whatsapp telegram vkontakte email

Может ли подагра быть не на конечностях

Если подходить к определению слишком педантично, то эта болезнь, подагра, относится только к суставу основания большого пальца ноги (самый распространенный симптом). Другие названия этого же вида подагрического артрита в зависимости от места его возникновения называют: гонагра, чирагра, рачидагра.

Но больному в момент его знакомства с подагрой абсолютно всё равно, как что называется. Потому что он испытывает невыносимую боль. Пронизанная иглами или как будто сдавленная тисками ступня, на которую невозможно опереться — это первое, сильное, внешнее проявление подагры. Но начинается болезнь намного раньше.

Боль – это существенная, но не единственная проблема. Подагра часто развивается в тесном сочетании с такими серьезными заболеваниями как гипертония и сахарный диабет, а это уже действительно влияет на продолжительность и качество жизни. Так что предлагаем ознакомиться, что это за болезнь, каковы ее симптомы, какие существуют способы лечения. А также рассмотрим,  нужно ли придерживаться диеты и как это помогает при подагре.

Содержание:

  1. Подагра — что это за болезнь? Как она развивается и какие симптомы
  2. Трудности при постановке диагноза
  3. Лечение подагры. Во время приступа и между ними
    • Важна ли диета при подагре. Таблица «что можно и что нельзя»
    • Медикаментозное лечение подагры.
    • Как похудеть? Действительно важный вопрос при подагре
  4. Лечение подагры народными средствами
    • Перечень натуральных противовоспалительных средств

Подагра, что это за болезнь?

Подагра начинается задолго до проявления первых симптомов. Вследствие нарушения обмена мочевой кислоты, избыток ее в виде кристаллов годами накапливается в суставах и мягких тканях. Генетическая предрасположенность, нарушение метаболического обмена, снижение функции почек и лишний вес – вот частые причины возникновения подагры.

Проверить, есть ли у вас лишний вес, можно на ИМТ калькуляторе (откроется в новом окне, если кликнуть по зелёным буквам)

Первый яркий симптом – это боль в суставе. К слову сказать, симптом не специфичный, то есть подобные боли возникают и при других заболеваниях суставов, что создает проблему при диагностике подагры. Боль очень острая, а воспаление сустава появляется мгновенно. При первых приступах подагры поражаются суставы ног: сустав большого пальца, голеностопа или колена.

При приступе начинает беспокоить один, реже два сустава. Из-за возникающего отека сустав увеличивается в размерах, краснеет и становится горячим. Как  правило, приступ подагры проходит за неделю, из которых первые два дня самые тяжелые. Затем боль уменьшается, иногда даже  без помощи противовоспалительных лекарств, и опять наступает спокойный период бессимптомного течения болезни.

При дальнейшем развитии подагры частота приступов увеличивается до 3-4 раз в год, они становятся более продолжительными, также болезнь захватывает большее количество суставов. Следующая стадия – это отложение солей мочевой кислоты (уратов) в мягких тканях, при этом они набухают и образуют тофусы, в том числе в почках, что грозит возникновением мочекаменной болезни.

Диагностика подагры

Чаще всего, по разным причинам, врачам приходится основываться на характерной клинической картине подагры. Когда у больного уже не в первый раз наблюдаются острые воспаления суставов ног, в анализах крови уровень мочевой кислоты более 480 мкмоль/л, а в момент приступа повышаются скорость оседания эритроцитов и С-реактивый белок.

Гарантированно подтвердить или опровергнуть диагноз подагры можно с помощью метода поляризационной микроскопии, получив кристаллы мочевой кислоты из синовиальной жидкости при пункции сустава.

podagra-chto-kristally-simptomy-lechenie

Также в постановке диагноза может помочь ультразвуковая диагностика. На УЗИ при подагре видно два контура сустава. При достаточной квалификации специалиста УЗИ он поставит диагноз подагры или, допустим, артроза.

Лечение

Лечение при подагре условно можно разделить на два процесса:

  • Лечение во время приступа подагры

Это только медикаментозное лечение, направленное на то, чтобы хоть как-то помочь преодолеть болевой приступ. Перечень лекарств, их сочетание и дозировки подбираются врачами индивидуально. Обычно в максимально возможных дозировках назначают нестероидные противовоспалительные препараты (НПВП) в сочетании с колхицином. Принимают лекарства обычно до полного снятия воспаления.

К слову сказать, во время первого приступа подагры еще надо найти силы добраться до врача. Потому что любые попытки перемещения чувствительны для больного сустава, так как на ногу наступить практически невозможно. Для таких случаев врач назначает короткий курс обезболивающих. Так что к следующему приступу подагры пациент, как правило, знает свой перечень лекарств, который должен быть у него в домашней аптечке.

  • Профилактическое лечение заболевания в промежутках между кризисами

Еще более важная часть лечения – это профилактическая. От того насколько строго ее придерживаются пациенты, зависит насколько редко будут случаться приступы подагры. Их частоту можно сократить от нескольких раз в год до одного раза в несколько лет. Профилактическое лечение подразумевает соблюдение низкопуриновой диеты и приём лекарств.

Диета при подагре

При подагре главное ограничение в рационе питания — это алкоголь. В первую очередь, пиво и крепкий алкоголь. Потому что они задерживают выведение мочевой кислоты почками, из-за чего она накапливается в крови.

Мочевая кислота образуется из пуринов, которые поступают в организм человека вместе с пищей. При подагре потребление продуктов с высоким содержанием пуринов желательно сократить. И основное ограничение, как видно из таблицы, касается высокобелковой пищи.

Что желательно исключить и что сократить в своем рационе:

Продукты которых следует избегать Продукты которые следует ограничить Продукты которые можно потреблять
алкоголь (пиво и крепкие напитки) бобовые (фосоль, горох, бобы) молоко и молочные продукты
мясные и рыбные бульоны щавель, шпинат зерновые (хлеб, каши, отруби)
морепродукты и ракообразные томаты картофель
печень баклажаны морковь
субпродукты (печень,почки,легкие) редис капуста
жареное мясо цветная капуста огурцы
копчености спаржа тыква
острые приправы, специи грибы лук
Шоколад, кофе, какао рыба, икра свекла
Мясные и рыбные консервы отворное мясо, рыба сельдерей
вино орехи
арбузы, дыни
ягоды и фрукты

Лекарство от подагры

Главная роль в профилактическом лечении подагры отводится лекарственным препаратам, снижающим уровень мочевой кислоты в крови.

На начальном этапе обычно назначаются минимальные дозы и в дальнейшем они постепенно увеличиваются, ориентируясь на показатели мочевой кислоты в анализах крови, которые должны составлять 300-360 мкмоль/л.

Чем строже соблюдается низкопуриновая диета, тем меньше дозировка принимаемого препарата. А само лекарство, чтобы не допустить развития подагры и сократить частоту приступов, нужно принимать постоянно на протяжении многих лет.

Лишний вес – фактор дальнейшего развития подагры

Еще одной важной рекомендацией для предотвращения дальнейшего развития подагры является нормализация веса тела. Проще говоря, похудеть, если имеется избыточный вес. Повторимся, что лишний вес является одной из частых причин возникновения заболевания. Рекомендуем проверить свой ИМТ.

Важно

Лишний вес — это фактор развития подагры

При нормальном весе не только снижается риск возникновения подагры, но и, если всё-таки заболевание диагностировали, нормальный вес не допустит дальнейшего развития и существенно снизит частоту приступов.

Разобраться в вопросе как похудеть поможет статья «Быстрей худей! Продли свою жизнь» (откроется в новом окне, если кликнуть по зелёным буквам)

В подтверждение сказанного предлагаем посмотреть видеовыступление известного врача Мясникова А.Л., который знаком с подагрой по личному опыту. Отрывок, посвященный подагре, начинается с первой минуты. В данном видео рассматриваются вопросы трудности диагностики, постоянства лечения, и варианты медикаментов.

Хорошо. Давайте поговорим на тему альтернативного лечения.

Природные средства как альтернатива противовоспалительным препаратам.

Во время анализа информации по подагре мы нашли перевод статьи, размещенной на сайте уважаемой организации, Национальной американской медицинской библиотеки, которая занимается научной работой в области биомедицинских информационных технологий, созданием баз данных и сайтов.

В статье «Природные противовоспалительные средства для облегчения боли» указывается, что НПВП (противовоспалительные препараты), применяемые при острых воспалениях (в нашем случае – при приступе подагры) могут иметь нежелательные побочные эффекты на сердечно-сосудистую систему.

При проведении исследований в некоторых случаях при приёме НПВП выявлено отсутствие снижения боли и припухлостей по сравнению с группой плацебо. То есть выводы некоторых научных исследований говорят о бесполезности противовоспалительных препаратов.

Важно

 Противовоспалительные препараты могут быть не эффективными и имеют побочные действия  

Веками люди использовали природные противовоспалительные средства растительного и животного происхождения, побочные действия которых не так опасны и проявляются реже. Наиболее часто используемые народные средства рассматриваются в этой статье.

Как лечить подагру народными средствами при ее приступах

Омега3. Исследования показали, что всем известный рыбий жир, содержащий Омега-3, полиненасыщенные жирные кислоты, является одним из самых эффективных природных противовоспалительных средств.

Эффективность биологического состава рыбьего жира в лечении артрита по сравнению с традиционными фармацевтическими противовоспалительными средствами была доказана положительными клиническими исследованиями. Рекомендуемая дозировка составляет в общей сложности до 5 г Омега-3 в день вместе с едой.

Салицин. Это одно из старейших растительных средств от боли и воспаления, содержащееся в коре деревьев семейства ивовых (осина, белая ива). Салицин из коры преобразуется печенью в салициловую кислоту и, как считается, имеет меньше побочных эффектов, чем аспирин. У него есть некоторые противопоказания к применению, ознакомиться с которыми можно по ссылке

Ресвератрол представляет собой вещество растительного происхождения. Полифенол находится в разных концентрациях во многих различных растительных источниках. Считается, что  наибольшее его содержание в кожуре красного винограда и красном вине, а также чернике, шелковице.

Группа ученых (Elmali et al), сообщила в 2007 году, что внутрисуставная инъекция ресвератрола защищает хрящ и уменьшает воспалительную реакцию при моделировании остеоартроза коленного сустава. По выводам данного исследования клинических испытаний не проводилось.

Зеленый чай. Благодаря своим антиоксидантным свойствам, зеленый чай уже давно признан отличным профилактическим средством от сердечно-сосудистых и онкозаболеваний. Его противовоспалительные и хондропротекторные свойства продемонстрированы исследованиями совсем недавно. Рекомендуемая норма —  3-4 чашки в день.

podagra-lechenie-narodnje-sredstva

Ссылки на исследования и описания других народных средств (куркума, эфирное масло ладана и пр.), а также информацию о механизмах подавления воспаления этими средствами можно найти в обозначенной выше статье.

Резюме

Итак, подведем итог вышесказанному. Подагра – это хроническая болезнь суставов, которая в первую очередь существенно влияет на качество жизни. Поначалу, когда вследствие нарушений происходит накопление мочевой кислоты в суставах и тканях, болезнь протекает без особых симптомов. Далее подагра проявляет себя болезненными приступами, которые могут случаться до нескольких раз в год. Для контроля над заболеванием требуется постоянное профилактическое лечение, состоящее из низкопуриновой диеты и приеме лекарств. Будьте здоровы!

Эта боль появляется внезапно и столь же быстро исчезает. Но на неё нельзя не обращать внимания.

Что такое подагра

Древние греки, давшие название этой болезни, были метафоричны и в то же время категорически ясны. Подагра в буквальном переводе — «капкан для ноги». Представили? Да‑да, это оно: резкая сильная боль, пронзающая сустав большого пальца, покраснение, отёк, «горящая» кожа.

«Капкан» может отпустить ступню через час‑два, но может продержать и несколько часов, а то и суток.

Чаще всего от подагры страдает сустав большого пальца ноги — одной или обеих сразу. Но только ступнёй болезнь не ограничивается. Эта форма артрита может затронуть абсолютно любой сустав в вашем теле: колени, лодыжки, локти, запястья, пальцы…

Поначалу приступы довольно быстро проходят и порой могут не повторяться неделями и месяцами. Однако воспаление суставов прогрессирует. Каждый последующий приступ подагры становится дольше и сильнее, затрагивая всё новые и новые части тела. Так возникает хронический подагрический артрит, который однажды может привести к ограничению подвижности и разрушению суставов.

Почему это происходит

Подагру вызывают скопившиеся в суставах кристаллики мочевой кислоты . Кислота эта, в свою очередь, является продуктом распада пуринов — веществ, которые входят в состав некоторой еды и напитков. Например, мяса, морепродуктов или пива.

В норме организм выводит мочевую кислоту, растворяя её в крови, а затем прогоняя кровь через почки, откуда она удаляется с мочой.

Но иногда в этом отлаженном механизме случаются сбои.

Может, в кровь поступает слишком много мочевой кислоты. А может, почки поражены болезнью и не справляются с фильтрацией. В этом случае кислота может накапливаться в организме, образуя острые игольчатые кристаллы в суставах или окружающих тканях. Именно они вызывают боль, отёк и хроническое воспаление.

Что приводит к подагре

Медики перечисляют наиболее распространённые факторы риска , способные запустить развитие заболевания.

1. Нездоровый рацион

Если вы любите шашлык, да под что‑нибудь горячительное, подагра уже косится в вашу сторону. Мясо, особенно красное, содержит большое количество пуринов, а значит, увеличивает концентрацию мочевой кислоты в крови. А алкоголь затрудняет работу почек и не даёт им нормально вывести кислоту из организма.

Особенно опасно пиво: в нём содержится большое количество пуринов — органических веществ, которые в нашем теле превращаются в мочевую кислоту. Другими продуктами‑провокаторами этой формы артрита являются:

  • Субпродукты — сердечки, желудки и прочие потроха.
  • Копчёности.
  • Некоторые сорта рыбы.
  • Горох, чечевица.
  • Сладкие газированные напитки.

2. Пол и возраст

Раньше подагра считалась «мужской» болезнью, поскольку мужчины имели больший доступ к опасным продуктам питания — тому же мясу под пиво. Кроме того, мужской организм производит больше мочевой кислоты.

Как правило, эти два фактора выстреливают в 30–50 лет — в этом возрасте у большинства пациентов фиксируется первый приступ подагры.

С тех пор же, как женщины получили равный с мужчинами доступ к продуктам питания, подагрический артрит затронул и их. Правда, подагра приходит к слабому полу чуть позднее — после менопаузы, когда уровень мочевой кислоты в женском организме начинает приближаться к мужскому.

3. Лишний вес

Чем больше лишних килограммов, тем выше риски. В этом случае организм вырабатывает больше мочевой кислоты, а почки вынуждены фильтровать больший объём крови и могут не справляться с задачей.

4. Недавние травмы, операции, физическая перегрузка

В таких состояниях организм повышает выработку мочевой кислоты.

5. Некоторые заболевания

Гипертония, диабет, заболевания почек и сердца — всё это также может повысить уровень мочевой кислоты в крови.

6. Приём некоторых лекарств

К ним относятся отдельные диуретики (в частности, те, что назначаются при лечении гипертонии), а также препараты, содержащие салицилат.

7. Наследственность

Если у кого‑то из ваших близких родственников есть подагра, ваши риски повышаются.

Как лечить подагру

Для начала надо точно установить диагноз. Перепутать подагру с другим заболеванием сложно: уж слишком характерен этот «капкан». Но всё-таки окончательную точку в вопросе «Доктор, что со мной?» должен поставить квалифицированный медик — терапевт, хирург или ревматолог.

Возможно, вам понадобится провести дополнительные исследования:

  • Сдать анализ крови, чтобы выяснить уровень мочевой кислоты и креатинина — белка, который является маркером работы почек.
  • Сделать рентгенографию сустава — чтобы исключить другие причины воспаления, например травму.
  • Провести ультразвуковое исследование, чтобы обнаружить кристаллы мочевой кислоты в суставе.
  • Сделать анализ синовиальной жидкости сустава для определения всё тех же кристаллов мочевой кислоты.

Необходимые анализы опять‑таки назначит врач. Если подагра подтвердится, медик выпишет лекарственные препараты. Они делятся на две категории:

  • Препараты, которые снимают боль и предотвращают будущие приступы. К ним относятся как безрецептурные обезболивающие (например ибупрофен), так и более серьёзные рецептурные варианты. А также кортикостероиды — в виде таблеток или инъекций.
  • Препараты, которые предотвращают осложнения от подагры. Одни из них блокируют производство мочевой кислоты в организме, другие улучшают работу почек.

Лекарства — наиболее эффективный способ вылечить острую подагру и не допустить, чтобы она превратилась в хроническую. Но, чтобы сделать лекарственную терапию более эффективной, необходимо дополнять её и изменениями в образе жизни. Кстати, они же являются профилактикой этого вида артрита.

Что делать, чтобы не заболеть подагрой

1. Соблюдайте здоровую диету

Ограничьте употребление продуктов с высоким содержанием пуринов: мяса (особенно красного), субпродуктов, полуфабрикатов (колбас, сосисок), копчёностей. Не злоупотребляйте алкоголем и подслащённой газировкой.

2. Пейте больше воды

Жидкость помогает организму вывести лишнюю мочевую кислоту.

3. Больше двигайтесь и регулярно тренируйтесь

Это важно, чтобы поддерживать нормальный вес. Только не перестарайтесь. Физические перегрузки или слишком жёсткая диета могут навредить, поскольку также заставляют организм производить больше мочевой кислоты.

4. Ешьте кисломолочные продукты с низкой жирностью

По данным экспертов клиники Майо, такая кисломолочка снижает риск подагры. А значит, может служить альтернативой мясу в плане получения белка.

Подагра – это болезнь, связанная с нарушением обмена веществ, при которой ураты (соли мочевой кислоты) накапливаются в суставах. Подагру еще во времена Гиппократа называли «болезнью королей», так как неумеренность в еде и спиртном могли позволить себе только знатные люди. По статистике, в России подагрой болеет каждый 3 человек из 1000. Чаще всего этому заболеванию подвержены мужчины, достигшие 40 лет. Женщины тоже болеют подагрой, но, как правило, после менопаузы. По сути, подагра является одной из разновидностей патологий костно-суставной системы, причиной которой является отложение солей.

Заболевание влияет на все суставы, начиная от суставов пальцев рук до суставов пальцев ног.

Подагра ног

Подагра (фото на ногах)

Основной причиной возникновения подагры является злоупотребление либо едой (мясом, копченостями, субпродуктами (печенью, почками), бобами, рыбно-соленой пищей, фасолью, шоколадом), либо спиртными напитками.

Причиной могут также являться:

  • Отягощённая наследственность;
  • Характер питания;
  • Повышение уровня мочевой кислоты в крови.

К группе риска относятся люди, имеющие:

  • Ожирение;
  • Сахарный диабет;
  • Гипертоническую болезнь;
  • Заболевания почек;
  • Заболевание желудочно-кишечного тракта;
  • Люди с малоподвижным образом жизни.

Во время течения заболевания происходит накапливание производных мочевой кислоты (кристаллы уратов) в суставах, тканях, органах и других системах организма. Нарушение целостности сустава (частичное или полное разрушение) происходит из-за того, что урат кристаллизуется и откладывается в виде мелких частичек.

Большое содержание мочевой кислоты в организме человека происходит по нескольким причинам:

  • Абсолютно здоровые почки не выводят огромное количество мочевой кислоты;
  • Мочевая кислота выбрасывается в нормальном количестве, но почки не могут её вывести из организма.

В Юсуповской больнице оказывают современную и эффективную медицинскую помощь пациентам со всеми ревматическими болезнями, в том числе и пациентам с подагрой. В больнице работают квалифицированные ревматологи с многолетним опытом клинической работы. В Юсуповской больнице проводят качественную лабораторную диагностику и инновационные инструментальные методы исследования (ультразвуковая диагностика, магнитно-резонансная томография, компьютерная томография и прочие), которые позволяют распознать развитие ревматических заболевания на ранних стадиях.

Что такое подагра у мужчин на ногах?

Подагра, как правило, имеет хроническое течение, поэтому полностью излечить её практически невозможно. Данное заболевание проявляется чаще на ногах. У мужчин подагра характеризуется следующими симптомами:

  • Острая боль в суставах, усиливающаяся в утреннее время;
  • Покраснение и отечность первого пальца;
  • Скованность в конечностях;
  • Ограничение подвижности;
  • Подъем артериального давления;
  • Повышение температуры тела;
  • Чувство жара;
  • Потеря аппетита;
  • Частая смена настроения.

Первые атаки подагрического артрита (воспаление одного сустава) практически всегда бывают краткосрочными. Начинается такой приступ внезапно, как правило, ночью. Чаще всего воспаляется сустав большого пальца ноги (может один или сразу оба).

Подагра ног

Фото: подагра на большом пальце ноги у мужчины

Помимо того, что больных беспокоит сильнейшая боль, во время приступа сустав начинает распухать, краснеть, кожа в этой области становится ярко-красной или багряной, теплой или горячей на ощупь. Даже незначительное прикосновение к воспаленному месту или минимальное движение в суставе причиняют невыносимую боль. После нескольких дней мучительной боли (3-4 дня) симптомы резко прекращаются, будто ничего и не было.

Однако спустя определенное количество времени боль также внезапно возобновляется. Причем, если в начале интервалы между приступами были достаточно длительными (от одного месяца до года), а сами атаки подагрического артрита непродолжительные, то со временем клиническая картина меняется в худшую сторону. Атаки становятся более длительными, а интервалы между ними более короткими.

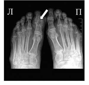
В конце концов, наступает такой момент, когда боль в суставах имеет постоянный характер, а светлые промежутки между приступами практически исчезают. Данное состояние носит название «подагрический статус», или хронический подагрический артрит. При хроническом подагрическом артрите наступает разрушение суставного хряща, а в рядом расположенных костях образуются специфические дефекты — «пробойники», представляющие собой полость, заполненную микрокристаллами урата натрия.

Подагра ног

На фото симптом «пробойника» на кости первого пальца ноги

Кристаллы урата натрия могут также накапливаться под кожей, образовывая белесоватые твердые узелки (тофусы), которые заполнены кашицеобразной массой. Такие тофусы часто образуются вокруг пораженного сустава.

Подагра ног

Фото: тофусы вокруг суставов пальцев ног

В особенно запущенных ситуациях подагра может дать осложнения на почки, так как в них тоже могут откладываться ураты, что приводит к мочекаменной болезни, а иногда и к пиелонефриту (воспалению почек).

У мужчин подагра встречается гораздо чаще и в более раннем возрасте, по сравнению с женщинами. Мужская половина человечества подвержена этой патологии уже к 40 годам.

Что такое подагра у женщин на ногах?

Под воздействием провоцирующих факторов у женщин нарушаются естественные процессы выделения мочевой кислоты и поступления ее в организм, уровень мочевины в крови при этом значительно повышается. Это объясняется недостаточной выработкой эстрогенов, которая в женском организме начинается в период менопаузы. Поэтому подагрой чаще всего болеют женщины после 50 лет при остром дефиците полового гормона и патологиях эндокринной системы. Основными симптомами являются:

  • Образование тофусов (накопление уратов в суставных тканях);
  • Нефролитиаз (скопление мочевины в почках с последующим образованием конкрементов);
  • Подагрическая (уратная) нефропатия.

Как вылечить подагру на ногах в Москве?

Чем лечить подагру на ногах знают врачи-ревматологи Юсуповской больницы. В борьбе с острыми воспалениями суставов врачи Юсуповской больницы применяют сразу несколько фармакологических групп:

  • Нестероидные противовоспалительные средства (такие как Ибупрофен, Индометацин, Диклофенак);
  • Урикозурические препараты (с целью снижения содержания мочевой кислоты) — Антуран, Бутадион, Кетазон;
  • Кортикостероиды (Преднизолон, Дексаметазон, Триамцинолон).

Уколы при подагре на ногах используются для купирования болевого синдрома. Выбор препарата при этом зависит от состояния здоровья пациента и особенности болевого порога человека, который определяет непосредственно врач.

В качестве вспомогательной терапии подагры ревматологи рекомендуют ежедневно на ночь наносить йодную сетку на пораженные участки. Таким образом можно уменьшить очаги воспаления, ускорить процесс ремиссии и ослабить приступ боли. Для усиления эффекта необходимо в йод добавить аспирин, и готовым составом регулярно смазывать пораженные суставы.

В Юсуповской больнице активно применяются физиотерапевтические методы лечения, которые эффективно снимают воспаление, сокращают число атак, предотвращают застойные явления уратов натрия и восстанавливают пораженные ткани суставов. С этой целью в больнице имеется:

  • Электрофорез;
  • Фонофорез;
  • Ультрафонофорез;
  • Тепловые процедуры;
  • Магнитотерапия;
  • Амплипульс;
  • Ультразвук.

Врачи Юсуповской больницы подберут индивидуальную программу правильного питания, которая будет исключать продукты, провоцирующие возникновение подагрического приступа. Ревматологи больницы распишут лечебную физкультуру с целью возобновления прежней подвижности суставов, нормализации кровообращения и обменных процессов в организме, а также укрепления мышечного аппарата пациента.

Если у Вас подагра большого пальца ноги и Вы нуждаетесь в лечении, обращайтесь за помощью к специалистам Юсуповской больницы. Врачи проведут полное обследование, которое будет включать в себя:

  • Общий анализ крови;
  • Общий анализ мочи;
  • Анализ крови на мочевую кислоту;
  • Исследование внутрисуставной жидкости (синовиальной);
  • Анализ крови на печеночные и почечные пробы, триглицериды, холестерин;
  • Рентген-диагностика воспаленных суставов.

Ревматологи Юсуповской больницы на протяжении многих лет успешно занимаются лечением подагры на ногах у жителей России. В больнице имеется современное оборудование и вежливый медперсонал, который обеспечит комфортное пребывание в стационаре. Записаться на прием и консультацию можно по телефону.

Автор

Может ли подагра быть не на конечностях

Заведующий отделением анестезиологии-реанимации с палатами интенсивной терапии, анестезиолог-реаниматолог

Список литературы

  • МКБ-10 (Международная классификация болезней)
  • Юсуповская больница
  • Ревматология. Малая медицинская энциклопедия. — М.: Медицинская энциклопедия. 1991—96 гг..
  • Багирова, Г. Г. Избранные лекции по ревматологии / Г.Г. Багирова. — М.: Медицина, 2011. — 256 c.
  • Сигидин, Я. А. Биологическая терапия в ревматологии / Я.А. Сигидин, Г.В. Лукина. — М.: Практическая медицина, 2015. — 304 c.

Наши специалисты

Владимир Владимирович Квасовка

Врач-терапевт, гастроэнтеролог, кандидат медицинских наук. Заместитель генерального директора по медицинской части.

Елена Юрьевна Панасюк

Ревматолог, кандидат медицинских наук

Анна Олеговна Пчелинцева

Ревматолог, врач высшей категории

Цены на услуги *

*Информация на сайте носит исключительно ознакомительный характер. Все материалы и цены, размещенные на сайте, не являются публичной офертой, определяемой положениями ст. 437 ГК РФ. Для получения точной информации обратитесь к сотрудникам клиники или посетите нашу клинику.

Скачать прайс на услуги

Мы работаем круглосуточно

Ссылка на основную публикацию
Похожее