических процедур. Стоит отметить, что терапия народными средствами в этом случае не только не эффективна, но и может усугубить состояние больного.

Этиология

Как и другие формы воспалительного процесса с локализацией в лёгких, сегментарная пневмония возникает на фоне проникновения в организм человека бактерий. Наиболее часто возбудителями недуга становятся:

  • пневмококки;
  • стрептококки;
  • стафилококки;
  • гемофильные палочки.

В несколько раз реже патологическими агентами выступают:

  • легионелла;
  • хламидия;
  • микоплазма.

Крайне редко источником инфекции становятся:

  • синегнойные палочки;
  • клебсиеллы;
  • кишечные палочки;
  • ацинобактерии.

Однако, несмотря на бактериальное происхождение, спровоцировать воспаление также могут вирусы, среди которых:

  • аденовирус;
  • возбудители ОРВИ;
  • возбудитель туберкулёза;
  • вирус парагриппа и другие респираторные вирусы.

Возбудители пневмонии в зависимости от условий инфицирования

Возбудители пневмонии в зависимости от условий инфицирования

Слабость иммунной системы – это главный предрасполагающий фактор, приводящий к тому, что патогенные микроорганизмы вызывают воспаление. Помимо иммунодефицитных состояний любой природы, в значительной степени повысить вероятность развития недуга могут:

  • патологии бронхов, в частности бронхит и астма, хроническая обструкция и бронхоспазм;
  • недуги лёгких, а именно ХОБЛ и плеврит, пневмоторакс и туберкулёз, а также злокачественные или доброкачественные новообразования;
  • заболевания со стороны сердечно-сосудистой системы;
  • онкологические процессы любой локализации;
  • продолжительная искусственная вентиляция лёгких;
  • многолетний стаж курения;
  • бесконтрольный приём медикаментов;
  • отравление токсинами;
  • протекание экссудативно-катарального диатеза у детей;
  • длительное переохлаждение организма;

Стоит отметить, что основную группу риска составляют дети и лица пожилого возраста. Тем не менее не исключается вероятность развития болезни у людей трудоспособной возрастной категории.

Также следует учитывать, что в каждом лёгком выделяется по несколько сегментов, которые по форме напоминают усечённый конус, а его верхушка направлена на корень лёгкого. Верхняя доля правого лёгкого включает в себя следующие сегменты:

  • верхушечный;
  • задний;
  • передний.

Средняя доля состоит из латерального и медиального сегмента, а нижняя из пяти частей, среди которых:

  • верхний;
  • медиальный базальный;
  • передний базальный;
  • латеральный базальный;
  • задний базальный.

Верхняя доля лёгкого, расположенного слева, образована такими сегментами:

  • верхушечным;
  • задним;
  • передним;
  • верхним язычковым;
  • нижним язычковым.

Составляющие нижней доли левого лёгкого полностью совпадают с сегментами правого лёгкого.

Классификация

По своему этиологическому фактору сегментарная пневмония у детей и взрослых бывает:

  • первичной – это означает, что патология выступает в качестве самостоятельного недуга и вызывается одним из вышеуказанных микроорганизмов;
  • вторичной – характеризуется тем, что развивается на фоне иных патологий, т. е. выступает их осложнением.

Первичный воспалительный процесс в том или ином сегменте лёгких делится на:

  • типичный – обуславливается влиянием бактерий из категории самых распространённых возбудителей;
  • атипичный – в таких случаях воспаление вызвано редкими разновидностями возбудителя;
  • вирусный – вызван увеличением численности вирусов;
  • грибковый – в качестве первопричины наиболее часто выступает аспергилла или кандида;
  • лекарственный;
  • токсический.

Помимо этого, существует несколько путей заражения, через которые патогенные микроорганизмы проникают в человеческий организм:

  • бронхогенный – возбудитель болезни попадает через вдыхаемый воздух;
  • гематогенный – с током крови;
  • метастатический – из иного очага воспаления в организме.

Разделение недуга в зависимости от места, где произошло заражение:

  • внебольничная или домашняя сегментальная пневмония;
  • нозокомиальная или внутрибольничная пневмония;
  • воспаление, связанное с оказанием медицинской помощи, в частности процедура искусственной вентиляции лёгких.

Классификация пневмонии

Классификация пневмонии

По тяжести протекания недуг проходит три степени:

  • лёгкую;
  • среднетяжелую;
  • тяжёлую.

В зависимости от количества поражённых сегментов заболевание делится:

  • собственно сегментарную пневмонию – при этом поражается лишь один сегмент левого или правого лёгкого;
  • полисегментарную пневмонию – о таком типе говорят тогда, когда в патологию вовлекается одновременно несколько сегментов;
  • субсегментарная пневмония – это воспаление части лёгочного сегмента, т. е. полностью верхней, средней или нижней доли.

Читайте также:

 

Статистика лечения пневмонии у новорожденных

Помимо этого, по локализации воспалительного очага выделяют левостороннюю и правостороннюю сегментарную пневмонию.

Симптоматика

В тех ситуациях, когда воспаление имеет бактериальную или вирусную природу, целесообразно отметить продолжительность периода инкубации – это промежуток времени с момента проникновения патологического агента до проявления первых внешних признаков. При типичных формах инкубационный период составляет примерно трое суток, а при атипичных может продолжаться до трёхнедельного срока.

Характерной особенностью такой разновидности воспаления лёгких является её острое начало, отчего основными симптомами сегментарной пневмонии у взрослых и детей принято считать:

  • резкое возрастание температуры до 39 градусов;
  • разбитость и сильные головные боли;
  • повышенное потоотделение и снижение работоспособности;
  • ломоту в теле и иные признаки интоксикационного синдрома;
  • нарушение ЧСС;
  • спутанность сознания и судорожные припадки – наиболее часто наблюдаются у детей;
  • редкий сухой кашель, во время которого слышен характерный свист. По мере прогрессирования воспаления появляется мокрота;
  • болезненность в области эпигастрия;
  • боли в грудной клетки со стороны поражённого сегмента. Примечательно то, что левосторонняя сегментарная пневмония встречается в несколько раз реже правосторонней;
  • понижение аппетита;
  • приступы тошноты и рвоты;
  • одышка;
  • расстройство акта дефекации;
  • нездоровый румянец на лице.

Диагностика

Чтобы клиницист смог заподозрить протекание именно сегментарной пневмонии, необходимо проведение не только ряда лабораторно-инструментальных обследований, но также манипуляций, выполняемых непосредственно пульмонологом.

Таким образом, первый этап установления правильного диагноза включает в себя:

  • ознакомление с историей болезни – для выявления хронического недуга, который мог бы привести к развитию сегментарного воспаления в лёгких;
  • сбор и анализ жизненного анамнеза больного;
  • тщательный физикальный осмотр, направленный на прослушивание пациента при помощи фонендоскопа и измерение температуры;
  • детальный опрос пациента – это нужно чтобы установить первое время появления и степень выраженности симптоматики, что, в свою очередь, укажет на тяжесть протекания недуга.

Лабораторно-инструментальные диагностические мероприятия включают в себя:

  • общеклинический анализ крови;
  • биохимию крови;
  • анализ мокроты, выделяемой при кашле;
  • бактериальный посев крови;
  • рентгенографию грудной клетки;
  • КТ и МРТ.

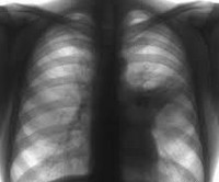
Рентгенограмма лёгких при сегментарной пневмонии

Рентгенограмма лёгких при сегментарной пневмонии

Все вышеуказанные процедуры позволяют не только поставить правильный диагноз, но также дифференцировать сегментальную пневмонию от:

  • туберкулёза лёгких;
  • первичного или метастатического рака левого или правого лёгкого;
  • инфаркта лёгкого;
  • облитерирующего бронхиолита;
  • постороннего предмета в бронхах;
  • очаговой, интерстициальной и лобарной формы пневмонии.

Лечение

Диагноз сегментарная пневмония предполагает проведение лечения в амбулаторных условиях, но исключение составляют дети и тяжёлое протекание воспалительного процесса.

Чтобы избавиться от болезни достаточно консервативных методик терапии, а именно:

  • приёма лекарственных препаратов;
  • дезинтоксикационного лечения;
  • физиотерапевтических процедур.

Медикаментозное лечение болезни предусматривает применение:

  • антибиотиков – их принимают курсом не менее двух недель;
  • муколитиков и отхаркивающих веществ;
  • бронхолитических средств;
  • антипиретиков;
  • антигистаминных лекарств;
  • глюкокортикостероидов;
  • седативных препаратов;
  • жаропонижающих, обезболивающих и других медикаментов, направленных на купирование симптоматики.

Помимо этого, лечащий врач может назначить пациенту такие физиотерапевтические процедуры:

  • УФО и УВЧ;
  • лекарственный электрофорез;
  • индуктотермия;
  • оксигенотерапия.

Оксигенотерапия

Оксигенотерапия

В обязательном порядке лечение должно дополняться:

  • вибромассажем грудной клетки;
  • дыхательной гимнастикой;
  • лечебным массажем.

Зачастую достаточно трёх недель комплексной терапии для полного выздоровления пациента.

Возможные осложнения

Наиболее часто развитие последствий обуславливается самостоятельными попытками вылечить заболевание народными средствами. В таких ситуациях не исключается формирование:

  • хронической пневмонии;
  • эмпиемы плевры;
  • локального пневмосклероза;
  • острой сердечной недостаточности;
  • бронхоэктазов;
  • фиброзного или серозного плеврита;
  • абсцесса или коллапса лёгкого;
  • артериальной гипотензии;
  • кардиоваскулярного или обструктивного синдрома;
  • нейротоксикоза.

Профилактика и прогноз

Специфических профилактических мер от сегментарной пневмонии не существует, но среди мероприятий, которые снижают вероятность формирования воспалительного процесса, стоит выделить:

  • вакцинация против бактерий и вирусов, которые могут выступать в качестве возбудителя болезни;
  • полный отказ от пагубных пристрастий;
  • рациональное и сбалансированное питание;
  • избегание переохлаждения организма;
  • по возможности сведение к минимуму влияния стрессовых ситуаций;
  • своевременное устранение патологий, которые могут выступать базовым недугом, на фоне которого развивается сегментарная пневмония;
  • приём лекарств, выписанных только лечащим врачом;
  • отказ от применения средств народной медицины для купирования первых признаков подобного заболевания – это нужно для предупреждения осложнений;
  • регулярное прохождение полноценного осмотра в клинике.

Ранняя ликвидация болезни приводит к тому, что сегментарное воспаление лёгких зачастую имеет благоприятный прогноз. Несмотря на то что осложнения развиваются достаточно редко, они могут привести к летальному исходу.

Все ли корректно в статье с медицинской точки зрения?

Ответьте только в том случае, если у вас есть подтвержденные медицинские знания

Читать нас на Яндекс.Дзен

Заболевания со схожими симптомами:

Читайте также:

 

История болезни внебольничная пневмония ребенок

Воспаление лёгких (официально – пневмония) – это воспалительный процесс в одном или обоих дыхательных органах, который обычно имеет инфекционную природу и вызывается различными вирусами, бактериями и грибками. В древние времена эта болезнь считалась одной из самых опасных, и, хотя современные средства лечения позволяют быстро и без последствий избавиться от инфекции, недуг не потерял своей актуальности. По официальным данным, в нашей стране ежегодно около миллиона людей страдают воспалением лёгких в той или иной форме.

Желтуха (совпадающих симптомов: 12 из 20)

Желтуха – патологический процесс, на формирование которого влияет большая концентрация в крови билирубина. Диагностировать недуг могут как у взрослых, так и у детей. Вызвать такое патологическое состояние способно любое заболевание, и все они абсолютно разные.

Астма (совпадающих симптомов: 10 из 20)

Астма — хроническое заболевание, которое характеризуется кратковременными приступами удушья, обусловленное спазмами в бронхах и отёком слизистой оболочки. Определённой группы риска и возрастных ограничений эта болезнь не имеет. Но, как показывает медицинская практика, женщины болеют астмой в 2 раза чаще. По официальным данным, на сегодня в мире проживает более 300 миллионов людей, больных астмой. Первые симптомы болезни проявляются чаще всего в детском возрасте. Люди пожилого возраста переносят заболевание намного сложнее.

Лёгочная недостаточность – состояние, характеризующееся неспособностью лёгочной системы поддерживать нормальный газовый состав крови, или же он стабилизируется за счёт сильного перенапряжения компенсаторных механизмов аппарата внешнего дыхания. Основа данного патологического процесса – нарушение газообмена в лёгочной системе. Из-за этого в тело человека не поступает требуемый объем кислорода, а уровень углекислого газа постоянно возрастает. Все это становится причиной кислородного голодания органов.

Предменструальный синдром – комплекс болезненных ощущений, которые возникают за десять дней до начала менструации. Признаки проявления данного расстройства и их совокупность имеют индивидуальный характер. У одних представительниц женского пола могут выражаться такими симптомами, как головная боль, резкая смена настроения, депрессия или плаксивость, а у других – болезненные ощущения в молочных железах, рвота или постоянные боли внизу живота.

Сегментарная пневмония

Сегментарная пневмония – воспаление морфофункциональной единицы доли легкого – бронхолегочного сегмента. Заболевание чаще возникает у детей. Сегментарная пневмония характеризуется острым началом, высокой лихорадкой, выраженной интоксикацией, отрывистым кашлем, болью в грудной клетке или животе. Может принимать затяжное течение, приводить к формированию пневмосклероза и бронхоэктазов. Сегментарная пневмония диагностируется по клиническим, физикальным, рентгенологическим и лабораторным данным. Лечение сегментарной пневмонии складывается из антибиотикотерапии, дезинтоксикации, оксигенотерапии, устранения бронхообструкции и сердечно-сосудистых нарушений.

Общие сведения

Сегментарная пневмония – отграниченное воспаление, охватывающее легочную ткань в границах одного или нескольких анатомических сегментов. Сегментарной пневмонией чаще болеют дети дошкольного возраста (3-7 лет), однако заболевание может поражать и детей других возрастных групп, и даже взрослых. На долю сегментарной пневмонии приходится около 25% всех острых пневмоний у детей. По частоте развития уступает только очаговой пневмонии. При одновременном поражении нескольких сегментов говорят о полисегментарной пневмонии; части легочного сегмента – о субсегментарной пневмонии.

Различают первичную сегментарную пневмонию (возникает как самостоятельное заболевание) и вторичную (развивается на фоне ОРВИ). Ввиду того, что сегментарная пневмония склонна к торпидному и осложненному течению, ее своевременное распознавание и адекватная терапия являются актуальной задачей пульмонологии и педиатрии.

Сегментарная пневмония

Сегментарная пневмония

Причины

Микробный пейзаж при первичной сегментарной пневмонии обычно представлен пневмококками, гемофильной палочкой, пиогенным стрептококком, стафилококком. Часто встречаются микст-инфекции (сочетание нескольких бактериальных агентов). Из атипичных возбудителей к формированию сегментарного воспаления легких могут приводить хламидия, микоплазма, легионелла. В этиологии сегментарной пневмонии существенное место занимают респираторные вирусы: гриппа, парагриппа, РС-вирус, аденовирус.

Пути проникновения и распространения инфекции типичные для других видов пневмоний – аэрозольный (при вдыхании возбудителей вместе с воздухом), аспирационный (при попадании возбудителей из носоглотки), гематогенный (при распространении возбудителей из других очагов инфекции в организме).

Фактора риска

Пневмонии сегментарного типа обычно поражают детей:

  • имеющих склонность к гиперергическим реакциям
  • страдающих проявлениями экссудативно-катарального диатеза.

У взрослых предрасполагающими факторами может выступать:

  • курение
  • хронический деформирующий бронхит
  • переохлаждение
  • снижение общей иммунной защиты.

Патанатомия

Бронхолегочные сегменты – это участки легочной ткани, входящие в состав доли, которые вентилируются собственными сегментарными бронхами и кровоснабжаются сегментарными ветвями легочной артерии. Сегменты имеют форму усеченного конуса, с верхушкой, обращенной к корню легкого. В каждом легком выделяют по десять сегментов (некоторые авторы в левом легком различают восемь сегментов). Верхняя доля правого легкого состоит из трех сегментов (верхушечного, заднего и переднего); средняя доля – из двух сегментов (латерального и медиального); нижняя – из пяти сегментов (верхнего, медиального базального, переднего базального, латерального базального, заднего базального). Верхняя доля левого легкого образована пятью сегментами (верхушечным, задним, передним, верхним язычковым и нижним язычковым); сегменты нижней доли левого легкого совпадают с таковыми в правом легком.

Читайте также:

 

Поможет ли флемоксин при пневмонии

Локальное воспаление одного или нескольких из перечисленных анатомических участков дыхательных путей и вызывает развитие сегментарной пневмонии, т. е. поражение всегда охватывает менее целой доли. Вовлеченные в воспалительный процесс сегменты, как правило, находятся в состоянии ателектаза. Чаще возникает правосторонняя сегментарная пневмония. В 95% процесс носит односторонний характер, только в 5% легочные сегменты поражаются с двух сторон.

Симптомы сегментарной пневмонии

Заболевание манифестирует остро: температура тела достигает 39°С, возникает ярко выраженный интоксикационный синдром (разбитость, потливость, адинамия, ломота в теле, головная боль), тахипноэ, тахикардия. У детей может отмечаться спутанность сознания, судороги. На второй-третий день болезни присоединяется редкий отрывистый кашель, боли в грудной клетке и в эпигастральной области. При полисегментарной пневмонии перечисленные симптомы выражены в большей степени, быстро развивается дыхательная недостаточность.

При своевременном лечении клинические признаки сегментарной пневмонии регрессируют через 10-12 дней, однако рентгенологические изменения сохраняются длительнее – две-три недели. Поскольку пораженный легочный сегмент, как правило, находится в состоянии ателектаза, сегментарная пневмония может приобретать торпидное течение и затягиваться на 2-3 месяца. Неразрешившаяся острая сегментарная пневмония может приводить к развитию хронической пневмонии, локального пневмосклероза и бронхоэктазов.

Осложнения

В числе осложнений полисегментарной пневмонии встречаются обструктивный синдром, серозный и фибринозный плеврит, эмпиема плевры, абсцесс легкого. Накопление в крови и тканях вирусных и бактериальных токсинов оказывает повреждающее действие, прежде всего, на сердечно-сосудистую систему и ЦНС, вызывая осложнения токсического характера: острую сердечную недостаточность, артериальную гипотензию, коллапс, кардиоваскулярный синдром, нейротоксикоз.

Диагностика

Примерно у четверти пациентов в первые дни болезни аускультативные и перкуторные данные скудные. В остальных случаях педиатр или пульмонолог может заподозрить сегментарную пневмонию по сочетанию клинической симптоматики с физикальными изменениями: стойкими влажными мелкопузырчатыми хрипами, бронхиальным дыханием, укорочением перкуторного звука.

Диагностические предположения подтверждаются на основании данных рентгенографии легких: на снимках выявляются гомогенные интенсивные тени в форме треугольника, имеющие четко очерченные границы, снижение структурности корня. Иногда сегментарную пневмонию удается выявить только при динамическом исследовании, когда появляется ателектатический компонент, придающий границам поражения характерную четкость. В периферической крови определяются острые воспалительные изменения, включающие лейкоцитоз, сдвиг формулы влево повышение СОЭ, наклонность к анемии.

Сегментарную пневмонию дифференцируют с туберкулезом легких, первичным и метастатическим раком легкого, инфарктом легкого, облитерирующим бронхиолитом, инородным телом в бронхах, а также другими клинико-рентгенологическими формами пневмоний (очаговой, лобарной, интерстициальной).

КТ ОГК. Ограниченная воспалительная инфильтрация легочной ткани в 6 сегменте нижней доли левого легкого.

КТ ОГК. Ограниченная воспалительная инфильтрация легочной ткани в 6 сегменте нижней доли левого легкого.

Лечение сегментарной пневмонии

Терапия сегментарной пневмонии направлена на борьбу с инфекционным началом, устранение дыхательной недостаточности, снижение токсической нагрузки, рассасывание воспалительных очагов в легких. Дети с отягощенным преморбидным фоном, тяжелым, осложненным и затяжным течением сегментарной пневмонии подлежат госпитализации, в остальных случаях терапия может проводиться амбулаторно.

  • Этиотропная антибактериальная терапия начинается сразу после установления диагноза и продолжается 10-14 дней. Стартовая терапия проводится препаратами широкого спектра действия (полусинтетические пенициллины, цефалоспорины, фторхинолоны).
  • Санация дыхательных путей. С целью ликвидации обструкции дыхательных путей назначаются отхаркивающие и муколитические средства, бронхолитические препараты, проводятся лечебные бронхоскопии, ультразвуковые ингаляции.
  • Посиндромная терапия направлена на восстановление нарушенных функций, с использованием антипиретиков, седативных, сердечно-сосудистых, антигистаминных средств, глюкокортикостероидов. С дезинтоксикационной целью выполняются внутривенные вливания глюкозо-солевых растворов; рассасыванию инфильтративных изменений способствует введение хлорида кальция. При выраженной дыхательной недостаточности назначается систематическая оксигенотерапия.
  • Физиотерапия. В периоде обратного развития сегментарной пневмонии медикаментозное лечение дополняется методами физиотерапевтического воздействия: УВЧ, индуктотермией, лекарственным электрофорезом, УФО на грудную клетку. Для улучшения дренажа бронхиального дерева показан вибромассаж, дыхательная гимнастика, массаж грудной клетки.

Прогноз

Легкие и среднетяжелые формы сегментарной пневмонии, как правило, заканчиваются полным выздоровлением в течение трех недель. Затяжное или осложненное течение обычно наблюдается при вирусной или бактериальной реинфекции, отягощенном преморбидном фоне, позднем или неадекватном лечении. При развитии токсических или гнойных осложнений прогноз сегментарной пневмонии может быть очень серьезным.

Ссылка на основную публикацию
Похожее