whatsapp telegram vkontakte email

Хламидийная пневмония симптомы у взрослых лечение

Пневмония в общем смысле представляется заболеванием инфекционного генеза. Несколько реже речь идет об аутоиммунных факторах развития воспалений легочной ткани, и иных неинфекционных причинах.

Заболевание, в общем смысле, определяется значительной опасностью для жизни и здоровья пациента, поскольку велика вероятность становления патологических последствий, вплоть до летального исхода.

Особенно опасно формирование стойкой дыхательной недостаточности и иных осложнений. В зависимости от типа возбудителя, патолгия разнится.

Наиболее опасны в плане летальности так называемые атипичные ее формы, которые складываются не так часто (около 5-15% всех клинических случаев и случаев обращения к врачу терапевту или пульмонологу по России). 

Хламидийная пневмония — это атипичная и высоко летальная форма воспаления легких. Встречается в 1-3% от всех случаев по общей статистике, но считаются одними из наиболее распространенных в структуре атипичных пневмоний.

Причины развития патологии

Все факторы становления описываемого заболевания подразделяются на несколько категорий. Первая категория причин развития пневмоний, ассоциированных с поражением хламидиями — это проникновение в организм патогенной флоры.

Хламидии сами по себе не являются гомогенной группой. Это целый конгломерат микроорганизмов, различных по патогенным свойствам, вирулентности (заразности), способам передачи. Следует кратко сказать о каждой из форм.

  • Chlamydophila pneumoniae. 

Хламидофилы данной группы вызывают стойкие и резистентные к лечению формы пневмонии. Они отличаются сравнительно мягким течением, хотя и имеют выраженную склонность к быстрой хронизации и частому рецидивированию независимо от того, поражают взрослых или детей.

Взрослые страдают чаще в несколько раз, что обусловлено, преимущественно, не воздушно-капельным способом транспортировки микроорганизма. Хотя и такой способ возможен.

  • Сhlamydia trachomatis. 

546464363

Хламидия трахоматис является типичным облигатным микроорганизмом, обитающим в мочеполовой системе. Никогда не транспортируется от человека к человеку воздушно-капельным путем, кроме случаев орально-генитальных контактов с последующим взаимодействием с окружающей средой и людьми.

Провоцирует сложные формы воспаления легких с выраженными симптомами и тяжелыми осложнениями. В этом отношении хламидия трахоматис мало уступает в своей летальности легионеллам и иным сходным организмам. Требуется срочное лечение под контролем специалиста. Наиболее часто страдают груднички (дети в возрасте до 6 месяцев в группе особого риска).

  • Chlamydophila psittaci.

Орнитоз. Ассоциирован с провокацией особенно тяжелых и потенциально летальных форм пневмонии. Отличается наибольшей опасностью для жизни и здоровья пациента.

234534

Провоцирует интерстициальные воспаления легких, которые сами по себе считаются почти в 90% летальными (кроме некоторых форм). Чаще всего страдают сотрудники лабораторий. Инфекция имеет свойство передаваться воздушно-капельным путем. Характерные симптомы данной формы — высокая температура до пиретических отметок (39.5-40.5 градусов), с ознобом и сильными головными болями. 

Как передается заболевание?

Наиболее часто речь идет именно о подобных трех типах инфекционного поражения. Хотя возможно поражение и иными видами хламидий. Все микроорганизмы транспортируются по организму хозяина лимфогенным (с током лимфы) и гематогенным (с током крови) путями.

Пути же транспортировки от пациента к пациенту многообразны:

  • Воздушно-капельный путь.
  • Бытовой путь (от человека к человеку через рукопожатия, поцелуи, физические контакты иного рода кроме половых).
  • Половые контакты. Особенно орально-генитальные незащищенные акты с проникновением хламидий в ротовую полость и нижние дыхательные пути хозяина.
  • Перинатальный путь. Хламидии могут проникнуть в организм ребенка через плаценту инфицированной матери. Достаточно быть просто носительницей патогенной флоры.
  • Нисходящий путь. При прохождении по родовым путям матери. По этой причине инфицированным женщинам рекомендуют сначала пройти курс полного лечения. В крайних случаях не обойтись без кесарева сечения.

Факторы, влияющие на возможность заболеть

Вторая категория факторов — это снижение иммунитета. Можно с уверенностью сказать, весьма немалый процент людей отличается носительством хламидийной инфекции, но болеют далеко не все. В чем же причина?

Причина в работе иммунитета. Если защитная система достаточно эффективно справляется со своими «обязанностями», у инфекции нет шансов. В противном же случае начинается воспаление легких.

Одна хламидия, попавшая в организм, через 3 суток размножается в 1000 раз.

Особенно большую опасность хламидийная пневмония представляет для детей грудного возраста. У 25% грудничков развивается конъюнктивит, осложненный воспалением легких. И виновником как раз является указанный микроорганизм.

Почему же снижается защитная функция организма:

  • Первая причина касается постоянных физических нагрузок. Изнуряя себя в спортзалах, человек надеется стать здоровее, но это ложная надежда и опасная иллюзия. Все дело в том, что в результате физических нагрузок, особенно непосильных, организм оказывается в состоянии дистресса. Это опасно, поскольку чревато синтезом адреналина, норадреналина и кортизола, которые подавляют выработку иммунных клеток.
  • Психоэмоциональные нагрузки. Сказываются на организме абсолютно идентичным образом. Длительные и тяжелые стрессы не добавляют здоровья, а лишь подтачивают иммунитет, создавая предпосылки для инфицирования и дальнейшего развития болезни.
  • Употребление спиртного в неумеренных количествах. Сказывается на организме неблагоприятным образом, вызывая вторичный атеросклероз.
  • То же самое с телом человека делает и курение. Клетки иммунитета попросту не успевают к месту назначения (говоря образно).

Вот две основных группы факторов, именно их и нужно корректировать, дыба не стать заложником патологии.

Симптоматика

Симптомы хламидийной пневмонии достаточно специфичны. Хотя, как говорится, «на глаз» одну форму воспаления легких от другой формы отграничить попросту невозможно.

Такая форма воспаления легких развивается по стандартной схеме. Первый признак заболевания — это небольшое повышение температуры тела, до субфебрильных или фебрильных отметок (37.5-38.5 градусов).

Читайте также:

 

При лечении пневмонии антибиотиками сколько будет держаться температура

При этом пациент испытывает целую «палитру» неприятных ощущений: головную боль, головокружение, тошноту. Это вызвано общей интоксикацией организма. В крайних случаях возможна рвота, понос и другие общие проявления, которые несколько ухудшают прогноз излечения. Это означает, что болезнь находится в тяжелой форме.

Далее развиваются следующие симптомы:

  • Кашель. На 3-5 день начинается сухой непродуктивный кашель. Мокрота не выделяется, однако рефлекс продолжается. Спустя неделю или полторы кашель приобретает влажный характер. Мокрота желтоватого или зеленоватого оттенка с прожилками крови. 
  • Одышка, удушье. В первом случае пациент начинает чаще дышать, во втором — задыхается. Это наиболее грозное проявление недуга.
  • Хрипы в легких. В острой стадии заболевания, всегда влажные.
  • Боли за грудиной. Проявляются почти всегда.

Хламидийная пневмония симптомы у взрослых лечение

При интерстициальной форме воспаления легких, симптоматика отсроченная или полностью отсутствует. Узнать какой же микроорганизм «принял участие» в поражении легких можно только посредством объективной диагностики.

Диагностика

Диагностикой проблем с легкими, в том числе пневмонии занимаются специалисты-пульмонологи и терапевты. На первичном приеме специалист проводит устный опрос пациента.

Необходимо выявить типичные жалобы на здоровье. Определиться с характерными симптомами и сделать предположения касательно источника проблемы. Далее показано исследование легких.

Назначаются:

  1. Рентгенография органов грудной клетки. Хламидийная пневмония характерна отсутствием рентгеновских признаков (засветов и затемнений) в отличие от бактериальной.
  2. Бронхоскопия. Назначается в отсутствии конкретики после проведения рентгенографии легких, но при сохранении патологической симптоматики на протяжении нескольких дней. Проводится не всегда и разрешена не всем.

Два указанных исследования показаны для постановки общего диагноза — пневмония. Определить какой именно это вид позволяют следующие лабораторные анализы.

Сдают:

  • Общий анализ крови.
  • Общий анализ мокроты. Проводится посев биоматериала на питательные среды.
  • Кровь для ПЦР-диагностики. ПЦР предполагает поиск следов ДНК возбудителя в кровеносном русле. 
  • Кровь для ИФА-исследования. Дает возможность по характеру антител определиться с вероятным возбудителем.
  • Кровь для МИФ анализа. Повышение титров IgG/IgА в парных сыворотках более чем в 4 раза так же является положительным результатом.

Что означает положительный результат IgM, IgA и IgG в ИФА исследовании

45345353

В деле ИФА-диагностики микроорганизма Chlamydia Pneumoniae большую роль играет определение титров специфических иммуноглобулинов IgM, IgA и IgG.

Первые появляются в организме спустя 1-7 недель с момента инфицирования. Это так называемые быстрые иммуноглобулины, позволяющие организму стремительно среагировать на появившуюся угрозу. Чем выше концентрация бактерий в организме, тем интенсивнее иммунный ответ, и тем больше иммуноглобулинов вырабатывается и, соответственно, определяется в крови.

В отсутствии грамотной терапии IgM-иммуноглобулины увеличиваются в числе. По мере начала терапии? или угасания инфекции? количество антител снижается до минимума, а затем они вовсе исчезают. Стойкого иммунитета данные тельца не образуют.

Поскольку выработка иммуноглобулинов начинается спустя приличный срок (как уже было сказано, 1-7 недель), ИФА-исследование категорически не подходит для ранней диагностики проявления хламидийной пневмонии. Требуется осуществление ПЦР (полимеразной цепной реакции).

Иммуноглобулины класса IgA появляются спустя еще более длительный срок и свидетельствуют в пользу становления иммунитета, но ещё неустойчивого. Однако силы указанных телец недостаточно для полного излечения. Организму нужно помочь посредством правильного лечения. Показатель подходит для оценки эффективности терапии. Как только методика воздействия дает результаты, титры начинают резко снижаться.

Наконец, существует и третий тип защитных телец, иммуноглобулины класса G. Они свидетельствуют в пользу формирования стойкого иммунитета и говорят о перенесенном недавно заболевании или о его хронизации. Наиболее часто, о хроническом течении говорит одновременное сочетание в крови иммуноглобулинов A и G. Такая форма пневмонии плохо поддается лечению.

В комплексе данных обследований хватает. Необходимо как можно быстрее начинать лечение.

Методы терапии

Лечение представляет определенные сложности, что связано с особенностями поражения организма хламидиями.

Назначаются антибиотики группы фторхинолонов (Ципрофлоксацин, Офлоксацин, Левофлоксацин), тетрациклинов (Доксициклин и Моноциклин), макролидов (Кларитромицин, Эритромицин и Спирамицин) —  наиболее предпочтительны именно они. Длительность курса лечения антибиотиками составляет около 3 недель.

464564574

Терапия включает так же прием противовоспалительных нестероидных препаратов и иммуномодуляторов для усиления иммунного ответа.

Важно поддержать организм витаминами, прописываются особые комплексы, диета.

По окончании острой фазы показаны дыхательная гимнастика, физиолечение. 

Прогноз

Условно благоприятный. Важно вовремя начать лечение, чтобы болезнь не перешла в хроническую фазу.

При поражении Chlamydophila psittaci условно неблагоприятен, поскольку этот микроорганизм отличается значительной агрессивностью, способен поражать суставы, глаза, Требуется более интенсивное лечение.

Хламидийная пневмония считается опасной формой воспаления легких. Лечение во всех случаях должно начинаться незамедлительно, дабы не начались осложнения. Прогноз во многом зависит от типа возбудителя. Однако во всех случаях возможно полное выздоровление.

Антитела повышены IgM IgG

Хламидиоз — определение, инкубационный период, симптомы

Вконтакте

Facebook

Одноклассники

Мой мир

Хламидийная пневмония симптомы у взрослых лечение

Хламидия пневмония — возбудитель тяжелого воспалительного процесса в легочной ткани, который с трудом поддается терапии, часто протекает в атипичной форме и заканчивается летальным исходом. Хламидия — микроб-паразит, обитающий внутри клеток организма человека и провоцирующий развитие различных заболеваний. Название «хламидия» в переводе с древнегреческого языка означает «мантия» и отражает наличие оболочки вокруг микробных частиц.

Хламидийная пневмония отличается особой симптоматикой и атипичным развитием. Попав в клетку человеческого организма, хламидии начинают активно размножаться и образовывать ретикулярные тельца, которые разрывают клеточные оболочки и выходят в кровяное русло. Так развивается инфекционный процесс. У больных на фоне высокой температуры возникает сухой приступообразный мучительный кашель, появляется боль и першение в горле, охриплость голоса, насморк и другие респираторные проявления. В дальнейшем присоединяются внелегочные признаки — миалгия, артралгия, цефалгия, лимфаденит. Симптомы хламидийной инфекции во многом напоминают банальное ОРВИ, что затрудняет диагностику пневмонии. Характерной особенностью chlamydia pneumoniae является способность размножения в различных типах клеток. Поэтому хламидийная пневмония нередко сопровождается отитом, синуситом, бронхитом, тонзиллитом.

Патология у детей протекает намного тяжелее, чем у взрослых. У лиц с иммунодефицитом стремительно нарастает интоксикация, развивается гепатоспленомегалия и осложнения, опасные для жизни. Хламидийная пневмония возникает как спорадическое воспаление среди молодого контингента. Описаны вспышки инфекции в изолированных коллективах и отдельных семьях.

Диагностика недуга заключается в проведении аускультации, рентгенографии органов грудной полости, бактериологического исследования отделяемого зева, иммунограммы. Всех больных необходимо изолировать от окружающих и обеспечить им полный покой. Инфекция распространяется капельным путем и считается довольно контагиозной. Лечение заключается в проведении противомикробной терапии, применении иммуномодуляторов и физиотерапевтических процедур. Неадекватная терапия — причина рецидива и высокого риска инфицирования родных и близких. Длительный хламидиоз осложняется развитием бронхиальной астмы и прочими тяжелыми недугами.

Читайте также:

 

Как лечится пневмония при беременности

Хламидийная и микоплазменная пневмонии – заболевания, вызванные атипичными микроорганизмами, на сегодняшний день являются важной проблемой диагностики и терапии.

Этиология

Chlamydia pneumoniae – микроб семейства Chlamydiaceae, представляющий в этиологическом отношении практический интерес для пульмонологии.

804985038459389

Chlamydia pneumoniae

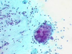
Хламидия — очень мелкий неподвижный микроорганизм, имеющий округлую форму и не образующий капсулы. Он занимает промежуточное положение в иерархии живых форм. Хламидии напоминают вирусы тем, что располагаются внутри клетки хозяина и потребляют ее энергию. Самостоятельно они не способны синтезировать АТФ. Как и бактерии, хламидии содержат ДНК и РНК, рибосомы, бинарно делятся и имеют твердую, липополисахаридную оболочку.

По Граму хламидии не окрашиваются. Основным методом их выявления является окраска по Романовскому-Гимзе. В мазке элементарные тельца имеют пурпурный цвет, а ретикулярные тельца голубой.

Патогенность, токсигенность и вирулентность хламидий обусловлена белками-адгезинами наружной мембраны, эндо- и экзотоксинами, а также белком теплового шока.

Хламидии распространены повсеместно. Их главные хозяева – человек, птицы и млекопитающие. Бактерии неустойчивы во внешней среде и весьма чувствительны к нагреванию, высушиванию, УФ-облучению, действию спирта, эфира, хлорсодержащих дезинфектантов. При низкой температуре хламидии сохраняют свои инфекционные свойства.

Эпидемиология

Легочной хламидиоз — антропогенное заболевание, возникающее только у людей. Источником хламидийной инфекции является больной человек и бактерионоситель. Бессимптомным носителем микроба в настоящее время считается каждый второй взрослый человеки каждый десятый ребенок. Заражение чаще всего происходит в местах массового скопления людей через отделяемое респираторного тракта.

Пути проникновения инфекции:

  • Заражение Chlamydia pneumoniae происходит воздушно-капельным путем в результате общения с зараженным человеком. Бактерии распространяются в процессе разговора, кашля или чихания. Патогенные микроорганизмы выделяются вместе со слюной и слизью больного человека.
  • Возможно внутриутробное инфицирование плода через околоплодные воды. Такой путь распространения инфекции называется трансплацентарным.
  • Заражение новорожденных детей больной матерью во время родов — вертикальный или нисходящий путь передачи возбудителя.
  • Контактно-бытовой путь реализуется в данном случае при непосредственном контакте здорового и больного человека — при поцелуе.
  • Гематогенный путь — системное инфицирование через кровь.

374829378278

Проникая в организм человека, патогенная микрофлора вызывает развитие пневмонии.

В группу риска по развитию хламидийной пневмонии входят:

  1. Лица с иммунодефицитом,
  2. Маленькие дети,
  3. Подростки,
  4. Беременные женщины,
  5. Пожилые люди,
  6. Диабетики,
  7. Курильщики,
  8. Больные с аутоиммунной патологией.

Для легочного хламидиоза не характерна определенная сезонность. Хламидии пневмонии активны круглый год, но чаще всего заболеваемость достигает максимума в осенне-зимний период. Вспышки пневмонии регистрируются циклично – каждые 3–4 года.

Патогенез

Патогенетические звенья хламидийной пневмонии:

  • Инвазия микроба — его внедрение в организм человека,
  • Адгезия хламидий на поверхности респираторного эпителия,
  • Ппроникновение в клетку,
  • Поглощение внутриклеточной энергии,
  • Запуск целого ряда патологических процессов.

В организме человека хламидии существуют в двух формах — активной и вегетативной. Первая форма — элементарные тельца, которые захватываются клеткой путем образования мембранных везикул. Внутри клетки они трансформируются во вторую форму – ретикулярные тельца, которые нарушают метаболические процессы, активно размножаются и разрушают клеточные структуры. Спустя двое суток их жизненный цикл завершается, вновь образуются элементарные тельца, которые попадают в кровь и разносятся по всему организму, инфицируя новые клетки.

8495384905839

Хламидии тропны к эпителию дыхательных путей: в эпителиоцитах происходит их активное размножение. Инфекция развивается быстро. Период с момента внедрения бактерии в организм и до появления первых симптомов длится примерно месяц. Длительный инкубационный период опасен тем, что за это время больной может заразить очень много людей.

Легочной хламидиоз часто протекает бессимптомно. Больные чувствуют себя удовлетворительно, заражая окружающих. В 80% случаев пневмония проявляется симптомами воспаления верхних дыхательных путей, что также опасно в эпидемическом отношении. Отличительная черта всех хламидий — способность вызывать длительное бессимптомное носительство.

Симптоматика

Диагностика хламидийной пневмонии опирается полностью на лабораторные методы, поскольку отсутствуют характерные клинические признаки данной болезни. Начинается легочной хламидиоз также, как и любое другое простудное заболевание вирусной или бактериальной этиологии. У больных возникают признаки поражения верхних дыхательных путей. После попадания в легочную ткань хламидий развивается воспалительный процесс, который ограничивается долькой или же целой долей легкого. Для данной патологии характерна очаговость поражения.

Читайте также:

 

Влияние пневмонии на системы органов

4586048968495949

Инкубационный период длится три недели. Симптоматика нарастает постепенно. Длительный инкубационный период способствует безопасному размножению паразитарной инфекции и заражению окружающих.

Клиническая картина патологии:

  1. Интоксикационный синдром — лихорадка, слабость, вялость, потеря аппетита, бессонница, ломота во всем теле, озноб, одышка, тошнота, рвота;
  2. Болевой синдром – головная боль, миалгия, артралгия, боль в груди;
  3. Катаральный синдром — насморк, заложенность носа, нарушение носового дыхания, конъюнктивит, боль в горле, гиперемия зева, приступообразный сильный кашель, охриплость голоса.

У больных температура тела сначала поднимается до 37 градусов,а по мере развития патологии достигает 39-40 градусов. Характерным симптомом хламидийной пневмонии является сухой мучительный кашель, который возникает приступообразно. Постепенно он становится продуктивным и сопровождается обильным выделением гнойной мокроты, иногда с прожилками крови. Каждый новый приступ кашля ухудшает общее состояние больных.

Но не всегда легочной хламидиоз имеет классическое течение. У одних больных симптомом пневмонии становится слабовыраженный дискомфорт, у других возникают сильные проблемы со здоровьем.

У детей хламидийная пневмония долгое время может протекать бессимптомно. Легочной хламидиоз у малышей имеет свои характерные черты. Сначала заболевание напоминает воспаление трахеи, бронхов, глотки или гортани. Затем появляется главный симптом поражения паренхимы легких – сухой и мучительный кашель. Температура тела поднимается до 39 градусов и не поддается влиянию жаропонижающих средств. У ребенка возникают внелегочные проявления — сыпь на коже, боль во всех суставах, невралгические расстройства, нарушение стула.

Диагностика

Диагностика хламидийной пневмонии вызывает определенные трудности у врачей. Это связано с отсутствием специфической симптоматики, отчетливых физикальных и рентгенологических признаков.

45739847583748788

  • Во время осмотра пульмонологи выявляют гиперемию задней стенки глотки, регионарный лимфаденит.
  • Аускультативные данные вариабельны. У больных по-разному протекает заболевание. Обычно выслушивается жесткое или ослабленное дыхание, сухие или влажные хрипы.
  • В общем анализе крови отсутствует лейкоцитоз и нейтрофильный сдвиг формулы.
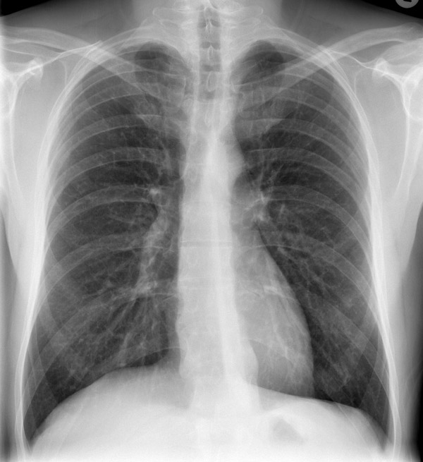
  • рентгеновский снимок: локализация в верхнем сегменте левой нижней доли

    На рентгене определяются изменения бронхов и легочного интерстиция, а также очаговая, сегментарная или долевая инфильтрация, воспалительные уплотнения, усиление легочного рисунка. Чаще эти изменения обнаруживают с одной стороны в нижних легочных полях.

  • При подозрении на данный недуг необходимо провести лабораторные испытания. Бактериологическое исследование отделяемого зева в настоящее время не проводится, поскольку долго длится и требует больших затрат. Раньше биоматериал, отобранный у больного, помещали в специальную питательную среду и ждали 20 дней. За это время на поверхности среды появлялись крупные колонии, которые затем изучали под микроскопом.
  • Стандартными методами, позволяющими выявить хламидии, являются иммуноферментный анализ – ИФА, прямая иммунофлюоресценция – ПИФ и полицепная реакция – ПЦР. Об активности патологического процесса говорит повышение титра IgM, IgG и IgA более, чем в 4 раза. IgG появляются в крови спустя полтора-два месяца от момента инфицирования. Если его уровень превышает норму, говорят о длительном хроническом течение патологии. Спустя 2 недели после заражения обнаруживают IgM, которые свидетельствует об остром периоде пневмонии.
  • ПЦР-анализ позволяет быстро и безошибочно идентифицировать генетический материал возбудителя.

58698405968495899

Терапевтические мероприятия

Лечение хламидийной пневмонии комплексное. Оно направлено на борьбу с микробами и укрепление иммунитета больных. Медикаментозную терапию больные получают в домашних условиях. При наличии состояний, угрожающих жизни, им требуется госпитализация в стационар. Госпитализируют пожилых людей, детей, больных с абсцессом, сердечной недостаточностью, аспирацией дыхательных путей.

  1. Противомикробная терапия заключается в применении антибиотиков из группы фторхинолонов, макролидов и тетрациклинов. Больным назначают «Кларитромицин», «Эритромицин», «Ципрофлоксацин», «Офлоксацин», «Доксициклин».
  2. Коррекция иммунного ответа проводится с целью предупреждения рецидива инфекции. Для этого используют иммуномодуляторы «Арбидол», «Амиксин», «Интерферон», а также витамины и пробиотики.
  3. Симптоматическая терапия заключается в устранении основного клинического проявления пневмонии — кашля. Больным назначают противокашлевые, муколитические и специальные отхаркивающие средства: «Амбробене», «АЦЦ», «Аскорил». Для борьбы с лихорадкой применяют НПВС – «Ибуклин», «Нурофен».
  4. После устранения острых явлений назначают физиотерапевтические процедуры, дыхательную гимнастику, санаторно-курортное лечение.

3475873878

Специалисты всем больным рекомендуют максимальный покой на время лечения, сбалансированное, легкое и витаминизированное питание.

Народное лечение патологии заключается в применении следующих средств: настоя из овса и чеснока, компресса из чеснока и гусиного жира, отвара из гвоздики, чеснока и кагора.

Прогноз заболевания у молодых людей всегда благоприятный. У пожилых лиц и маленьких детей случаются летальные исходы. Это связано с быстрым развитием опасных для жизни осложнений — обструктивного бронхита, бронхиальной астмы, бронхоэктатической болезни.

Профилактика

Мероприятия, позволяющие предупредить развитие хламидийной пневмонии:

  • Соблюдение гигиенических норм и санитарных правил,
  • Использование средств индивидуальной защиты во время эпидемий – ношение медицинской маски,
  • Отказ от посещения мест массового скопления людей,
  • Укрепление иммунитета,
  • Рациональное и правильное питание, обогащенное витаминами,
  • Частые прогулки на улице,
  • Полноценный сон,
  • Занятия спортом.

Chlamydia pneumoniae – опасный микроб, который может нанести непоправимый вред организму человека. Необходимо приложить все усилия, чтобы избежать заражения. Перечисленные выше мероприятия помогут минимизировать риск инфицирования. Но если это все-таки произошло, следует доводить лечение до полного выздоровления под контролем врача. Недолеченная хламидийная инфекция может привести к рецидиву болезни и хронизации процесса.

Видео: причины воспаления лёгких и заразна ли пневмония? – Доктор Комаровский

Мнения, советы и обсуждение:

Ссылка на основную публикацию
Похожее