whatsapp telegram vkontakte email

Картина в легких при пневмонии

Рентгенограмма грудной клетки до сих пор остаётся «золотым стандартом» диагностики большинства патологий дыхательной системы.

Пневмония не является исключением, признаки патологии несложно обнаружить на снимке. Рентген важен для постановки точного диагноза, а также играет ключевую роль в дифференциальном исследовании. Важно иметь общее представление как выглядит пневмония у взрослых и детей.

Рентген снимок атипичной пневмонии

Атипичная пневмония — собирательный термин, включающий инфекционно-воспалительные поражения тканей лёгких. Причинами являются нехарактерные возбудители — микоплазма, хламидия, легионелла, вирусы. Воспаление лёгких протекает с повышением температуры, одышкой, общим недомоганием.

Как выглядит пневмония на снимке

Диагностировать патологический процесс можно при помощи рентгена. Так, для микоплазменной формы характерна неоднородная инфильтрация лёгочной ткани, она может определяться слабо или быть среднеинтенсивной.

При легионеллезной, на снимке видно уплотнения (инфильтраты) округлой формы, локализующиеся на поверхности одной доли лёгкого. В ряде случаев наблюдается слияние инфильтратов.

У 25% пациентов одновременно с пневмонией определяется плеврит, с незначительным скоплением секрета в плевральной полости.

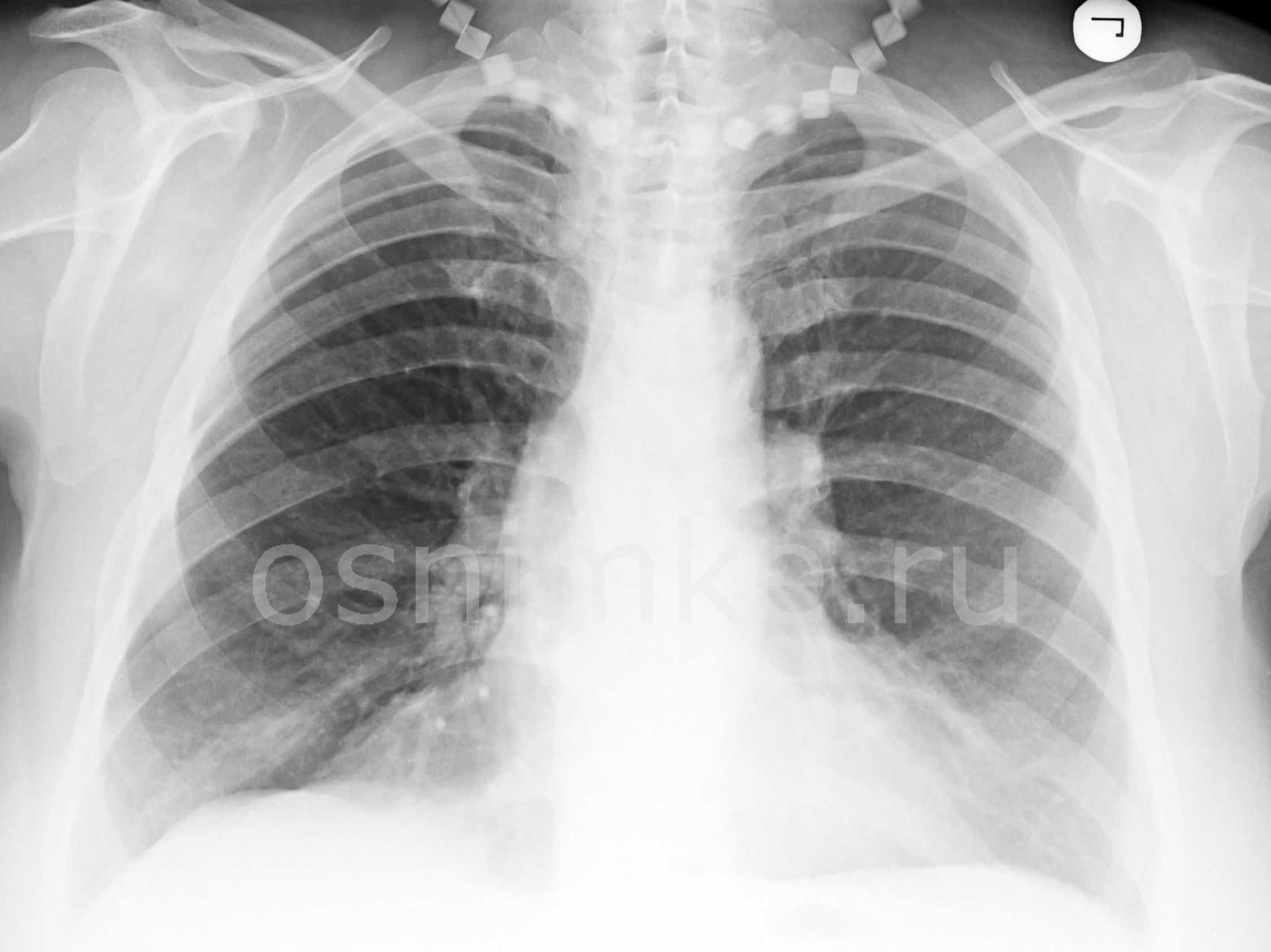
Правосторонняя бронхо- пневмония

Правосторонняя бронхо- пневмония

Практически невозможно отличить пневмонию Legionella от других, основываясь на таком методе обследования. Присутствие легионеллы или хламидии подтверждается серологическим анализом крови.

Отдельное внимание стоит уделить воспалению неинфекционной этиологии. Одна из таких форм — инфаркт-пневмония, развивающаяся на фоне тромба, попавшего из лёгочной артерии в лёгкое. На рентгеновском изображении выступает как очаговое поражение с относительно чётким контуром.

Другой тип неинфекционного воспаления лёгочной ткани — аспирационный. Причиной выступает содержимое пищеварительного тракта, попавшее в дыхательные пути. Этот тип патологии характеризуется многообразием симптомов, которые имитируют различные заболевания лёгких.

Как правило, на снимке однородный очаг, контуры относительно чёткие. С целью контроля лечения аспирационной пневмонии рекомендуется проходить повторный рентген.

Как выглядит заболевание на рентгеновском снимке

Признаки воспаления лёгких на снимке называют «затемнениями», отображаются они белым цветом, поскольку само изображение является негативом.

Пятна и рентген-признаки:

  • До 3 мм — мелкоочаговые.
  • До 7 мм — среднеочаговые.
  • До 12 мм — крупноочаговые.
  • От 12 мм и более — фокусные.

Пневмония на снимке, в частности затемнения, характеризуются следующим образом:

  • Распространённые. Визуализируют в пределах одного сегмента.
  • Субтотальные. Затемнение большей части поля органа или нескольких сегментов.
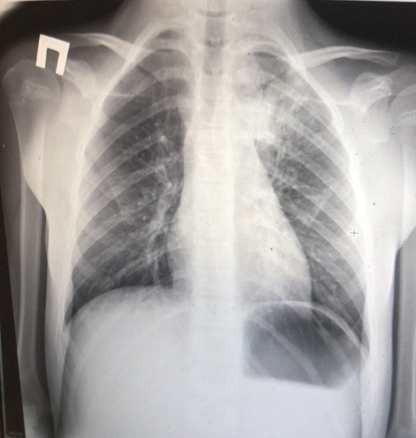
  • Тотальные. Патологический процесс охватывает всю область лёгочной ткани. Сильная пневмония слева

Сильная пневмония слева

Дифференциация пневмонии от других патологий лёгких

Важным этапом постановки диагноза остаётся отличие её от других заболеваний лёгких, коронавируса. Так, при бронхите будет отсутствовать затемнение на снимке, вместо этого — усиление лёгочного рисунка.

Усиление лёгочного рисунка

усиление лёгочного рисунка

В случае присутствия инородного тела, наблюдается затемнение с чёткими краями, локализующееся в нижней доле лёгкого. Спутать с воспалением типичного характера сложно.

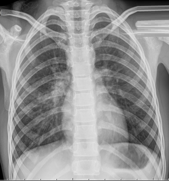
При плеврите, на снимке скопление экссудата в поражённой области. Плеврит выступает в качестве осложнения недолеченной пневмонии.

Плеврит

При пневмотораксе присутствует характерный уровень жидкости. На снимке отображается как просветление, лёгочный рисунок не просматривается.

Пневмоторакс

Рентгеновский снимок является основным обследованием, а в случае необходимости назначается компьютерная томография.

Пневмония на детских рентген-снимках

Пневмония на рентгенограмме у пациентов детского возраста не имеет выраженных отличий от взрослых, патология также характеризуется очагами просветления и затемнения. У детей в воспалительный процесс вовлекаются нижние отделы лёгких.

Рентгенография показывает следующее:

  • очаговые затемнения диаметром 1-2 мм;
  • увеличение внутригрудных лимфоузлов;
  • деформация и усиление лёгочно-сосудистого рисунка;
  • повышенная плотность затемнения (запущенная патология);
  • в области патологического очага изменяется структура и размер лёгочного корня.

Как выглядит пневмония на снимке

Хоть общая картина детского рентгена не различается от взрослого, некоторая разница имеется. Первое — повышенная реактивность функций иммунной системы. Поэтому даже незначительный инфильтрат способен спровоцировать воспалительную реакцию на обеих долях лёгкого.

При постановке диагноза ребёнку можно ошибиться, что связано с небольшим объёмом лёгочной ткани и повышенным присутствием лёгочного рисунка.

Можно ли не проводить рентгенографию при воспалении лёгких? Действительно, диагностика при подозрении на пневмонию не является обязательным исследованием. Но отказ от рентгенограммы не даст врачу установить диагноз, а следовательно — назначить адекватное лечение. Альтернативными методами диагностики являются КТ и МРТ.

Рентгенография при COVID-19. Опыт ГКБ №40 ДЗМ (Коммунарка)(видео)

Коронавирусная инфекция прежде всего поражает лёгкие, начиная с горла и переходя по дыхательным путям к жизненно важному органу. Узнаем, как выглядят лёгкие при коронавирусе на рентгене и в чем отличия COVID-19 от пневмонии.

Читайте также:

 

Дополнительный метод исследования при пневмонии

Как коронавирус выглядит на рентгене?

COVID-19 поражает лёгкие. В плевральной полости вокруг органа дыхания накапливается жидкость и он увеличивается в размерах. Лёгочная ткань покрывается рубцами, и из-за этого человеку становится трудно дышать, так как часть органа разрушается и кислороду трудно попасть в кровь.

При рентгеновском излучении лёгких, поражённых коронавирусной инфекцией, наблюдаются затемнения в нижней части органа (на снимке обозначаются белыми пятнами). Пятна называются симптомом “матового стекла”. На рентгене видны пятна, которые обуславливаются наличием жидкости в лёгких.

Симптом “матового стекла” в легких

Симптом “матового стекла” проявляется у больных на фоне поражения лёгких вирусом. Так как дыхательный орган подвергается серьёзным изменениям, в нём появляются зоны повреждений.

Снижается плотность лёгочной ткани. В поражённом участке проявляется умеренно-сниженная воздушность, главным признаком выступает видимость сосудов лёгких и стенок бронхов.

Заметить данный симптом на рентгене сложно, поэтому требуется дополнительно сделать компьютерную томографию.

Типичные признаки проявления симптома “матового стекла”:

  • стенки и структура бронхов чётко проглядываются;
  • видны затемнения;
  • сохраняется сосудистый рисунок;
  • повышается прозрачность лёгочной ткани.

Причины, при которых встречается данный симптом:

  • отёк лёгких;
  • пневмонии, вызванные вирусными частицами;
  • хронические заболевания лёгочных тканей;
  • синдром дыхательных расстройств;
  • системные заболевания соединительной ткани;
  • сердечная недостаточность в стадии альвеолярного отёка лёгких;
  • кровотечения из лёгочных сосудов.

Ниже представлены фото, как выглядит симптом “матового стекла” на рентгене и компьютерной томографии:

Как проявляется поражение легких при коронавирусе?

Типичные проявления нарушений органа дыхания при коронавирусной инфекции:

  • в лёгких накапливается жидкость и постепенно занимает всё большую площадь;
  • поражаются стенки сосудов и клеток крови в лёгких;
  • видны затемнения по типу “матового стекла” различного размера, сопровождающееся уплотнением перегородок между альвеолами – пузырями, где капилляры органа обогащаются кислородом;
  • в лёгких образуется рубцовая ткань, называющаяся “фиброзом”, вследствие чего снижается растяжимость и эластичность ткани.

Отличия пневмонии от коронавируса?

Пневмония – это воспаление лёгких, которое провоцируется бактериями. Обычная пневмония развивается, когда в органах дыхания скапливается мокрота, поэтому начинается нарушение вентиляции органа и размножаются микроорганизмы.

При пневмонии поражается только часть лёгких, а при коронавирусной инфекции страдает весь орган, он заполняется жидкостью и перестаёт снабжаться кислородом.

Пневмонию, в отличие от коронавируса, можно вылечить антибиотиками, уничтожив возбудителя.

При пневмонии, на рентгеновском снимке легких, видны следующие признаки:

  • в разных частях органа находятся очаги затемнения, имеющие неровные контуры и размер 3-12 мм;
  • различаются тени по внешнему виду (овальные, кольцевидные, круглые), интенсивности цвета – чем темнее будет пятно, тем сильнее патологический процесс;
  • если поражены лимфатические узлы и нарушено кровоснабжение органа, может быть заметно изменение корней лёгких, если поражена плевра – видны нарушения в рисунке куполов диафрагмы.

На рентгеновском снимке пневмония выглядит следующим образом:

Пневмония может развиваться в течение нескольких недель, а инкубационный период COVID-19 составляет 2-5 суток.

Чем отличается атипичная пневмония от коронавируса?

Атипичная пневмония вызвана воздействием микроорганизмов (микоплазм, хламидий, легионелл), являющихся нехарактерными для пневмонии. Также её называют острым респираторным синдромом. Болезнь первоначально проявляется интоксикацией:

  • тошнотой;
  • повышением потоотделения;
  • слабостью;
  • учащённым сердцебиением.

Не всегда больного беспокоит кашель. Высокая температура может сохраняться в течение длительного времени. Ещё одна особенность атипичной пневмонии – увеличение числа лейкоцитов в единице объёма крови, который можно определить, сдав анализ.

При атипичной пневмонии легких на рентгеновском снимке видны затемнения:

  • мелкоочаговые – не более 3 мм;
  • среднеочаговые – не более 7 мм;
  • крупноочаговые – не более 12 мм;
  • фокусные – более 12 мм.

Атипичная пневмония на рентгеновском снимке:

COVID-19 отличается от атипичной пневмонии тем, что сопровождается прежде всего лёгочными проявлениями. Симптомы обоих заболеваний могут совпадать – повышение температуры, насморк и боль в горле.

Атипичную пневмонию можно вылечить Тетрациклином, Ципрофлоксацином или макролидами. Но при COVID-19 эти средства не эффективны.

Отличие вирусной пневмонии от коронавируса?

Вирусная пневмония отличается от коронавируса более лёгким течением болезни. Распространёнными возбудителями вирусной пневмонии являются вирусы группы A и B, аденовирусы и вирусы парагриппа.

Как и при простой пневмонии, при вирусной форме заболевания, на рентгене видны такие же признаки поражения легких:

  • затемнения;
  • тени разной формы и размера;
  • изменение корней легких.

Читайте также:

 

Нужна ли прививка от менингита и пневмонии

Вирусная пневмония на рентгеновском снимке выглядит следующим образом:

Коронавирус отличается от вирусной пневмонии данными признаками:

  • быстро развивается тяжёлая форма патологии, вирусная пневмония даже при неутешительных прогнозах оставляет шансы на выздоровление;
  • коронавирус сопровождается учащённым сухим кашлем, если поражены оба лёгких, выделяется мокрота;
  • плохо сбивается температура, при вирусной форме пневмонии по утрам температура уменьшается.

Самостоятельно отличить коронавирус от воспаления лёгких невозможно.

Коронавирусная инфекция оказывает разрушающее действие на легкие. Поэтому при ухудшении самочувствия, нужно обратиться за медицинской помощью. Такой подходит значительно увеличивает шансы на выздоровление.

Главный внештатный пульмонолог комитета по здравоохранению Мингорисполкома, заведующая пульмонологическим отделением 2-й городской клинической больницы столицы Ирина Волынец за свою профессиональную жизнь пневмоний видела немало. Она застала и 2009 год, когда к нам пришел свиной грипп, который тоже вызывал пневмонии, спасает пациентов и сейчас — во время пандемии коронавируса. В интервью TUT.BY она рассказала об особенностях пневмоний при COVID-19.

«Как правило, эти все пневмонии начинаются на пятый−шестой день после инфицирования»

Ирина Волынец, главный внештатный пульмонолог комитета по здравоохранению Мингорисполкома, заведующая пульмонологическим отделением 2-й городской клинической больницы столицы

Какие особенности пневмонии у пациентов с подтвержденным коронавирусом?

— Мы уже давно работаем с вирусно-бактериальными пневмониями, и они встречаются ежегодно. Пневмотропных вирусов, способных вызвать пневмонию, много, и COVID-19 пополнил этот перечень.

Пневмония может возникать в любые сроки инфицирования, как в первые дни — это вирусная пневмония, на пятый-шестой день — вирусно-бактериальная, через две недели — бактериальная. Но чаще пневмония возникает на пятый-шестой день.

Степень тяжести, распространенность процесса зависят от состояния иммунной системы, количества полученных вирусов или вирусной нагрузки, а также генетических факторов.

Пневмония при коронавирусе похожа на все другие вирусные пневмонии. Это интерстициальная пневмония, и какой-то морфологической особенности у нее нет. Она протекает наподобие пневмонии при Н1N1 (свином гриппе. — Прим. TUT.BY): та же картина в легких. Это двухсторонние пневмонии, которые поражают интерстиций (альвеолы представляют собой воздушные мешочки, между каждым — межальвеолярная перегородка, которая состоит из двух слоев тонкого плоского эпителия, а между этими двумя слоями есть капилляры, эластические и ретикулярные волокна, а также межклеточное вещество и клетки соединительной ткани. Капилляры и соединительная ткань образуют интерстиций. В интерстиции межальвеолярных перегородок — самая богатая капиллярная сеть во всем организме. — Прим. TUT.BY)

Вирусный агент внедряется в слизистую верхних дыхательных путей и повреждает ее. Она становится проницаемой для бактерий, а у нас во рту их много. И если слизистая повреждена, то бактерии могут хорошо внедриться, потому что для них вся почва подготовлена. Важно, сколько вируса человек получил: если много, то иммунитет может не справиться.

— То есть коронавирусная пневмония такая же, как и другие вирусные пневмонии?

— В принципе да, она такая же, единственное, что мы раньше не сталкивались с этой коронавирусной инфекцией и еще не накопился опыт. Но то, что мы видим у себя в клинике, — пневмонии в основном нетяжелые. Но заболевание чаще протекает тяжело у пожилых людей с массой сопутствующих заболеваний.

«В первые дни интерстициальную пневмонию сложно выслушать и она не видна на рентгенограмме»

— Как человек сам по симптомам может у себя заметить коронавирусную пневмонию?

— При коронавирусной инфекции есть заложенность носа, головная боль, боль в мышцах — но эти все симптомы характерны и для других инфекций. Пишут, что бывает потеря обоняния — но это не у всех. Я, например, встретила только одну пациентку с потерей обоняния. Коронавирусная инфекция протекает как фарингит, бронхит, обычная боль в горле, головная боль, озноб. Но самый главный симптом — это кашель, особенно когда вместе с ним повышается температура.

Фотография используется в качестве иллюстрации. Фото: Вадим Замировский, TUT.BY

При пневмонии, как правило, кашель сухой — он начинается, как будто какое-то першение в горле, при этом сам по себе приступообразный — человек кашляет и не может остановиться. Если у вас кашель, высокая температура, ломота в мышцах и суставах, появилась одышка, то надо вызывать скорую.

В первые дни интерстициальную пневмонию сложно выслушать и она не видна на рентгенограмме. Когда присоединяется альвеолярный компонент, можно выслушать хрипы. Как правило, очень часто именно компьютерная томография (КТ) помогает в диагностике этих интерстициальных пневмоний. Это более достоверный метод исследования — там идут срезы легких по слоям, и все лучше видно.

Сами по себе тесты на COVID-19 порой могут быть ложно отрицательными, компьютерная томография в этом смысле более чувствительный метод диагностики.

— Что вы видите на таком снимке?

— Это двусторонние изменения по типу интерстициальных. Рентгенологи поражение интерстиция называют матовым стеклом. Инфильтративные изменения межальвеолярных перегородок и воздухосодержащих альвеол создают эффект полупрозрачности — это и есть симптом матового стекла.

Преимущественно поражаются нижние доли легких, но бывает по-всякому. Мы сейчас видим, что затрагиваются и верхние доли.

Снимок используется в качестве иллюстрации. Фото: Reuters

— Может ли такая пневмония быть при температуре 37 градусов?

Читайте также:

 

В лечении пневмонии обязательно назначают антибиотики

— Может быть, вполне небольшая температура — 37,2−37,4 градуса, необязательно это будет 38−39 градусов. У людей с ослабленным иммунитетом может быть даже низкая температура — меньше 36 градусов, и это не очень хороший признак.

— Может ли такая пневмония протекать бессимптомно: ни кашля нет, ни повышенной температуры?

— Многие пневмонии люди переносят на ногах, они не знают, что ими болели, но когда делают снимки, там видны следы перенесенного заболевания. Люди говорят, что этого не может быть, что они пневмонией не болели, но вспоминают, что у них была длительная простуда, они лечились две недели или три, потом она прошла, или что-то еще было затяжное, к врачу они не обращались, и оно само прошло. На самом деле человек мог в таком виде перенести коронавирусную инфекцию в легкой форме. А легкие и бессимптомные случаи чреваты тем, что могут заразиться другие люди, особенно это опасно для пожилых — в общей массе у них заболевание протекает тяжелее. Но в целом не все пожилые пациенты болеют тяжело вирусными пневмониями. Еще до ситуации с коронавирусом у нас была пациентка в возрасте 90 лет и очень нормально все перенесла и выздоровела.

«В среднем болеют две недели, но людям с ослабленным иммунитетом на выздоровление нужно больше времени»

— Как долго люди болеют пневмонией?

— Это индивидуально и зависит от иммунной системы человека, от того, как быстро человек обратился к врачу. Если человек обращается поздно, то могут быть осложнения.

В среднем болеют две недели, но людям с ослабленным иммунитетом на выздоровление нужно больше времени.

Фото: Reuters

— Вовремя обратиться к доктору — это когда?

— Если у человека повысилась температура и появился кашель — значит, надо срочно обращаться.

— Если человек заболел, лежит в клинике — могут ли быть внезапные ухудшения его состояния при коронавирусной пневмонии?

— Внезапными бывают осложнения, может быть волнообразное течение заболевания, как правило, осложнения возникают со стороны легких, сердца, почек и головного мозга.

— Я читала материал в российском издании, что это на самом деле не коронавирусная пневмония, а какое-то специфическое поражение легких. Вы согласны с этим?

— Не могу сказать, что это специфическое поражение легких — это интерстициальная пневмония. Каждый может высказать свое мнение, но это не значит, что это истина в последней инстанции.

Фотография используется в качестве иллюстрации. Фото: Вадим Замировский, TUT.BY

— Какие могут быть последствия после того, как человек переболел пневмонией?

— Все зависит от того, какая была степень тяжести у пневмонии. Но в некоторых случаях могут возникнуть фиброзные изменения в легких, хотя этот вопрос еще нам предстоит изучать.

Фиброз — это разрастание соединительной ткани. Образно говоря, вот вы поранили палец и зажило рубцом — это уже неживая рубцовая ткань. Это и есть фиброз. В итоге уменьшается дыхательная поверхность легких, и человек может страдать от одышки.

— Какая после перенесенной пневмонии нужна реабилитация?

— Человек должен хорошо и сбалансировано питаться, ложиться спать пораньше, не переутомляться — и тогда организм сделает все необходимое, чтобы восстановиться. Ему не надо мешать, просто помочь.

— У меня в деревне говорят, что для того, чтобы с легкими все было хорошо, нужно есть сало.

— Сало? Самое главное, чтобы человек хорошо питался, чтобы в рационе был белок, витамины, особенно, А и С, а не только растительные продукты. Но кто любит сало, может есть сало.

«Надо следить за гигиеной полости рта и носа»

— А какие меры профилактики предпринимаете лично вы в повседневной жизни, чтобы не заболеть?

—  Надо следить за гигиеной полости рта и носа и полоскать их обычной чистой водой три раза в сутки. В транспорте надо носить маску, и хотя она не защищает от вируса, но оберегает от капелек, которые могут распространиться с кашлем. Между людьми надо сохранять дистанцию два метра, обязательно мыть руки и обрабатывать антисептиком не только их, но и поверхности предметов.

Фото: Вадим Замировский, TUT.BY

— Вы всю жизнь работаете во 2-й городской больнице, сейчас этот период пандемии в вашей личной практике — самый сложный?

— Я помню 2009 год, когда у нас впервые появился свиной грипп. Тогда было тяжело и было много больных, думали, как лечить, потом оказалось, что есть прекрасные противовирусные препараты.

По поводу коронавирусной инфекции — пока у нас нет ни вакцины, ни противовирусного препарата, и это немного все усложняет. Нет одного лекарства, которое принял, и все прошло. При этом человек может быть защищен от коронавирусной пневмонии, только если переболеет 80% населения и выработается коллективный иммунитет. Поскольку мы столкнулись с этим вирусом впервые, то у людей нет иммунитета и большой прослойки переболевших тоже нет.

Но судя по тому, как люди сейчас болеют, можно и эти пневмонии перенести, выздороветь — и все будет нормально. Люди просто на будущее должны понимать, что до того, как придет вирус, нужно заниматься своим здоровьем всю жизнь — нужно прививаться, соблюдать меры гигиены и работать над своим иммунитетом. У нас некоторые, к сожалению, этого не понимают.

Ссылка на основную публикацию
Похожее