whatsapp telegram vkontakte email

Грибковый отит у собак malassezia

Малассезия – это дрожжевой грибок, который обитает на коже большинства собак. При ослаблении иммунитета микромицета прорастает, поражая слуховые каналы, морду, анальную складку, межпальцевые пространства. Рассмотрим причины активизации малассезии, способы уничтожения патогенного грибка.

Возбудитель

Дрожжи любят укромные, лишенные кислорода междукожные складки, где выполняют защитную функцию, не давая развиваться стафилококку. Однако, когда иммунная система собаки ослабевает, грибки начинают активно размножаться, вызывая заболевание. Малассезия поражает преимущественно пожилых животных. К заболеванию предрасположены собаки перечисленных ниже пород:

  • британские сеттеры;
  • кокер-спаниели;
  • таксы;
  • немецкие овчарки;
  • отдельные представители болонок, пуделей, терьеров.

Для человека и других пород собак малассезия не опасна.

Характерным признаком поражения собаки грибком малассезия является отит

Характерным признаком поражения собаки грибком малассезия является отит

Причины

Главной причиной возникновения недуга является ослабление иммунитета под воздействием следующих факторов:

  • дерматиты инфекционной и незаразной этиологии;
  • побочные действия медикаментов;
  • ненадлежащий или чрезмерный уход за шерстью;
  • аллергические состояния;
  • несбалансированное питание;
  • влажная жаркая погода.

Дерматиты инфекционной и незаразной этиологии

Все заболевания, вызывающие зуд, приводят к расчесам. Отличительной особенностью длинноухих собак является чрезмерное накопление ушной серки, что создает анаэробные условия, благоприятные для развития дрожжей. Среди факторов, способствующих активизации микромицет, выделяют следующие:

  • аллергические состояния;
  • блошиный дерматит;
  • ушной клещ.

Малассезия на морде

Малассезия на морде

Побочные действия медикаментов

При лечении хронических патологий применяют стероидные препараты, вызывающие гормональный сбой, характеризующийся кожным зудом и выпадением шерсти. Длительное использование антибиотиков, даже если не нарушается инструкция по их применению, приводит к уничтожению конкурентов дрожжей – условно болезнетворных бактерий.

Ненадлежащий или чрезмерный уход за шерстью

Если не вычесывать волосы у длинношерстных собак, под ней накапливаются не отслоившиеся частички эпидермиса, конденсируется влага, то есть создаются условия для размножения дрожжей. Наибольшую опасность для собаки представляют их не наигравшиеся в куклы хозяйки. Частые купания с применением моющих средств удаляют с поверхности кожи вещества, защищающие ее от условно патогенных микробов.

Несбалансированное питание

Дефицит витаминов, несбалансированность корма по аминокислотам приводят к ослаблению иммунитета и увеличению продолжительности линьки.

Влажная жаркая погода

У собаки отсутствуют потовые железы, поэтому они переносят жару, особенно влажную, тяжело. А для малассезии создаются благоприятные условия.

Симптомы

Для недуга характерны такие признаки:

  • зуд и расчесы на морде, в ушах, между пальцами;
  • себорея, шелушение кожи;
  • выпадение волос, возникновение аллопеций;
  • покраснение и утолщение шкуры;
  • выпотевание экссудата, развитие гнойного дерматита;
  • неприятный запах от пса.

При ненадлежащем лечении собака вылизывает пораженные участки и способствует разносу малассезии по всему туловищу, потому что теплая влажная слюна – идеальная для дрожжей среда обитания.

Малассезия на лапах

Малассезия на лапах

Диагностика и меры борьбы

По клиническим признакам малассезия напоминает микроспорию. В первом случае наблюдают отит. Для уточнения диагноза проводят микроскопию, цитологическое и гистологическое исследование отобранного патматериала, а также культивирование возбудителя на питательных субстратах.

Терапевтические процедуры предусматривают использование стандартных схем лечения микотических поражений. При обнаружении локальных очагов применяют фунгицидные мази, спреи, шампуни. Масштабные поражения требуют обработки патологических участков лекарственными препаратами в форме растворов или таблеток. При дрожжевом поражении возникает отит, поэтому следует уделить пристальное внимание устранению воспаления.

Курс лечения грибковых заболеваний продолжается неделями. Антимикотики обладают массой побочных действий, поэтому ветеринарный врач в дополнение к лечению основного заболевания назначает иммуномодуляторы, общеукрепляющие средства, гепатопротекторы.

Перечень медикаментов

Востребованы такие лекарственные формы препаратов:

  • мази, гели;
  • спреи;
  • шампуни;
  • растворы;
  • ушные капли;
  • таблетки.

Мази

Востребованы следующие препараты:

  • Микозон;
  • Клотримазол.
  • Тиабендазол;
  • Нистатин;
  • Ям.

Клотримазол

Клотримазол

Спреи

Аэрозоли распыляют над воспаленными участками. Если лечение не приносит результата, меняют препарат или назначают оральные средства. Востребованы следующие спреи:

  • Фунгин-Форте;
  • Ламизил;
  • Зоомикол.

Шампуни

Их наносят на пораженное место на срок, указанный в инструкции, например, 10 минут, и смывают водой. Широко применяются следующие препараты:

  • Низорал;
  • Кетоназол/Хлоргексидин;
  • Миконазол;
  • Пчелодар.

Клотримазол

Клотримазол

Растворы

Применяют, когда требуется обработка больших участков поражения или всей собаки. Популярны указанные ниже средства:

  • Имаверол;
  • Ливеразол;
  • Зонитон.

Ушные капли

Причиной возникновения отитов у собаки редко бывает один возбудитель. Чаще всего грибковые отиты сочетаются с паразитированием ушного клеща отодектеса. Поэтому и препараты следует выбирать многопланового действия. Лучше всего работают лекарства, в состав которых входят антимикотики, антифлогистанты, антисептики, акарициды, антигистаминные вещества. Лучшим препаратом считают Суролан. Приемлемой заменой ему является Аурикан. Перед обработкой основным лекарством уши очищают борным спиртом.

Читайте также:

 

Вылечить отит у собаки в домашних условиях

Суролан

Суролан

Таблетки

Оральные средства обладают побочными эффектами, поэтому их назначают, когда другие препараты не помогают. Популярны перечисленные далее средства:

  • Гризеофульвин;
  • Ирунин;
  • Интраконазол;
  • Флуканазол.

Профилактика

Малассезия поражает собак со сниженным иммунитетом. Выполнение оптимальных условий содержания и сбалансированное кормление предотвратят развитие грибка. К профилактическим мероприятиям следует отнести уход за шерстью и преодоление привычки купать собаку с применением моющих средств без крайней необходимости. По согласованию с ветеринарным врачом проводят профилактику при помощи Гамавита, Иммунофана или другого иммунокорректора.

Заключение

Малассезия постоянно находится на собаке, но заболевание вызывает при ослабленном иммунитете. Существует большое количество препаратов для лечения недуга, но лучшим способом борьбы с ним является профилактика.

Статья  и фото 1-33 из  книги SMALL ANIMAL DERMATOLOGYA COLOR ATLAS AND THERAPEUTIC GUIDE    2017 г

Перевод с англ.: ветеринар Васильев АВ

Этиология и патогенез

Как и стафилококки (см. Поверхностная пиодермия), грибки видов Malassezia являются нормальными комменсалами у большинства собак и кошек. Слизистые являются являются важным источником преходящей контаминации и инфекции, но защитные механизмы кожи в норме ограничивают колонизацию и инфекцию. Малассезионный  дерматит  собак и кошек обычно вторичен по отношению к другим состояниям. Подавляющее большинство инфекций собак ассоциировано с не липидзависимыми видами Malassezia pachydermatis , хотя M. furfur также встречается. У кошек выделяется большее количество видов, включая M. рachydermatis   и липидзависимые виды M. sympodialis и M. Furfur.

Клинические особенности

Малассезионный дерматит у собак   может встречаться у любой породы. Некоторые породы (напр. бассет хаунд и вестхайленд уайт терьер) предрасположены, хотя это может быть предрасположенность в большей степени к первичным причинам, чем собственно к Malassezia . Клинические проявления представляют собой наружный отит, зуд, эритему, шелушение, алопецию, лихенификацию, гиперпигментацию и прогорклый, плесневый, дрожжевой запах. Клинические симптомы могут быть фокальными и генерализованными, диффузными или хорошо отграниченными. Часто поражаемый регионы включают ушные раковины, губы, морду, вентральную часть шеи, ступни, область подмышек, медиальные части лап и перианальную область. Malassezia также может вызывать паронихию с воскоподобным экссудатом и обесцвечиванием когтей.

Зуд у кошек с малассезионным  дерматитом  наблюдается реже. Клинические симптомы включают наружный отит; акне кошек; себоррейный и чешуйчатый лицевой дерматит; генерализованное шелушение и эритема; паронихию с обесцвечиванием когтей (особенно у кошек Девон рекс). Генерализованная эритема и шелушение ассоциированы с малассезионным дерматитом  у кошек с тимомой, лимфоцитарным муральным фолликулитом и паранеопластической алопецией.

Дифференциальные  диагнозы

Многие состояния кожи могут быть похожи на малассезионный дерматит  (табл 1) и это осложняется тем фактом, что многие из них также могут быть запускающим механизмом для вторичной Malassezia инфекции.

Диагноз

Не существует согласованных критериев диагностики малассезионного дерматита собак и кошек, но обнаружение увеличенного количества Malassezia с хорошим клиническим и микологическим ответом является диагностичным. Грибки Malassezia легко визуализируются как маленькие, овальные,имеющие форму земляного ореха или снеговика,обьекты, часто формирующие скопления на поверхности чешуек, на полосках скотч -ленты и прямых или непрямых мазках -отпечатках. Они часто окрашиваются сине -фиолетовым цветом, но могут выглядеть бледно-красными или бледно-голубыми .Некоторые Malassezia плохо окрашиваются, но их рефрактерную клеточную стенку можно различить при приближении конденсора. Не существует стандартных пороговых значений для диагностики малассезионного дерматита,тем более, что они могут быть неоднородно распределены на слайде. На практике, только случайные грибки Malassezia находятся на здоровой коже.

M. pachydermatis будет расти на среде Сабуро, хотя липидзависимые виды требуют поддерживающую среду, такую как модифицированный агар Диксона. Однако, поскольку Malassezia являются комменсалами, выделение их,особенно в небольших количествах, не обязательно является значимым.

Malassezia могут находиться в поверхностных кератиновых корочках и волосяных фолликулах, но часто удаляются при обработке кожи. Malassezia могут быть также случайной находкой при выполнении биопсии кожи при других дерматозах. Гистопатологически, малассезионный дерматит характеризуется акантозом, гиперкератозом и поверхностным воспалительным инфильтратом. Исследования показали, что у части атопичных собак развиваются специфические титры IgE и   положительные интрадермальные тесты на введение экстрактов Malassezia, что говорит о том, что они могут действовать как аллергены. Специфические серологические и интрадермальные тесты на Malassezia доступны, хотя клиническая значимость гиперчувствительности на Malassezia и эффективность противогрибковой терапии при атопическом дерматите собак неясны.

Табл 1 Дифференциальный диагноз малассезионного дерматита собак и кошек

Лечение

Местное лечение

Местное лечение, как правило, наиболее экономически эффективный и безопасный метод лечения малассезионного дерматита собак и кошек (Табл 2). Однако,это также наиболее трудоемкий метод и, поэтому,не обязательно подходит во всех случаях.Локализованные зоны малассезионного дерматита(напр. складки тела) могут лечиться местной обработкой противогрибковыми препаратами,но при мультифокальной или генерализованной формах малассезионного дерматита должна обрабатываться вся кожа тела.Это, в частности, важно при лечении ушей, слизистокожных соединений и лап, поскольку они, вероятно, являются резервуарами Malassezia. Лечение должно продолжаться ежедневно до трех раз в неделю до выздоровления, затем по мере необходимости, чтобы поддерживать улучшение. Лечение с обезжиривающими шампунями или антибактериальными продуктами также может быть необходимым первоначально.Побочные реакции встречаются нечасто, хотя большинство из противогрибковых препаратов может высушивать и раздражать кожу и может возникнуть необходимость комбинировать их со смягчающими шампунями или ополаскивателями. Другие методы лечения включают применение лосьонов, мазей и кремов,содержащих кетоконазол, клотримазол или миконазол, хотя они не лицензированы для применения у животных. Однопроцентный лосьон с тербинафином эффективен у людей с себоррейным дерматитом.

Читайте также:

 

Последствия прокола уха при отите

Системная терапия

Кетоконазол (5-10 мг/кг перорально, каждые 24 часа, не лицензирован у животных) и итраконазол (5 мг/кг перорально каждые 24 часа) высоко эффективны. Клиническое улучшение должно быть очевидным после 7-14 дней, хотя лечение должно продолжаться в течение 7-14 дней после клинического выздоровления.В некоторых случаях могут быть необходимы поддерживающие дозы 2-3 раза в неделю. Побочные эффекты могут включать анорексию, рвоту, диарею,повреждение печени, васкулит и тератогенность. Итраконазол лучше переносится, чем кетоконазол. Системное назначение тербинафина (30 мг/кг перорально,каждые 24 часа) также эффективно и хорошо переносится, но не лицензировано для собак.

Табл 2. Местное лечение малассезионного дерматита собак и кошек

Препараты

Преимущества

Примечания

2%миконазол/2%хлоргексидин

Отличные антибактериальные и антигрибковые свойства;

остаточный эффект

Может быть высушивающим и раздражающим; безопасен для кошек

2-4% хлоргексидин

Хорошее антибактериальное и антигрибковое действие;

остаточная активность

Может быть высушивающим и раздражающим; безопасен для кошек

2% сера/2% салициловая кислота

Антибактериальное,антигрибковое,

кератолитическое, кератопластическое и противозудное действие

Хорошо переносится при длительном использовании; безопасен у кошек

Пироктона оламин и моносахариды

Регулирует микробный баланс и препятствует адгезии

Хорошо переносится при длительном использовании; безопасен у кошек

1% сульфид селена

Хороший противогрибковый,противопаразитарный и кератолитический агент

Может быть высушивающим и раздражающим; безопасен для кошек

Энилконазол

Хороший противогрибковый эффект

Может быть токсичен у кошек

Зоонотический потенциал

Продемонстрирован перенос инфекции M. Pachydermatis владельцам собак. Это не должно вызывать опасения у здоровых людей, но имеются сообщения о зоонотических инфекциях у взрослых и новорожденных с ослабленной иммунной системой.

Ключевые моменты

  • Зуд, наблюдающийся при  малассезионным дерматите собак и кошек, может быть рефрактерным к стероидной терапии.
  • В большинстве случаев, но не во всех, инфекция ассоциирована с лежащим в основе заболеванием

Паттерн распределения при малассезионном дерматите собак и кошек

Грибковый отит у собак malasseziaГрибковый отит у собак malassezia

Фото 1 Малассезионный дерматит у собак и кошек.  Выраженная алопеция, лихенификация и гиперпигментация  кожи нижней части туловища и лап  у вестхайленд уайт терьера.  Грибковая инфекция была вторичной к аллергическому дерматиту.

Грибковый отит у собак malassezia

Фото  2 Малассезионный дерматит у собак  и кошек.. Алопеция, эритема и лихенификация вентральной части шеи у аллергичной собаки.

Грибковый отит у собак malassezia

Фото 3  Малассезионный дерматит у собак и кошек.. Пододерматит, вызванный вторичной грибковой  инфекцией, с  типичной алопецией и лихенификацией,  характерной  для Malassezia дерматита.

Грибковый отит у собак malassezia

Фото 4 Малассезионный дерматит у собак и кошек.. Выраженный пододерматит с интенсивным воспалительным ответом, вызванным реакцией гиперчувствительности к грибкам Malassezia Очевидны выраженная эритема, алопеция и лихенификация.

Грибковый отит у собак malassezia

Фото 5 Малассезионный дерматит у собак и кошек . Межпальцевый дерматит у этого пациента был вызван вторичной Malassezia инфекцией. Жирная, облысевшая, воспаленная  кожа  между подушечками пальцев типична для грибкового пододерматита.

Грибковый отит у собак malassezia

Фото  6 Малассезионный дерматит у собак и кошек. Коричневое окрашивание вокруг  основания когтей является уникальным изменением, типичным для инфекции Malassezia

Грибковый отит у собак malassezia

Фото 7 Малассезионный дерматит у собак и кошек .  Коричневое окрашивание, вызванное  грибковой инфекцией,  более выражено на основании когтей и может дифференцироваться  от нормальной пигментации пятнистым и прерывистым видом.

Грибковый отит у собак malassezia

Фото 8 Малассезионный дерматит у собак и кошек. . Вторичный грибковый отит является  частой находкой у  пациентов с лежащей в основе первичной аллергией или эндокринным заболеванием. Наружный слуховой проход и ушная раковина демонстрируют алопецию, интенсивную эритему и лихенификацию, типичные для Malassezia дерматита.

Читайте также:

 

Отит можно ли на море

Грибковый отит у собак malassezia

Фото   9 Малассезионный дерматит у собак и кошек. Перианальный дерматит, вызванный вторичной грибковой, инфекцией у собаки с пищевой аллергией. Алопеция, эритема и лихенификация характерны для Malassezia дерматита.

Грибковый отит у собак malassezia

Фото  10 Малассезионный дерматит у собак и кошек . Грибковый дерматит может вызывать поражения, типичные для  акне кошек. Очевидны  алопеция, изменение цвета  и комедоны.

Грибковый отит у собак malassezia

Фото 11 Малассезионный дерматит у собак и кошек . Периоральный дерматит  у этой кошки был вызван инфекцией Malassezia

Грибковый отит у собак malassezia

Фото 12 Малассезионный дерматит у собак и кошек . Вторичная грибковая инфекция может вызывать жирную себоррею у кошек. Восковидный экссудат, скапливающийся в основании волос кошки, типичен для  малассезионного дерматита у кошек.

Грибковый отит у собак malassezia

Фото  13 Малассезионный дерматит у собак и кошек.. Характерное поражения типа « слоновья кожа»  с алопецией, эритемой, гиперпигментацией и лихенификацией, вызванное инфекцией  Malassezia.

Грибковый отит у собак malassezia

Фото 14  Малассезионный дерматит у собак и кошек.. Этот папулярный дерматит передней лапы у аллергичной собаки был вызван  вторичной грибковой инфекцией. Папулярный дерматит представляет собой  необычный тип поражения, ассоциированный с Malassezia дерматитом, и более типичен для бактериальной пиодермии

Грибковый отит у собак malassezia

Фото 15 Малассезионный дерматит у собак и кошек. Более типичный грибковый дерматит передней лапы, в сравнении с фото  14. Алопеция, гиперпигментация и лихенификация («слоновья кожа») очень характерны для грибкового дерматита.

Грибковый отит у собак malassezia

Фото 16 Малассезионный дерматит у собак и кошек. Этот молодой бигль демонстрирует  изменение окраски волос  на коричневую на нижних частях лап и туловища. Волосы и кожа жирные с прогорклым запахом, типичным для грибковой инфекции.

Грибковый отит у собак malassezia

Фото  17 Малассезионный дерматит у собак и кошек.. Вид вблизи собаки с фото 16.  Очевидно изменение окраски лап на коричневую, оно представляет собой раннее изменение, вызванной инфекцией Malassezia

Грибковый отит у собак malassezia

Фото  18  Малассезионный дерматит у собак и кошек. Генерализованная   алопеция и лихенификация у взрослой колли. Грибковая инфекция была вторичной к аллергическому дерматиту.

Грибковый отит у собак malassezia

Фото  19 Малассезионный дерматит у собак и кошек.. Генерализованная алопеция и лихенификация (« слоновья кожа»),типичная для Malassezia дерматита, у собаки  с первичной идиопатической себорреей

Грибковый отит у собак malassezia

Фото  20 Малассезионный дерматит у собак и кошек. Генерализованная алопеция с интенсивной эритемой, вызванная  реакцией гиперчувствительности к грибкам, у собаки с выраженным Malassezia дерматитом, вторичным к аллергии.

Грибковый отит у собак malassezia

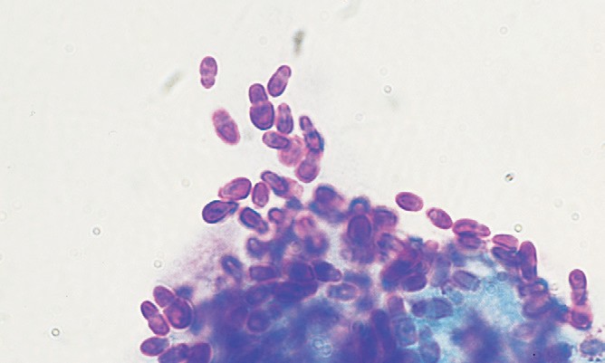
Фото  21 Малассезионный дерматит у собак и кошек.  Цитологическое исследование  грибков  Malassezia  с обьективом  ´100

Грибковый отит у собак malassezia

Фото  22 Малассезионный дерматит у собак и кошек. Вид вблизи собаки с фото 20. Интенсивная эритема и алопеция с ранней лихенификацией, вызванной  реакций на грибки.

Грибковый отит у собак malassezia

Фото 23 Малассезионный дерматит у собак и кошек. Вид вблизи собаки с фото 20. Интенсивная эритема и алопеция, вызванные  реакцией гиперчувствительности на грибки наблюдается в области грудной клетки. Кожа начинает становиться лихенифицированной, типичной для Malassezia дерматита.

Грибковый отит у собак malassezia

Фото  24 Малассезионный дерматит у собак и кошек. Выраженная алопеция и лихенификация, типичные для грибкового дерматита, на нижней части туловища у аллергичной собаки.

Грибковый отит у собак malassezia

Фото 25 Малассезионный дерматит у собак и кошек. Коричневое пятнистое обесцвечивание когтей является уникальным симптомом грибкового дерматита.

Грибковый отит у собак malassezia

Фото 26 Малассезионный дерматит у собак и кошек. Изменение окраски когтей на коричневую характерно для  грибкового дерматита. Если бы коричневая окраска когтя была естественной, то окрашивание распостранялось  бы на всю поверхность когтей.

Грибковый отит у собак malassezia

Фото  27 Малассезионный дерматит у собак и кошек. Коричневое пятнистое окрашивание когтей  является уникальным симптомом грибкового дерматита.

Грибковый отит у собак malassezia

Фото  28 Малассезионный дерматит у собак и кошек. Выраженный пододерматит у собаки с атопией. Грибковая инфекция поразила кожу и когти у этой собаки.

Грибковый отит у собак malassezia

Фото  29 Малассезионный дерматит у собак и кошек.. Выраженная эритема и алопеция подмышек у собаки.Обратите внимание на начало формирования влажного экссудата.

Грибковый отит у собак malassezia

Фото 30 Малассезионный дерматит у собак и кошек. Эта папулярная сыпь  с чешуйками более типична для фолликулита, демонстрируя  необходимость  стандартной  цитологии кожи для дифференциации причины инфекции.

Грибковый отит у собак malassezia

Фото 31 Малассезионный дерматит у собак и кошек. Выраженная эритема и алопеция с формированием эрозии. Это глубокое поражение не типично для грибковой инфекции, но было диагностировано с помощью цитологии кожи.

Грибковый отит у собак malassezia

Фото 32 Малассезионный дерматит у собак и кошек. Генерализованная жирная себоррея кожи   и шерсти является частым симптомом грибковой инфекции.

Грибковый отит у собак malassezia

Фото 33 Малассезионный дерматит у собак и кошек. Коричневое пятнистое  окрашивание когтей является уникальным симптомом грибкового дерматита.

Ссылка на основную публикацию
Похожее