whatsapp telegram vkontakte email

Очаговая правосторонняя пневмония у ребенка можно гулять

Пневмония – это серьезное воспаление различных структур легочных тканей, которое проявляется либо как самостоятельное заболевание, либо в качестве осложнения после другой инфекционной патологии. При болезни, из-за кислородного голодания, у пациента часто возникает желание погулять на свежем воздухе. Однако одним из факторов, который влияет на успешное выздоровление, является строгое соблюдение режима дня и выполнение всех рекомендаций лечащего врача.

Особенности течения воспаления легких

Воспаление легких

При пневмонии в воспалительный процесс вовлекаются нижние дыхательные пути, включая бронхи, бронхиолы и альвеолы. При воспалении легких у больных проявляются такие симптомы, как тяжелая одышка, кашель, болевые ощущения в груди и слабость.

Во время пневмонии легкие не в состоянии в полной мере выполнять свои функции. Воспаление мешает нормальному газообмену, и как результат, в организм начинает поступать намного меньше нормального объема кислорода, а углекислота, наоборот, хуже выводится наружу. При таком положении вещей в первую очередь страдает легочная ткань, в которой могут начаться гнойные воспаления. Зачастую это приводит к еще большему поражению легких и кислородному голоданию всего организма.

Отечность и другие воспалительные процессы негативно влияют на сердце, которое работает в усиленном режиме, что для ослабленного организма является подчас непосильной нагрузкой. В таком состоянии, помимо медикаментозного курса лечения, организму жизненно необходим чистый и свежий воздух.

В чем польза свежего воздуха для больных пневмонией

В первые несколько дней, когда развивается острый период заболевания, врачи рекомендуют соблюдать постельный режим, дважды в день делать влажную уборку и регулярно проветривать комнату. Летом, когда температура воздуха на улице больше 20 градусов, форточку можно не закрывать, но при этом нельзя допускать сквозняка. При более низкой температуре на улице, помещение следует проветривать не менее 4 раз в день.

Польза свежего воздуха для больного состоит в следующем:

Укрепление иммунитета

  • чистый воздух помогает укрепить иммунную систему, что имеет немаловажное значение в момент развития заболевания, когда все защитные силы брошены на борьбу с воспалительными процессами;
  • кислород заставляет легкие активнее очищаться от гноя и болезнетворной мокроты.

Также свежий воздух стимулирует кровообращение в легочных тканях и в организме в целом.

Когда гулять нельзя

Как бы ни хотелось выйти подышать на улицу, торопиться с прогулками не стоит. Специалисты настоятельно не советуют при пневмонии выходить на улицу, пока показатели температуры тела не пошли на спад и не приблизились к нормальным, а также пока человек ощущает слабость и упадок сил. Кроме того, лучше оставаться дома, если погодные условия далеки от идеальных. Дети и взрослые, у которых диагностирована пневмония, не должны гулять, если:

Холодная ветреная погода

  • за окном слишком холодно или чересчур жарко;
  • усиливаются порывы ветра;
  • если у пациента сохраняется непродуктивный (сухой) кашель, ему не стоит гулять. Сухой воздух оказывает негативное воздействие на легочные ткани. А вот прогулки после дождя либо при падающем снеге принесут несомненную пользу. Влажность воздуха способствует разжижению застойных явлений в органах дыхания и дальнейшей эвакуации болезнетворной слизи во время кашля.

Также медики рекомендуют оставаться дома тем больным, которые имеют склонность к аллергическим реакциям на тополиный пух, цветение растений и их пыльцу.

Возможные последствия

Пневмония – довольно опасное заболевание. Промедление в терапии или невыполнение рекомендаций лечащего врача нередко приводит к тяжелым последствиям и осложнениям. Многие из них откладывают отпечаток не только на деятельность органов дыхания, но и на работе близлежащих органов.

В результате прогулок во время острого периода болезни симптомы пневмонии часто усиливаются и прогрессируют, у больных начинаются различные осложнения, а воспаление принимает еще более тяжелую форму.

Когда следует начинать гулять при пневмонии

Лучше всего начинать гулять в момент выздоровления, когда вероятность получить осложнение сведена к минимуму. Выходы на улицу улучшают настроение пациентов, самочувствие и ускоряют устранение оставшихся симптомов болезни. Можно начинать гулять на балконе, предварительно одевшись и обувшись. Продолжительность домашних прогулок не должна превышать 7-10 мин. Далее через 2-3 дня, в зависимости от самочувствия, можно выходить на улицу.

Длительность прогулок на воздухе

Первые разрешенные врачом прогулки лучше делать недолгими – в районе 10-15 мин. Если маленький променад помогает больному легче дышать и улучшает самочувствие, его продолжительность постепенно увеличивают. По мере дальнейшего улучшения состояния больного врачи допускают выход на улицу утром и вечером. В момент реабилитации начинать прогулки следует с 400 м, постепенно увеличивая расстояние. Ходить надо медленно и делать остановки для отдыха. Главное, чтобы пациент чувствовал после прогулки не усталость, а заряд бодрости.

Регулярные выходы на свежий воздух необходимо продолжать еще на протяжении нескольких месяцев после выздоровления.

Рекомендуемые места для прогулок

Следует учитывать, что даже во время реабилитации организм пациента с пневмонией остается очень слабым. Поэтому чтобы не допустить повторного заражения от окружающих, гулять необходимо в местах, где нет людей или их количество минимальное. При возможности лучше выбирать для прогулок парки, рощи либо мало оживленные улицы.

Особенности распорядка прогулок для маленьких пациентов

Нужно проследить, чтобы ребенок во время прогулки не вспотел

Время, когда больного ребенка можно выводить на прогулку на улицу, напрямую зависит от вида пневмонии и его самочувствия. При тяжелом характере развития воспаления легких, малыши часто находятся дома не менее 3 недель, гулять им нельзя. В отличие от тяжелого течения пневмонии при простом очаговом воспалении легких, которое уже пошло на убыль, ребенку разрешается гулять. Так он насыщает организм кислородом и укрепляет свой иммунитет.

Родители должны следить за тем, чтобы ребенок на улице не потел. Для этого малышам нельзя бегать и прыгать. Поступление кислорода активизирует кровообращение в респираторном тракте и увлажняет загустевшую мокроту. Поэтому у ребенка может немного усилиться продуктивный выход мокроты. Это не повод для того, чтобы срочно заводить малыша в дом. Влажный кашель является благоприятным признаком.

С больными детьми нельзя совершать длительные путешествия. Они быстро устают и, как результат, ночью у них может вновь подняться температура, а также легко могут возобновиться другие симптомы болезни. Взрослым с детьми следует отдать предпочтение спокойным играм или медленным пешим прогулкам. Если малыш гуляет при воспалении легких с удовольствием, а вернувшись с прогулки, с аппетитом кушает и крепко спит, лишать его возможности немного прогуляться не стоит.

Гулять на свежем воздухе с грудничками можно только с разрешения педиатра. Единственное, что должны учитывать родители самостоятельно, – это уличный температурный режим и время пребывания на улице. Если родители все же боятся выводить малыша на улицу, но чувствуют, что ребенку нужен кислород, то лучше выйти с ним на 10 минут на балкон.

Соблюдение рекомендаций врача во время лечения пневмонии – это составляющая скорейшего выздоровления без осложнений и нежелательных последствий. Если врач не советует больному выходить на улицу, необходимо просто регулярно проветривать комнату и увлажнять в ней воздух.

Пневмония является острым инфекционным заболеванием, при котором развивается воспалительный процесс в легких. Одна из разновидностей этого заболевания – очаговая пневмония. Она чаще всего встречается у детей, и сопровождается инфекционно-воспалительным поражением на ограниченном участке легочной ткани.

Читайте также:

 

Какие признаки у пневмонии легких

Очень важно вовремя распознать симптоматику данного заболевания и начать лечение. Это позволит избежать развития серьезных осложнений.

Определение заболевания

Очаговая пневмония – это одна из разновидностей острой пневмонии, при которой поражается небольшой участок доли легкого. Среди детей данная форма заболевания особенно распространена.

Очаговая пневмония проявляется очагами воспаления на легочных тканях небольшого размера. Одна долька или скопление нескольких долек. Данное заболевание еще называется бронхопневмонией, поскольку воспалительный процесс начинается в бронхах.

Ситуация усугубляется, если воспалительные участки начнут объединяться друг с другом. В этом случае диагностируют очагово-сливную пневмонию. Она имеет более тяжелое течение и может привести к разрушению тканей легких.

Очаговая пневмония имеет четыре вида:

  1. Мелкоочаговая.
  2. Крупноочаговая (полисегментарная).
  3. Сливная.
  4. Двухсторонняя.

В большинстве случаев воспалительный процесс захватывает дольку внутри макросегмента. При сливной пневмонии воспаление захватывает один или несколько макросегментов, часть или целую долю. Для данного вида характерно чередование пораженных участков со здоровыми участками легкого.

При двухсторонней очаговой пневмонии воспалительный процесс локализуется сразу на двух легких. В зависимости от размеров очага воспаления она может быть двусторонней мелкоочаговой, крупноочаговой или сливной.

Для того, чтобы диагностировать заболевание, врач должен тщательно исследовать нижние дыхательные пути ребенка. При наличии воспалительного процесса слышны характерные хрипы, укороченный звук при выстукивании и усложненное или учащенное дыхание. Диагноз «очаговая пневмония» ставится на основе результатов лабораторных исследований.

Причины возникновения

Основная причина возникновения очаговой пневмонии – это бактериальная инфекция, которую могут вызвать стрептококки, золотистые стафилококки, палочки Пфейффера, пневмококки и так далее.

Иногда бывает так, что появление пневмонии связано со смешанным инфекционным заболеванием, которое было вызвано с комплексом разных патогенных микроорганизмов.

Очаговая пневмония в детском возрасте может возникать на фоне перенесенного ранее острого респираторного вирусного или инфекционного заболевания, например, гриппа, кори или коклюша.

В группу риска входят дети с ослабленным иммунитетом. Защитные силы организма могут ослабевать из-за частых респираторных заболеваний или уже имеющихся патологий, например, врожденная патология легких или сердца, дистрофия, рахит.

Факторы, влияющие на возникновение очаговой пневмонии у детей:

  1. Возраст. Заболевание развивается чаще всего у малышей. Причина заключается в том, что у ребенка не такой сильный иммунитет, как у взрослых, поэтому возбудители воспаления распространяются по организму быстрее.
  2. Снижение иммунитета. Когда иммунитет ослаблен и не может справиться со своими функциями, то болезнетворные бактерии, вирусы и прочие патогенные микроорганизмы активизируются.
  3. Переохлаждение организма. Оно может вызвать появление начальных симптомов простуды (температура, ухудшение общего состояния, вялость, боль в горле).
  4. Стрессы. Несформированный иммунитет в детском возрасте очень бурно реагирует на любые стрессы, в результате чего организм становится мишенью для развития различных заболеваний.
  5. Наличие хронической пневмонии в скрытой форме. Данное заболевание может вызывать рецидивы острого воспаления, например, плевропневмонии или очаговой пневмонии.
  6. Механические повреждения легких, вдыхание мелких частиц или токсических веществ. Из-за этого могут возникнуть небольшие очаги воспаления, а также аспирационная пневмония.

Симптомы

Основные признаки возникновения очаговой пневмонии у детей:

  • Катаральные явления. Они возникают совместно с с острой респираторной инфекцией. Присутствует влажный кашель.
  • Общая интоксикация. Она характеризуется возбуждением или апатией, потерей аппетита, лихорадкой, тахикардией, побледнением кожных покровов. Рвота бывает редко.
  • Гематологические изменения. Может наблюдаться лейкоцитоз, вероятен гиперлейкоцитоз, СОЭ повышена.
  • Поражение легких. Присутствует одышка у малышей, а у детей старшего возраста она может и отсутствовать. Легочный звук укорочен, изменяется дыхание, есть влажные хрипы.
  • Рентгенологические изменения.

При очаговой пневмонии в бронхах скапливаются гнойные выделения. Они могут быть слизистыми, серозными, гнойными с неприятным запахом. Выделения выводятся в виде мокроты при сильном приступе кашля.

Стадии развития воспалительного процесса:

  1. Появляются очаги воспаления небольшого размера, незначительно ухудшается состояние ребенка.
  2. Медленно ухудшается состояние легких, появляется кашель и другие симптомы.
  3. Сосудистая стенка пораженного отдела ткани легкого теряет свою проницаемость.
  4. Воспаленные ткани не могут полноценно функционировать, нарушается проходимость воздуха, затрудняется процесс газообмена.

Симптомы очаговой пневмонии похожи на признаки таких заболеваний, как аспирационная пневмония и плевропневмония. Они отличаются только тяжестью течения, наличием осложнений. Без диагностики точно определить заболевание и начать лечение невозможно.

Возможные осложнения

Осложнения при очаговой пневмонии развиваются не очень часто. Они бывают легочными и внелегочными.

К первой группе относятся: экссудативный плеврит, абсцесс, гангрена легкого, острая дыхательная недостаточность.

Во вторую группу входят: миокардит, менингит, токсический шок, гломерулонефрит.

Следует помнить, что любое осложнение утяжеляет течение очаговой пневмонии и затягивает выздоровление.

Основными осложнениями очаговой пневмонии являются плеврит, абсцесс и отек легких. При плеврите ослабляется дыхание, наблюдаются отставания грудной клетки при акте дыхания.

При абсцессе происходит резкое повышение температуры, нарастают симптомы интоксикации, вместе с мокротой выходит гной.

Отек легких является самым опасным осложнением, Он возникает из-за токсического воздействия на мелкие сосуды легочной ткани. Симптомами отека легких являются ухудшение состояния, прогрессирование одышки с одновременным появлением на здоровой стороне влажных хрипов.

Лечение

Если очаговая пневмония лечится в домашних условиях, то необходимо помнить, что кроме приема лекарственных препаратов, ребенок должен соблюдать питьевой режим, сбалансировано питаться, а родители должны обеспечить ему адекватный уход.

В меню ребенка, больного очаговой пневмонией, рекомендуется включать легко усвояемые и легкие продукты: овощи, фрукты, нежирное мясо.

Многие дети во время заболевания могут сохранять свою активность, но для скорейшего выздоровления все же нужно соблюдать постельный режим.

Следует чаще менять постельное белье и одежду, поскольку при очаговой пневмонии дети сильно потеют. Комнату необходимо постоянно проветривать, но при этом избегать сквозняков.

Терапия болезни медикаментозным способом

Медикаментозная терапия очаговой пневмонии у детей включает в себя:

  • Антибиотики. Чем раньше будут назначены данные препараты, тем положительнее это повлияет на прогноз пневмонии. Сначала назначаются антибиотики широкого спектра действия. Если эффекта нет, то препарат меняют. Конкретный антибиотик подбирается на основе микробиологического исследования и определения чувствительности к препарату.
  • Симптоматические препараты: противовоспалительные, антигистаминные, муколитические, бронхолитические и отхаркивающие средства.
  • Физиотерапия: ингаляции, массаж, лечебная физкультура в период реконвалесценции.

Читайте также:

 

Признаки пневмонии у взрослого при беременности

Также после рекомендации врача можно принимать иммунностимулирующие средства по типу Бронхомунала.

Лечение воспаления легких народными средствами

Народные средства могут использоваться как дополнение к основному лечению. Лечение домашними средствами не может быть альтернативной заменой антибиотикам, лечить очаговую пневмонию самостоятельно и только народными средствами может быть опасно для ребенка.

Народные средства включают в себя ингаляции, настои лекарственных трав, ванны для ног, растирания, массаж. Данные процедуры являются симптоматическим лечением. Они направлены на восстановление дренажной функции бронхов и укрепление иммунитета.

Рассмотрим несколько рецептов:

  1. Четыре столовых ложки смеси плодов аниса, травы спорыша, почек сосны, чабреца, семян укропа, корня солодки залить холодной водой, настоять два часа. После этого довести до кипения и варить еще пять минут. Процедить и пить по полстакана три раза в день (за тридцать минут до еды).
  2. Один стакан овса промыть, залить литром холодного молока. Довести до кипения и варить еще полчаса. Процедить, добавить пять столовых ложек меда и две столовые ложки сливочного масла. Пить по одному стакану перед сном.
  3. Одну чайную ложку душицы залить стаканом кипятка. Настоять два часа. Процедить и пить по четверти стакана трижды в день.
  4. Две столовые ложки кашицы из листьев алоэ смешать с чайной ложкой соли. Принимать по одной чайной ложке три раза в день (за час до еды).

Профилактика левосторонней и правосторонней очаговой пневмонии у детей

Профилактика очаговой пневмонии заключается главным образом в закаливании ребенка. Рекомендуется делать влажные обтирания, гулять на свежем воздухе.

Нужно своевременно лечить все респираторные заболевания и заниматься укреплением иммунитета ребенка.

Нельзя, чтобы ребенок дышал ртом на холоде. Нужно дышать носом. Можно закрывать его дыхательные пути теплым шарфом.

Симптомы крупозной пневмонии

Как проявляется пневмония описано здесь.

Пути передачи туберкулеза //drlor.online/zabolevaniya/legkix/tuberkulez/kak-peredaetsya-ot-cheloveka-k-cheloveku-osnovnye-puti-rasprostraneniya.html

Видео

Выводы

При очаговой пневмонии воспалительные изменения в легких захватывают отдельные участки (дольки, группы долек). Они представляют собой небольшие очаги, обычно множественные.

Данное заболевание может возникать как самостоятельно, так и быть осложнением другого заболевания, например, бронхита, трахеита.

Родитель должны внимательно следить за состоянием ребенка, и при появлении симптомов очаговой пневмонии им нужно как можно скорее показать своего малыша специалисту, который уточнит диагноз и назначит лечение.

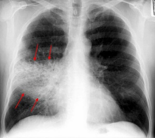
Воспаление легких может быть долевым или очаговым. В последнем случае пневмония характеризуется инфильтративными нарушениями в небольшой зоне легочной ткани с правой стороны, что хорошо видно на рентгене.

При этом возникает кашель и затруднение дыхания, но в некоторых случаях начало заболевания может протекать бессимптомно. Очаговая правосторонняя пневмония у ребенка вызывается вирусами и бактериями, в подавляющем большинстве случаев имеет острое течение.

Пневмония у детей

Пневмония у детей

Причины болезни

Наиболее частыми провокаторами инфекционного процесса в легких являются пневмо- и стрептококки, бактерии, вирусы, микозы, различные физические или химические раздражители. Заболевание может развиться на фоне ранее перенесенных болезней дыхательных путей и даже в результате длительного воздействия аллергенов.

У маленьких пациентов, в отличие от взрослых, в легочной ткани большее количество мелких кровеносных сосудов и очень чувствительный эпителий. Это создает благоприятные условия для обильного размножения бактерий и вирусов, что провоцирует стремительное воспаление и отекание паренхимы. При этом реснички не справляются со своей функцией и мокрота, которой при развитии патологического процесса становится больше, не удаляется, в этой среде начинает стремительно развиваться патогенная микрофлора.

Очаговая правосторонняя пневмония у ребенка ровно, как и с левой стороны означает, что в легочной ткани возникает очаг воспаления размером сантиметр и более. Очаговых образований может быть одно или несколько как, например, при хламидийной инфекции.

Могут поражаться целые сегменты или даже несколько сегментов легкого вплоть до всей правой доли. Такое явление наблюдается при очагово-сливном воспалении легких, рентгенограмме показывает на фоне общего затемнения более плотные участки отдельных очагов или полых зон разрушенной ткани.

Важно. В лечении очаговой пневмонии важна ранняя диагностика и своевременное адекватное лечение в противном случае терапия может затянуться, и стать причиной дыхательной или сердечной патологии.

Если очагов образуется несколько, то они могут по мере прогрессирования заболевания сливаться в один большой очаг. Воспалительный процесс может перейти на плевру в случае, когда пневмония располагается на поверхностных участках легкого. Воспаление развивается постепенно, а не возникает внезапно.

Вначале может возникнуть сухой кашель, но ближе к 3-4 суткам начинает выделяться мокрота, однако чаще наблюдается продуктивный кашель с самого начала. В анализе выделений регистрируется наличие серозного или слизисто-гнойного фибрина, что не дает возможности выходу красных кровяных телец.

По характеру очаговая правосторонняя пневмония практически всегда сопровождается воспалением эпителия бронхиального дерева поэтому заболевание имеет характерную симптоматику бронхопневмонии. Затруднение дыхания связано с нарушением проходимости бронхов из-за скопления экссудата в воздухоносных путях. Особенность данного вида болезни в плавном прогрессирующем развитии (без лечения) и отсутствия стадий.

Симптоматика и диагностика

Как образуется воспаление легких

Как образуется воспаление легких

Среди основных признаков, указывающих на вероятность того, что у ребенка очаговая правосторонняя пневмония выделяют:

  • интоксикацию;
  • изменения показателей крови;
  • кашель с отхождением мокроты;
  • фебрильную реже субфебрильную температуру;
  • хрипы в легких при аускультации;
  • затемненные области на рентгенограмме.

Синдром общей интоксикации

Признаки общей интоксикации характерны не только для очаговых пневмоний, однако являются важным симптоматическим показателем при воспалении легких. Следствием влияния токсинов может быть излишне возбужденное состояние ребенка или наоборот потеря интереса к общению.

При этом меняется настроение, дети отказываются от еды, повышается температура, бледнеют кожные покровы, нарушается сердечная ритмика.

Важно. Верным признаком воспаления легких является кашель и высокая температура, которая держится более трех дней.

Катаральные явления

Воспалительные процессы в дыхательных путях возникают при массовом развитии респираторных вирусов. Такое начало заболевания наблюдается более чем у половины больных детей.

Сначала возникает кашель, при его отсутствии нужно дифференцировать воспаление легких от других патологий. Характерно отделение мокроты с начала возникновения кашля.

Синдром поражения легких

Аускультация легких у девочки 6 лет

Аускультация легких у девочки 6 лет

Наиболее типичная картина при воспалении легких появление отдышки. Хотя она появляется не во всех случаях ее относят к специфическим признакам воспаления легких у малолетних больных, у детей более старшего возраста болезнь может протекать без нее.

Читайте также:

 

Пневмония сколько дней держится высокая температура

При выслушивании наблюдается укороченный легочный звук, над очагом воспаления слышны влажные хрипы, дыхание затруднено. Отсутствие названых синдромов поражения легких не может быть основанием для исключения очаговой правосторонней пневмонии. Более подробно от этом рассказывается на видео в этой статье.

Важно. При диагностировании очаговой пневмонии у детей, как правило, признаки обструкции отсутствуют.

Синдром гематологических сдвигов

Изменения крови является явной симптоматикой развития воспаления легких. Основными показателями служат:

  • лейкоцитоз (при хламидийной инфекции гиперлейкоцитоз);
  • увеличенные показатели СОЭ;
  • повышение количества лимфоцитов явно указывает на наличие бактериальной инфекции.

Важно в постановке диагноза четко дифференцировать заболевание правильно. Чаще всего воспаление легких путают с бронхитами, например, лейкоцитоз может быть признаком обоих заболеваний. В особых случаях проводят биохимический анализ крови на С-реактивный белок (СРБ) и прокальцитонин, полученные данные помогают подтвердить или опровергнуть наличие вирусной инфекции.

У детей при воспалении легких не возникает обструкции, если она есть, то скорее всего диагнозом может быть катаральный обструктивный бронхит, который имеет схожие признаки с бронхопневмонией, причем даже при помощи рентгена не всегда в таком случае удается точно диагностировать заболевание.

Рентгенологическое исследование

Крупозная пневмония

Крупозная пневмония

При подозрении воспаления легких и для контроля после окончания приема антибактериальной терапии всегда назначается рентгенологическое исследование грудной клетки причем в особых случаях, например, при наличии очага в нижней доле рентген делается в нескольких проекциях (прямой и боковой). В пораженной зоне на снимке различимы гомогенные тени. При микоплазменной инфекции затемнения будут носить неоднородный характер имея тяжистую структуру.

В особо тяжелых случаях, при которых нужна более четкая картина может быть назначена компьютерная томография. Это позволяет определить степень инфильтрации паренхимы легких. Кроме этих методик в индивидуальном порядке могут быть назначены бронхоскопия и флебография легочных сосудов. Данные методы сложны, болезненны и цена их проведения довольно высока.

Лечение

Лечение детей может осуществляться как в домашних, так и в стационарных условиях. Показания для госпитализации:

  • малыш с очаговым воспалением легких до наступления трех лет;
  • годовалый ребенок если установлено наличие внутриутробной инфекции;
  • дети до трех месяцев в обязательном порядке;
  • если у больного есть хронические заболевания: ХОЗЛ, диабет, патологии сердца, почек и онкологические заболевания крови;
  • в случае если семья ребенка социально не благополучная;
  • дети подвергающиеся длительной гормональной или противораковой терапии;
  • дети из детских домов или интернатов;
  • при тяжелом состоянии больного.

Когда врач уверен в точности диагноза начинают борьбу с причиной вызвавшей развитие патологии, при сомнительном диагнозе, что бывает в большинстве случаев назначается рентген. До назначения антибиотиков важно отобрать пробы мокроты для исследования патогенной микрофлоры.

При наличии бактериальной причины назначаются антибиотики пенициллинового ряда. Но сегодня бактерии стали резистентными к β-лактамным антибиотикам поэтому требуется совмещать антибиотикотерапию с ингибиторами ферментов. Современные лекарственные средства успешно решили эту задачу.

Наиболее эффективными препаратами считаются Тиментин и Аугментин (пример препарата указан на фото).

Аугментнин часто назначают при очаговой пневмонии

Аугментнин часто назначают при очаговой пневмонии

Уход за ребенком дома

Не является редкостью лечение очаговой пневмонии в домашних условиях особенно если ребенок старших возрастов. Инструкция по лечению включает регулярный прием лекарственных препаратов, соблюдение постельного режима и определенной диеты.

Питание должно быть легким и содержать больше витаминов и жидкости. Краткие рекомендации указаны в таблице.

Таблица. Рекомендованные продукты при очаговой пневмонии у детей:

Продукт Комментарий

Нежирное мясо

Поступление животного белка важно для детского организма по двум основным причинам. Во-первых, ребенок постоянно растет, во-вторых, регулярное поступление аминокислот важно для обеспечения иммунитета поскольку антитела имеют белковую природу.

Кисломолочная продукция

При антибактериальной терапии важно поддерживать микрофлору кишечника и желудка в нормальном состоянии. Поэтому полезно давать детям кисломолочную продукцию богатую полезными микроорганизмами: лакто-, бифидо- и молочнокислыми бактериями. К тому же в кефире, йогурте и сырах содержится много кальция, белка и углеводов.

Растительная пища

Крайне важно включать в меню больного ребенка разнообразную растительную пищу. Клетчатка очень полезна для пищеварения, а витамины и органические кислоты стимулируют работу иммунитета и ускоряют выздоровление.

Морепродукты

В морской капусте есть витамины и природный йод – крайне полезный для растущего организма микроэлемент. Морская рыба богата ценным легко усваиваемым белком и жирными кислотами с витаминами А и Е, которые помогают в работе иммунной системы и нужны для внутренних эпителиальных клеток, что очень важно при воспалении легких. Рыбий жир при пневмонии существенно ускоряет регенеративные процессы.

Обильное питье

При высокой температуре и интоксикации нужно больше пить жидкости чтобы не допустить обезвоживание организма. Жидкость нужна для образования и хорошего отхождения мокроты. Больные дети от трех лет должны употреблять не менее 3 литров жидкости. Желательно давать щелочную воду, витаминизированные компоты и соки.

Нежирное мясоКисломолочная продукцияРастительная пищаМорепродуктыОбильное питье

Важно. При лечении пневмонии желательно исключить тяжелую пищу для желудка поскольку при антибактериальной терапии изменяется естественная микрофлора кишечника, что может сопровождаться запорами или диареями.

Несмотря на то, что даже больные дети весьма активны важно придерживаться постельного режима и только после исчезновения температуры можно гулять летом, но внимательно следить чтобы ребенок не переохлаждался и не потел. Также следует обращать внимание на гигиену, ибо в острый период дети часто потеют поэтому приходится менять как нательное белье, так и постельное.

В помещении, где находится больной следует поддерживать температуру около 20 градусов, делать постоянные влажные уборки, часто проветривать комнату, не допуская при этом возникновения сквозняков.

Важно обеспечить больному ребенку постельный режим

Важно обеспечить больному ребенку постельный режим

Кормление грудничков

При очаговом воспалении легких ребенок должен употреблять жидкости не менее 150 мл/кг массы тела. Но это легко посчитать только при условии искусственного вскармливания.

При кормлении грудью проследить за этим довольно проблематично, есть предложения после еды взвешивать малыша, но это довольно хлопотно и редко выполнимо. В таком случае рекомендуют наблюдать за ребенком.

Когда он сосет грудь довольно активно, не наблюдается затруднения дыхания или отдышки, регулярно мочится, то вероятно он получает достаточное количество жидкости. В обратном случае, когда малыш вял, отказывается от пищи, а его активность понижена то желательно докармливать ребенка при помощи ложки. В больнице недостаток жидкости вводят при помощи инфузии.

Профилактика

Предыдущая статья

Повышается ли температура при подагре

Следующая статья

Можно ли куриный суп при подагре

Связанные материалы

  • Пневмония Глубина и ритм дыхания при пневмонии By Фарышев Максимильян 4 года ago
  • Пневмония После лечения пневмонии остались хрипы By Мощенский Тимур 4 года ago

После лечения пневмонии остались хрипы thumbnailГлубина и ритм дыхания при пневмонии thumbnail

  • Правообладателям
  • Политика конфиденциальности

© Советы от детских врачей

Ссылка на основную публикацию
Похожее