whatsapp telegram vkontakte email

Крупозная пневмония этиология патогенез клиника лечение

Крупозная пневмония (лат. Pneumonia cruposa) – лобарное, крупноочаговое острое фибрнозное воспаление легких.

Крупозная пневмония – причины (этиология)

В возникновении болезни ведущую роль играют 2 фактора: патогенная (микрофлорапневмококки, диплококки, стафилококки, вирусы и др.) и аллергическая сенсибилизация организма.

Все авторы, изучавшие этиологию крупозной пневмонии, примерно в 95% случаев обнаруживали пневмококки Френкеля. Наиболее часто – при этой форме пневмонии встречались пневмококки I и II, реже III и IV типов; еще реже обнаруживалась другая флора (диплобацилла Фридлендера, палочка Пфейффера, стрептококк, стафилококки др.).

Крупозная пневмония – патогенез.

Крупозная пневмония чаще наблюдается в условиях резкого колебания температуры воздуха или переохлаждения организма. Чаще заболевают люди ослабленные, а также подверженные различного рода вредным воздействиям профессионального или другого характера.

Признавая, как основной бронхогенный путь инфицирования при крупозной пневмонии, нельзя отрицать в случаях очаговых пневмоний (бронхопневмоний) лимфогенный и гематогенный пути распространения инфекции. Развитию пневмонии способствуют застойные явления в легких при сердечной недостаточности, хронические и острые заболевания верхних дыхательных путей, авитаминозы и т. д. Значительное переутомление, по-видимому, так же предрасполагает к заболеванию крупозной пневмонией. Наконец, можно указать на относительную частоту у больных острыми пневмониями перенесенных в прошлом пневмоний. По данным И. В. Давыдовского, повторные заболевания крупозной пневмонией наблюдались в 30-40% случаев, что еще раз подтверждает гиперергическую природу болезни.

Крупозная пневмония – патологическая анатомия.

Патологоанатомы в течение крупозной пневмонии различают следующие четыре стадии:

  1. Стадия прилива крупозной пнемвонии, характеризуется резкой гиперемией легочной ткани, экссудацией, нарушением проходимости капилляров в связи с развивающимся стазом крови. Это первая стадия данной пнемвонии и длится она от 12 ч до 3 суток.
  2. Стадия красного опеченения крупозной пневомонии, продолжается от 1 до 3 суток и является продолжением первой стадии. Альвеолы заполняются пропотевающей в них плазмой, богатой фибриногеном и эритроцитами. Фибринозно–кровянистый экссудат, заполняя альвеолы, обусловливает характерную зернистость рисунка легкого, которая может быть то мелкой, то крупной в зависимости от размера альвеол.
  3. Стадия серого опеченения крупозной пневмонии, характеризуется прекращением диапедеза эритроцитов; находящиеся в экссудате эритроциты распадаются, их гемоглобин превращается в гемосидерин. Одновременно происходит диапедез в альвеолы, заполненные фибрином, лейкоцитов. Легкие преобретают серый цвет. Продолжительность этой стадии пневмонии от 2 до 6 суток.
  4. В стадии разрешения крупозной пневмонии, происходит растворение и разжижение фибрина под действием протеолитических ферментов лейкоцитов, распад, слущивание альвеолярного эпителия, постепенное рассасывание экссудата.

Крупозная пневмония этиология патогенез клиника лечение

Крупозная пневмония – симптомы (клиническая картина).

Типичная крупозная пневмония начинается остро с потрясающего озноба, сильной головной боли, повышения температуры до 39-40°C. Озноб обычно продолжается от 1 до 3 ч. Вскоре появляется боль в боку, чаще на пораженной стороне. Иногда она может возникнуть ниже реберной дуги, в животе, симулируя острый аппендицит, почечную или печеночную колику и т. д. Это чаще всего бывает при локализации воспаления в нижней доле легкого, когда в процесс вовлекается диафрагмальная плевра. Кашель вначале бывает сухой, усиливающий боль, а через 1-2 дня появляется кровянистая («ржавая») мокрота. Общее состояние больного крупозной пневмонией тяжелое.

Симптомы крупозной пневмонии

При общем осмотре больного крупозной пневмонией отмечается гиперемия щек, более выраженная на пораженной стороне, одышка, цианоз, участие в дыхании крыльев носа, нередко herpes labialis et nasalis. Иногда уже в первые дни можно определить отставание при дыхании одной половины грудной клетки. Голосовое дрожание над пораженной долей несколько усилено.

Звуковые явления при крупозной пневмонии, над легкими очень разнообразны и зависят от клинико-морфологических изменений (распространенность процесса, стадия развития и др.). В начале заболевания при крупозной пневмонии соответственно пораженной доле можно обнаружить укорочение перкуторного звука, нередко с тимпаническим оттенком (так как в альвеолах одновременно имеются жидкость и воздух). В области поражения выслушивается ослабленное везикулярное дыхание, появляется так называемая начальная крепитация (crepitatio indux); бронхофония усилена.

В стадии разгара крупозной пневмонии (соответственно выделяемым патологоанатомами стадиям красного и серого опеченения) общее состояние больного тяжелое, что объясняется не только размерами выключенной из акта дыхания части легкого, но в первую очередь интоксикацией. Наблюдается учащенное поверхностное дыхание (30-40 в минуту), тахикардия (100-120 ударов в минуту). Над пораженной долей легкого в этот период определяется тупость, при аускультации – бронхиальное дыхание, голосовое дрожание и бронхофония усилены. В ряде случаев голосовое дрожание отсутствует или оказывается ослабленным (при сочетании с плевритом, а также при массивной крупозной пневмонии, когда воспалительный экссудат заполняет и приводящие бронхи); в этих случаях бронхиальное дыхание также не выслушивается.

Вследствие интоксикации раньше, до применения антибиотиков, у больных крупозной пневмонией нередко наблюдалась сосудистая недостаточность с резким падением артериального давления. Сосудистый коллапс при крупозной пневмонии, сопровождается общим упадком сил, падением температуры, усилением одышки, цианозом, пульс становится слабым и частым, малого наполнения. Также страдает нервная система (возникает общее беспокойство, нарушается сон, могут появиться галлюцинации и бред – особенно часто это наблюдается у алкоголиков), сердце, печень, почки и другие органы.

Читайте также:

 

Через сколько дней проходит температура при пневмонии

Повышенная температура, если не начато лечение антибиотиками или сульфаниламидными препаратами, держится в течение 9-11 дней; в этих случаях температурная кривая имеет тип continua. Падение температуры при крупозной пневмонии происходит или критически, в течение 12-24 ч, или литически, на протяжении более 2-3 суток. 

В стадии разрешения при крупозной пневмонии, после разжижения экссудата, воздух снова начинает проникать в альвеолы, вследствие чего притупление перкуторного звука уменьшается, появляется тимпанический оттенок его, бронхиальное дыхание ослабевает. Вновь начинает прослушиваться крепитация (крепитация разрешения crepitatio redux), обусловленная разлипанием стенок альвеол при поступлении в них воздуха; прослушиваются влажные хрипы. Затем исчезает усиленное голосовое дрожание, бронхофония, а затем и бронхиальное дыхание.

Изменение крови обычно характерно для крупозной пневмонии. В первую очередь это касается лейкоцитов, количество которых возрастает до 15 000-25 000 в 1 мм3, 80-90% лейкоцитов составляют нейтрофилы, нередко отмечается сдвиг влево до юных. Число эозинофилов уменьшается и в тяжелых случаях они могут полностью исчезнуть. Отмечается относительная лимфопения и моноцитоз. РОЭ ускоряется. Изменений со стороны красной крови обычно не бывает.

Мокрота в стадии прилива при крупозной пневмонии, вязкая, со слегка красноватым оттенком, содержит много белка, немного лейкоцитов, эритроцитов, альвеолярных клеток, макрофагов. В стадии красного опеченения мокроты немного, она ржавого цвета, содержит фибрин, а также в несколько большем количестве форменные элементы.

В стадии серого опеченения значительно увеличивается количество лейкоцитов, мокрота становится слизисто-гнойной. В стадии разрешения лейкоциты и фибрин превращаются в детрит, который и определяется в мокроте, появляется много макрофагов. Из микробов могут обнаруживаться (в начальных стадиях пневмонии) пневмококки, стафилококки, стрептококки, диплоблациллы Фридлендера, часто в чистой культуре.

Рентгенологические изменения в легких при крупозной пневмонии, разнообразны и зависят от стадии процесса. Вначале отмечается усиление легочного рисунка, затем появляются очаги затемнения, которые сливаются между собой. Образовавшаяся тень соответствует доле или сегменту легкого. Восстановление нормальной прозрачности легких происходит постепенно и длится до 2-3 недель. Динамика рентгенологических изменений при пневмонии, зависит от сроков начала лечения.

До широкого внедрения в практику антибиотиков и сульфаниламидных препаратов при крупозной пневмонии довольно часто наблюдались осложнения, в настоящее время они встречаются значительно реже. Нередко возникали нагноительные процессы в легких и плеврит, обычно гнойный. Присоединение плеврита сопровождается дополнительным повышением температуры, увеличением лейкоцитоза и перкуторными и аускультативными феноменами, которые обычно наблюдаются при экссудативных плевритах. Если плеврит возникает до разрешения пневмонии, он носит название парапневмонического, если после исчезновения инфильтративных изменений в легких – метапневмонического. Иногда наблюдались и другие осложнения: миокардит (см. Миокардит), менингит (см. Менингит), очаговый нефрит (см. Нефрит). В случае задержки рассасывания экссудата и прорастания его соединительной тканью в ряде случаев развивался цирроз пораженной доли легкого (карнификация). В настоящее время при резком снижении летальности от крупозной пневмонии она сравнительно нередко переходит в хроническую интерстициальную пневмонию.

Крупозная пневмония – лечение.

Прежде всего, при пнемвонии, имеет значение соблюдение постельного режима, полноценное питание. Пища должна быть легкоусвояемой, богатой витаминами.

Основным в лечении бактериальных пневмоний является назначение антибиотиков (пенициллин, стрептомицин, тетрациклин и др.) и сульфаниламидов (сульфадимезин, этазол, норсульфазол, сульфадиметоксин и др.). Положительное воздействие оказывает кислородная терапия (с помощью маски, кислородной палатки). Она улучшает обмен веществ, положительно влияет на сердечнососудистую систему. При сосудистой недостаточности применяют кофеин, кордиамин, камфору, при сердечной недостаточности – препараты дигиталиса, строфантин, корглюкон. Нужно назначать в достаточном количестве витамины, а также отхаркивающие (термопсис, хлористый аммоний в сочетании с лакрицей и др.), особенно в период разрешения пневмонии. Можно использовать банки, горчичники, физиотерапевтические методы лечения (физиотерапия при острой пневмонии, физиотерапия при хронической пневмонии, массаж при пневмонии) которые позволяют быстрее ликвидировать остаточные явления пневмонии. Большое значение имеет дыхательная гимнастика, улучшающая вентиляцию легких.

Крупозная пневмония – профилактика.

Закаливание организма: воздушные ванны, влажные обтирания. Рациональная терапия гриппа. При затяжных заболеваниях, связанных с длительным лежанием в постели, следует предупреждать развитие ателектазов и гипостазов.

С этой целью рекомендуются повороты больного в постели, систематически лечебная дыхательная гимнастика в постели (глубокие вдохи). Лечение заболеваний сердечно-сосудистой системы для предупреждения застоя в малом круге кровообращения.

Крупозная пневмония (долевая, плевропневмония) характеризуется поражением одной или нескольких долей легкого с вовлечением в воспалительный процесс плевры.

Этиология

В подавляющем большинстве случаев возбудителем являются пневмококки, реже стрептококки, стафилококки, кишечная палочка или смешанная флора.

Патоморфологически выделяют 4 классические стадии крупозной пневмонии: стадию прилива, стадии уплотнения — красного и серого опеченения, стадию разрешения.

• В стадию прилива происходит постепенное, но достаточно быстрое и одновременное заполнение просвета многих альвеол воспалительным фибринозным экссудатом, содержащим возбудители (обычно пневмококки). Если антибактериальное лечение не начато сразу, стадия прилива через 3-4 сут переходит в стадию опеченения.

Читайте также:  Можно ли мыться при пневмонии комаровский

• В стадии опеченения в экссудате появляются сначала эритроциты с небольшой примесью нейтрофилов (стадия красного опече-нения), а затем — большое количество лейкоцитов (стадия серого опеченения), фагоцитирующих бактерии.

• Процесс заканчивается рассасыванием экссудата (стадия разрешения) и восстановлением обычной структуры лёгочной паренхимы, хотя известны и неблагоприятные исходы инфильтрата (карнификация, абсцедирование).

Клинические проявления

В типичном случае заболевание характеризуется следующими клиническими признаками:

• Резкое повышение температуры тела до 39-40 °С. Характерен постоянный тип высокой лихорадки с ознобами.

• Тяжелый интоксикационный синдром с головной болью, бессонницей, бредом.

• Кашель, сначала сухой, затем с мокротой, слизисто-гнойного характера или «ржавой».

• Боль в соответствующей половине грудной клетки, усиливающаяся при вдохе, кашле (плевральный синдром), что связано с вовлечением в воспалительный процесс плевры.

Физикальное обследование При физикальном обследовании отмечают резко учащенное поверхностное дыхание.

нередко возникают герпетические высыпания в области губ и крыльев носа. Подвижность грудной клетки на стороне поражения снижена

голосовое дрожание над этой областью значительно усилено. Перкуторно определяют укорочение звука , часто с тимпаническим оттенком. При аускультации отмечают ослабление везикулярного дыхания, крепитацию

В период уплотнения (стадия опеченения) перкуторный звук становится тупым, дыхание бронхиальным можно выслушать звонкие мелкопузырчатые хрипы

Лабораторные данные

Общий анализ крови: высокий нейтрофильный лейкоцитоз со сдвигом лейкоцитарной формулы влево, возможна токсогенная зернистость лейкоцитов, увеличение СОЭ.

Мокрота богата белком, эритроцитами, лейкоцитами.

Рентгенологическое исследование: выявляют плотный гомогенный инфильтрат, соответствующий доле или нескольким

Лечение.

Целями лечения являются эрадикация возбудителя, купирование симптомов заболевания, нормализация лабораторных показателей и функциональных нарушений, разрешение инфильтративных изменений в лёгочной ткани и профилактика осложнений.

Этиотропная терапияпроводится антибактериальными препаратами с учетом этиологии и идентификации возбудителя.

Эффективность антибиотикотерапии оценивается через 48-72 ч от начала лечения на основании нормализации температуры, уменьшения или исчезновения озноба, потливости и признаков интоксикации.

При внебольничной пневмониииспользуются пенициллины (преимущественно с клавулоновой кислотой), макролиды и цефалоспори-ны II-III поколения.

При госпитальной пневмониис учетом многообразия возбудителей препаратами выбора являются цефалоспорины III-IV поколения, карбапенемы, аминогликозиды и комбинированная терапия антибиотиков этих групп с защищенными пенициллинами.

Патогенетическая терапиянаправлена на дренирование и ликвидацию очага воспаления, восстановление микроциркуляции, муко-цилиарного клиренса, клеточного и гуморального звена иммунитета.

Физические методы лечения:

• УВЧ на область очага в период активного воспаления;

• микроволновая СВЧ-терапия в период рассасывания инфильтрата;

• индуктотермия в период разрешения пневмонии;

• электрофорез лекарственных препаратов (гепарин, хлористый кальций, лидаза) в период рассасывания;

• тепловые средства (парафин, озокерит) при затяжном течении.

Симптоматическая терапия. Лечение дыхательной недостаточности предусматривает интенсивную терапию, ИВЛ(iskustvenno ventilyatsia legkix), оксигенотерапию, диуретики, бронхолитики



Крупозная пневмония – воспалительно-аллергический недуг лёгких, характеризующийся уплотнением одной или же нескольких долей лёгкого, а также образованием в альвеолах патологического экссудата. Как следствие, лёгочная ткань перестаёт активно участвовать в процессе газообмена. Вызывают этот опасный недуг патогенные микроорганизмы.

Стоит отметить, что многие люди путают крупозную пневмонию с очаговой. Но на самом деле эти патологии различны между собой. В случае прогрессирования очаговой пневмонии на рентгене будет видно, что поражены определённые дольки лёгкого. Если же прогрессирует крупозная пневмония, то на рентгене будет чётко видно поражение целой доли лёгкого, которая и состоит из небольших долек. Все это говорит о том, что площадь поражения при крупозном типе значительно больше, чем при очаговом. Поэтому такая патология и протекает тяжелее.

Ранее крупозная пневмония считалась настоящим приговором. Если проявились её симптомы, то в большинстве клинических ситуаций пациент умирал. Но сейчас, благодаря развитию медицины и наличию высокоэффективных препаратов, смертность практически приблизилась к нулю. Стоит отметить, что крупозная пневмония у детей диагностируется редко. Более подвержены ей взрослые люди из возрастной категории 18–40 лет.

Этиология

Основная причина прогрессирования недуга – патогенная активность микроорганизмов. Возбудителями пневмонии этого типа чаще являются пневмококки, стрептококки, стафилококки, клебсиеллы и кишечная палочка. Но не исключена и смешанная флора. В лёгочные ткани они проникают тремя путями:

  • воздушно-капельным (наиболее частый путь проникновения патогенной микрофлоры при очаговой, крупозной и прочих видах пневмонии);
  • гематогенный;
  • лимфогенный.

Крупозная пневмония

Крупозная пневмония

Факторы риска:

  • переохлаждение;
  • интоксикация организма;
  • анемия;
  • авитаминоз;
  • гиповитаминоз;
  • травма грудной клетки различной степени тяжести;
  • переутомление;
  • стресс;
  • наличие сопутствующих патологий в острой или хронической стадии;
  • снижение реактивности и сенсибилизации организма.

Пневмония начинает развиваться сразу, как только патогенная микрофлора проникла в лёгкие. Патогенез недуга напрямую связан с токсинами, которые выделяет возбудитель. Данные вещества проникают в лёгочные ткани, тем самым в значительной мере повышая проницаемость стенок сосудов, экссудацию эритроцитов и фибрина в альвеолы. Важен тот факт, что при разных стадиях недуга патогенез различен, а клиника зависит именно от этого.

Стадии

Всего в прогрессировании крупозной пневмонии клиницисты выделяют 4 стадии. Их общая длительность составляет максимум 11 дней.

Читайте также:

 

Вино мед рецепт от пневмонии

1 или стадия прилива. Длительность – одни сутки. Характерные признаки – микробный отёк и выраженная гиперемия доли лёгкого, поражённой микроорганизмами. Если на этой стадии взять на исследование отёчную жидкость, то можно будет выявить в ней огромное количество возбудителей. Проницаемость капилляров возрастает, и красные клетки крови постепенно просачиваются в просвет альвеол. Поражённая доля уплотняется. На рентгене можно выявить указанные изменения.

2 или стадия красного опеченения. Она развивается на второй день прогрессирования недуга. Диапедез эритроцитов постепенно усиливается из-за полнокровия и отёка. Но в просвет альвеол теперь просачиваются не только красные кровяные тельца, но и нейтрофилы. Между клетками выпадает фибрин (белок). Лимфатические сосуды, которые локализуются в тканях органа, расширяются и переполняются лимфой. Региональные лимфоузлы увеличиваются. Поражённая доля по плотности становится как печень, и приобретает тёмно-красный цвет.

3 или стадия серого опеченения. Она развивается у пациента на 4–6 день недуга. В просвете альвеол накапливаются нейтрофилы и нити фибрина. Концентрация красных кровяных телец, которые подвергаются гемолизу, снижается, что влечёт за собой уменьшение выраженности гиперемии. Доля лёгкого при данной стадии увеличивается, тяжелеет, а на плевре проявляются фибринозные наложения.

4 или стадия разрешения. Проявляется на 9–11 день прогрессирования недуга. Сформированный фибринозный экссудат постепенно расплавляется и рассасывается. Лёгкое очищается от накопившегося фибрина и патогенной микрофлоры. Экссудат из органа выводится вместе с мокротой и через лимфатический дренаж лёгкого.

Симптоматика

Крупозная пневмония начинается остро. Первый её симптом – гипертермия до высоких цифр. Но также не исключён и продромальный период, в котором у человека могут возникнуть такие симптомы:

  • слабость;
  • головная боль различной степени интенсивности;
  • вялость;
  • снижение аппетита;
  • расстройства со стороны ЖКТ: диарея, запор.

По мере прогрессирования патологии, киника дополняется такими симптомами:

  • боль в боку со стороны поражения. Имеет острый или колющий характер. Степень интенсивности различная. Может отдавать в плечо или живот. Этот симптом обычно исчезает на 2–3 день от начала развития болезни. Если же болевой синдром сохраняется дольше, то это уже тревожный сигнал – возможно у больного развилась эмпиема плевры;
  • кашель. На ранней стадии болезни он является малопродуктивным, но на 3 день становится влажным. Во время кашля у пациента выделяется густая мокрота. Сначала она пенистая и имеет белый цвет, но постепенно становится «ржавой» из-за примеси в ней крови;
  • обычно пациента беспокоит одышка – затруднён вдох. Частота дыхательных движений в минуту – от 25 до 50. Поражённая половина грудной клетки несколько отстаёт в акте дыхания;
  • цианоз. Этот симптом возникает вследствие нарушения газообмена. Ткани организма не получают в достаточной мере кислород. У больного человека отмечается цианоз носогубного треугольника, пальцев рук и ног, губ;
  • кожный покров горячий и сухой, а на конечностях холодный;
  • участие вспомогательной мускулатуры в акте дыхания.

Осложнения

Воспаление лёгких в любой форме является смертельно опасным недугом, так как на его фоне прогрессируют опасные осложнения, требующие лечения в реанимации.

Осложнения крупозной пневмонии следующие:

  • гнойный плеврит;
  • инфекционно-токсический шок;
  • перикардит;
  • сепсис;
  • выпотной плеврит;
  • абсцесс.

Диагностика

Крупозную пневмонию определить не составляет труда, так как её признаки являются довольно специфичными. Важно при проявлении первых симптомов, которые указывают на прогрессирование недуга, обратиться за квалифицированной медицинской помощью.

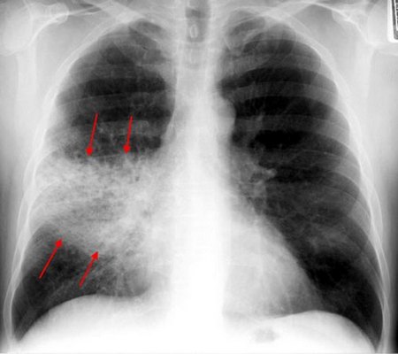
Наиболее информативным методом диагностики является рентген. Он даёт возможность выявить наличие и распространённость патологического процесса. Рентген проводят как взрослым, так и детям при подозрении на развитие этой патологии.

Рентгенограмма при крупозной пневмонии

Рентгенограмма при крупозной пневмонии

Основные признаки крупозной пневмонии, которые можно выявить при помощи рентгена:

  • поражённая доля имеет выпуклые границы;
  • однородное затемнение доли;
  • реакция плевральной оболочки очень чёткая.

Если при помощи рентгена врачу не удалось точно поставить диагноз, то прибегают к КТ или МРТ.

Также с целью диагностики пациенту назначают:

  • общий анализ крови;
  • биохимию крови;
  • общий анализ мочи;
  • анализ мокроты для дальнейшего бактериологического исследования.

Лечебные мероприятия

Лечение крупозной пневмонии проводится только в стационарных условиях. Эта патология настолько опасна для жизни, что о лечении в домашних условиях или при помощи народных средств не может быть и речи. В некоторых случаях больных даже переводят в отделение интенсивной терапии. Заниматься лечением недуга должен только высококвалифицированный врач.

План лечения разрабатывается с учётом стадии болезни, выраженности симптомов, тяжести протекания и общего состояния пациента. Стоит отметить, что базовую терапию следует начинать проводить как только был подтверждён диагноз.

Лечение крупозной пневмонии только комплексное. Только в таком случае оно будет эффективным. Пациенту назначается:

  • оксигенотерапия. Этот метод лечения необходим для нормализации газообмена;
  • антибактериальная терапия. Сначала врачи прибегают к препаратам широкого спектра действия, но после получения результатов посева мокроты, препарат могут сменить;
  • физиотерапевтические методики лечения;
  • антивоспалительные фармацевтические средства;
  • симптоматическое лечение. Базовая терапия может дополняться муколитиками, противогерпетическими препаратами, сосудистыми лекарственными средствами и прочее.

Ссылка на основную публикацию
Похожее