whatsapp telegram vkontakte email

Пневмония при попадании рвотных масс в легкие

Текущая версия страницы пока не проверялась опытными участниками и может значительно отличаться от версии, проверенной 3 декабря 2019;
проверки требуют 3 правки.

Аспирацио́нная пневмони́я (лат. aspirātiō — «вдыхание») — воспаление лёгких, возникающее при вдыхании или пассивном попадании в лёгкие различных веществ в массивном объёме, чаще всего в практике — рвотных масс. Воспаление возникает через специфические свойства субстанций, вызывающих сильные воспалительные реакции.

К аспирационной пневмонии часто приводит регургитация (затекание) желудочного содержимого в дыхательные пути при кардиопульмональной реанимации, шоке, нарушениях сознания (в том числе, алкогольной и героиновой интоксикации), при нарушении глотания в рамках различных неврологических заболеваний (бульбарный паралич, псевдобульбарный, миастения, постравматическая энцефалопатия, тяжело протекающие нейродегенеративные заболевания, ассоциированные с нарушением нервно мышечной проводимости, запущенные менингиты, миастении дисфагии), заболеваний пищевода (ГЭРБ, рак пищевода, грыжа пищеводного отверстия и диафрагмы), тяжело протекающие уремические энцефалопатии, диабетические полиневриты. Соляная кислота содержимого желудка с низким pH (<2,5) является очень агрессивной по отношению к эпителию дыхательных путей, вызывая химический пневмонит. Данный тип поражения приводит к спазму бронхов, ателектазам, бронхоэктазам, абцессам, гангренам легких, буллюсу, альвеолиту, стридору, нарушая барьер слизистой и открывая «ворота» для инфекций. Отдельно выделяют синдром Мендельсона — аспирационную пневмонию, вызванную аспирацией желудочного содержимого у больных под наркозом[1]. Данный синдром может осложниться отеком легких и сердечно-лёгочной недостаточностью.

Лечение[править | править код]

Все случаи аспирационных процессов требуют неотложной медицинской помощи, в первых мероприятиях могут проводиться удары надбрюшной области (прием Хеймлиха) для стимуляции кашлевого рефлекса. Могут (изредка) также быть использованы аналептики. Часто показана реанимационные мероприятия в пульмонологии, отоларингологии, либо в гнойно-септическом, либо в гангренозно-некротическом отделениях торакальной хирургии, в зависимости от степени (порядок расположен от начала пневмонии по степени нарастания возможных осложнений) аспирации, важно также уточнить генез патологии, особенно при связях с неврологическими, нейродегенеративными и нейроинфекционными патологиями и процессами (в том числе и хроническими), при связях с судебной медициной, с травматологией и онкологией и токсикологией, при заболеваниях с нарушениями обмена, в каждом из случаев лечение должно быть в комплексе с основной патологией (особенно в случае бас, болезни паркинсона, ботулизма, миастении, бешенства столбняка, дифтерии, при энцефалопатиях полинейропатиях и миопатиях уремического, диабетического, токсического (отравление ФОС, полиэтиленгликолем, двуокисью углерода, фенотизианами, тирэтилсвинцом) и посттравматического генеза, и при установленных связях с нейроинфекциями), и подбираться строго индивидуально, в зависимости от первоначальной причины, в комплексе с основной патологией. Лечение в данных случаях должно быть направлено на устранение/коррекцию первопричины.

В качестве общих мер проводятся эндоскопические (чаще всего прямыми жесткими ларингоскопами, или бронхоскопами, реже эзофагоскопами) санационные мероприятия (промывание-очищение), с подключенными аспираторами, направленные на быстрое диагностирование причины и её устранение, внутривенное, эндотрахеальное, эндобронхиальное и ингаляционное вливание бронхолитиков (аминофилин), муколитиков (ацетилцистеин, бромгексин), антибиотиков (сульфамиламиды, тетрациклины, пеницилины, линкозамиды, карбапенемы, нитрофураны, цифалоспорины), противомикробных средств (тинидазол, метронидазол, орнидазол), коркистероидов (бекламетазон, бетаметазон), протеолитических ферментов (трипсин, химотрипсин, химопин и др.), антигипоксантов (актовегин, убихинон, цитохром С, натрия оксибурат, карнитин), иногда (очень редко) и диуретиков (лазикс, манитол), витаминов групп А, Е и B, метаболические средства, в некоторых случаях может проводиться также трахеостомия торакоэктомия. Могут применяться системные антигипоксанты (цитохром, карбоксилаза, триметазидин, натрия оксибурат), а также адренометики (астмопент, беродуал).

Примечания[править | править код]

Многие поколения хирургов замечали, что часто в первые дни после травмы внезапно развивалась тяжелая необратимая дыхательная недостаточность. Человек умирал не от травмы или операции, а от легочных осложнений. Антибиотики снижали опасность развития обычной пневмонии в первые сутки после травмы или операции. Однако, не особо повлияли на частоту развития внезапной необратимой дыхательная недостаточности. В 60-е годы для характеристики легочных осложнений у раненых использовали термин «шоковое легкое».

Накапливалась информация о том, что похожие изменения в легких развиваются и при ожогах, отравлениях, переливаниях крови, тяжелых инфекциях и в других случаях. Потребовалось время, чтобы осознать общность этих осложнений и объединить их. К концу 70-х годов в Америке, как правило, использовался термин респираторный дистресс-синдром взрослых (РДСВ).

Респираторный дистресс-синдром взрослых (РДСВ) — это быстро развивающееся критическое состояние, при котором легочный газообмен не обеспечивает потребностей организма в кислороде, выведения углекислого газа и поддержания кислотно-основного равновесия.

В 1992 году респираторный дистресс-синдром взрослых (РДСВ) переименовали в острый респираторный дистресс-синдром (ОРДС), намекая на скоротечность развития — 1-2 суток.

В хирургических стационарах острый респираторный дистресс-синдром (ОРДС) — явление частое, в терапевтических — практически не встречается.

Острый респираторный дистресс-синдром (ОРДС) — это некая универсальная реакция, которая развивается при целом ряде тяжелых состояний.

Причины острого респираторного дистресс-синдрома (ОРДС)

Прямое воздействие на легкие:

  1. попадание жидкости в легкие (рвотные массы, пресная или соленая вода);
  2. вдыхание токсических веществ (высокие концентрации кислорода, дым, едкие химикалии — двуокись азота, соединения аммония, кадмия, хлора, фосген);
  3. легочная инфекция (пневмония);
  4. пневмонит от воздействия радиации;
  5. эмболия легочной артерии;
  6. очень быстрое расправление легкого при пневмотораксе;
  7. ушиб легкого.

А так же:

  1. любой вид шока — травматический, геморрагический, септический, анафилактический;
  2. инфекция (сепсис, перитонит и т.п.);
  3. травма (жировая эмболия, переломы, черепно-мозговая травма, ожоги);
  4. отравление препаратами (героин, барбитураты = Фенобарбитал, ацетилсалициловая кислота = Аспирин, метазон, прокопсифан = Дарвоцет или Вигезиг);
  5. нарушения в крови (массивное переливание крови, диссеминированное внутрисосудистое свертывание крови, состояния после аппарата искусственного кровообращения);
  6. разные (панкреатит, уремия, лимфатический карциноматоз, эклампсия, состояние после кардиоверсии, инфаркт кишечника, внутриутробная гибель плода, тепловой удар, сильное переохлаждение, обширные хирургические операции, артериальная эмболия, трансплантация легких, сердечно-легочная реанимация).

Читайте также:

 

Пневмония без кашля с температурой у взрослого

В основе острого респираторного дистресс-синдрома (ОРДС) первично повреждение эндотелия сосудов и альвеол (что повреждает смотри выше). Дыры в эндотелии капилляров пропускают белок. Не только мелкие молекулы альбумина, но и молекулы фибриногена, которые крупнее в 10 раз. За счет этого на стенках альвеол выпадает фибрин — так называемые «гиалиновые мембраны». Наряду с этим в просвет альвеол могут попадать и эритроциты. Наконец, реагируя на белок, в просвет альвеол выползают многочисленные макрофаги.

Затопленные жидкостью участки легких не работают – в них не идет газообмен. За счет гипоксии (нехватки кислорода) происходит разрушение альвеолярного эпителия, что еще больше способствует выходу жидкости в альвеолы.

Важно!!! Так как белковая жидкость в альвеолах представляет питательную среду для микробов, при респираторном дистресс-синдроме всегда развивается пневмония.

Легкие имеют массу 900 -1000 г и более каждое (в норме 380 г), их кусочки тонут в воде (в норме не тонут). С поверхности разреза обильно стекает пенистая жидкость, которая может иметь розовый цвет. Такая же жидкость обнаруживается в просветах трахеи и бронхов.

На ранних стадиях появляется небольшая одышка, незначительно снижаются концентрация кислорода и углекислого газа в крови. Недостаток кислорода легко устраняется с помощью ингаляций кислородом.

По мере развития острого респираторного дистресс-синдрома одышка усиливается. Над всей поверхностью легких выслушиваются обильные влажные хрипы. Кислород в крови падает — гипоксия. Повышается углекислый газ — гиперкапния. Развивается метаболический и респираторный ацидоз. Далее наблюдается удушье, дыхание клокочущее, выделяется пенистая розового цвета мокрота. Из за гипоксии (нехватки кислорода) больной впадает в кому.

Важно!!! При остром респираторном дистресс-синдроме гипоксия с трудом поддается коррекции даже с помощью искусственной вентиляции легких (ИВЛ).

Появляются признаки поражения практически всех внутренних органов

  1. Нарушена работа печени — повышен билирубин, печеночные ферменты (АЛТ, АСТ, ГГТ, ЩФ), снижен альбумин и холестерин крови.
  2. Сердечно-сосудистые расстройства: артериальное давление падает (АД поддерживается только возрастающими дозировками дофамина, добутамина); признаки ишемии миокарда на ЭКГ; тахикардия постепенно переходит в брадикардию, с последующей остановкой сердца, которая неизбежно приводит к смерти.
  3. В терминальной стадии острого респираторного дистресс-синдрома (ОРДС) стартует синдром диссеминированного внутрисосудистого свертывания (ДВС-синдром). Развивается почечная недостаточность — нарастает олигоурия, азотемия. Часто наблюдаются желудочно-кишечные кровотечения.
  4. Если, вопреки всему, больной выжил на пути к выздоровлению встанет проблема диффузных склеротических и хронических воспалительных процессов в легких — это сочетание хронического бронхита, пневмонии, пневмосклероза, эмфиземы, иногда бронхоэктазов. Что приводит к хронической легочной недостаточности. Возрастает нагрузка на правые отделы сердца. Развивается синдром «легочного сердца». В итоге — гибель больного.

Картинка на рентгенограмме легких будет меняться ОТ и ДО

  1. усиление легочного рисунка в периферических отделах легких;
  2. усиление лёгочного рисунка + двусторонние мелкоочаговые тени по всем легочным полям;
  3. множественные средне- и крупноочаговые тени с тенденцией к слиянию на фоне снижения интенсивности легочного рисунка, а в 10-15% случаев выявляется выпот в плевральных полостях;
  4. затемнения больших участков лёгких (доли, сегменты) и синдром воздушной бронхографии (48-50% случаев).
  1. при первых признаках дыхательной недостаточности подают КИСЛОРОД (на высоте развития респираторного дистресс-синдрома концентрация кислорода может быть увеличена с 50% до 90% для того, чтобы напряжение кислорода в артериальной крови было более 60 мм рт.ст.).
  2. антибиотики широкого спектра действия;
  3. гормоны (преднизолон, гидрокортизон) уменьшают отек, связанный с повреждением легких, так называемый, противошоковый эффект, уменьшая тонус сосудов сопротивления и увеличивая тонус емкостных сосудов, снижают продукцию гистамина и воспаление слизистой бронхиол;
  4. нестероидные противовоспалительные (диклофенак, ортофен, индометацин) и антигистаминные средства (супрастин, пипольфен, тавегил) воздействуют на свертывающую систему крови, уменьшают проницаемость сосудов, подавляют воспалительные реакции;
  5. антикоагулянты предупреждают образование тромбов и закупоривание легочных сосудов тромбами (подкожно малые дозы гепарина по 5000 ЕД 3-4 раза в сутки);
  6. нитраты (перлинганит, нитропруссид внутривенно) действуя на венечные и венозные сосуды, способствуют разгрузке малого круга кровообращения;
  7. кардиотоники (допамин или допмин, добутамин или добутрекс) используются при низком сердечном выбросе и артериальной гипотонии);
  8. мочегонные (лазикс, урегит, альдактон) для уменьшения отека легких (следует отдать предпочтение лазиксу, который оказывает сосудорасширяющее действие на вены и уменьшает застой в легких еще до начала мочегонного эффекта);
  9. ингаляции через небулайзер сурфактанта необходимо начать как можно раньше (отечественные препараты: сурфактант BL или сурфактант HL в виде 3% эмульсии, доза 200-250 мг в сутки). Важно!!! Нельзя применять ультразвуковой ингалятор — сурфактант разрушается ультразвуком;
  10. обезболивание (морфин, промедол) — морфин снижает венозный тонус и перераспределяет циркуляцию крови из центрального в периферические отделы);
  11. антиоксиданты (ингибиторы супероксидазы — неотон) для улучшения метаболизма миокарда и мышечной ткани, микроциркуляции;
  12. гликозиды (строфантин, корглюкон) используют для повышения сократительной способности миокарда и поддержания конечного диастолического давления в левом желудочке для обеспечения достаточного ударного объема сердца (при левожелудочковой недостаточности, обусловленной инфарктом миокарда или тяжелой ишемией миокарда, применение гликозидов не показано).

Читайте также:

 

Антибиотик от кашля и пневмонии

Искусственная вентиляция легких при респираторном дистресс-синдроме

Острый респираторный дистресс-синдром с тяжелой дыхательной недостаточностью является показанием для перевода больных на искусственную вентиляцию легких в режиме создания положительного давления в конце выдоха. Применение повышенного давления в конце выдоха улучшает оксигенацию за счет расправления спавшихся альвеол.

Важно!!! Высокое положительное давление в конце выдоха (превышающее величину легочного сопротивления — более 12 см вод ст) опасно. Повышенное давление в альвеолах препятствует кровотоку и уменьшает сердечный выброс. Таким образом, ухудшается оксигенация тканей и увеличивается отек легких.

Аспирационный пневмонит имеет неблагоприятный прогноз из-за токсичности отека легких. Это частая причина респираторного дистресс-синдрома у алкоголиков, наркоманов, при неврологических поражениях, в посленаркозном состоянии.

Признаки аспирации: неукротимый кашель, цианоз, сухие и влажные хрипы в легких, выкашливание остатков пищи или желудочного содержимого.

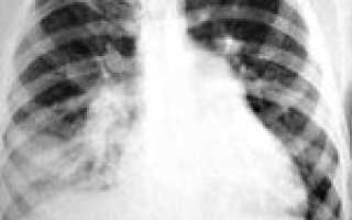
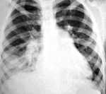
Рентген легких при аспирации: отмечаются тени легочных инфильтратов и явления аспирационной пневмонии.

Что делать при попадании рвотных масс в бронхи

  • проводят эндотрахеальную интубацию;
  • отсасывают рвотные массы из трахеи и бронхов;
  • больного переводят на искусственную вентиляцию легких кислородом;
  • вводят зонд в желудок и отсасывают его содержимое, чтобы защитить дыхательные пути от повторной аспирации;
  • приступают к бронхоальвеолярному лаважу в условиях искусственной вентиляции легких кислородом под внутривенным наркозом кетамина, дипривана или барбитуратов.

Если несмотря на проведенные мероприятия не удается предотвратить начало развития респираторного дистресс-синдрома (РДСВ), то продолжают проведение искусственной вентиляции легких и осуществляют весь комплекс интенсивной терапии, проводимой при респираторном дистресс-синдроме (смотри выше).

Аспирационная пневмония

Аспирационная пневмония – это инфекционно-токсическое повреждение легочной паренхимы, развивающееся вследствие попадания в нижние дыхательные пути содержимого ротовой полости, носоглотки, желудка. Аспирационная пневмония проявляется кашлем, тахипноэ, цианозом, тахикардией, болью в груди, лихорадкой, появлением зловонной мокроты. Диагностика аспирационной пневмонии опирается на аускультативные и рентгенологические данные, результаты бронхоскопии, микробиологического исследования содержимого нижних дыхательных путей и плеврального выпота. Лечение аспирационной пневмонии требует проведения оксигенотерапии, антибиотикотерапии, эндоскопической санации трахеобронхиального дерева; при необходимости проводится дренирование развившихся абсцессов или эмпиемы плевры.

Общие сведения

Под аспирационной пневмонией в пульмонологии понимается воспаление легких, возникшее в результате установленного эпизода случайного попадания в нижние дыхательные пути содержимого ротоносоглотки или желудка. Среди различных форм пневмоний аспирационная пневмония имеет довольно большой удельный вес: на ее долю приходится около 23% случаев тяжелых форм легочной инфекции. Аспирационный синдром нередко встречается у практически здоровых лиц во время сна. Так, при исследованиях с ирригацией носоглотки раствором, меченным радиоактивными изотопами, аспирация была зафиксирована у 45-50% здоровых людей и у 70% пожилых пациентов в возрасте старше 75 лет с нарушением сознания.

Аспирационная пневмония

Аспирационная пневмония

Причины

Аспирационные пневмонии развиваются на фоне случайного попадания твердых частиц или жидкости в воздухоносные пути. Тем не менее, одного лишь факта аспирации недостаточно для возникновения аспирационной пневмонии. В механизме развитии пневмонии играет роль количество аспирированного содержимого и его характер, число микроорганизмов, попадающих в терминальные бронхиолы, их вирулентность, состояние защитных факторов организма.

В большинстве случаев этиология аспирационных пневмоний носит полимикробный характер. Более 50% случаев аспирационной пневмонии вызывается анаэробной флорой (бактероидами, превотеллой, фузобактериями, порфиромонадами, вейлонеллами и др.); около 10% — только аэробными видами (стафилококками, гемофильной палочкой, клебсиеллой, кишечной палочкой, энтеробактериями, протеем, синегнойной палочкой); в остальных случаях – комбинированной флорой. Важным микробиологическим субстратом при развитии аспирационной пневмонии выступает присутствие в ротовой полости и верхних дыхательных путях патогенной микрофлоры при кариесе, пародонтозе, гингивите, тонзиллите и т. д.

Факторы риска

Чаще всего преморбидным фоном для аспирационных пневмоний служат:

Нарушения сознания, обусловленные различными факторами:

  • алкогольное опьянение
  • общая анестезия
  • черепно-мозговая травма
  • передозировка лекарственных средств

Заболевания периферической и центральной нервной системы:

  • миастения
  • рассеянный склероз
  • болезнь Паркинсон
  • метаболическая энцефалопатия
  • эпилепсия
  • опухоли головного мозга
  • инсульт

Заболевания, сопровождающиеся нарушением акта глотания (дисфагией) и регургитацией:

  • ахалазия кардии
  • стеноз пищевода
  • гастроэзофагеальной рефлюксной болезни
  • грыже пищеводного отверстия диафрагмы

Травмы и ятрогенные повреждения:

  • травматические и ятрогенные повреждения дыхательных путей при ранениях
  • инородных телах трахеи и бронхов
  • рвоте различного генеза
  • проведении трахеостомии, интубации
  • эндотрахеальных манипуляций.

В детском возрасте:

  • аспирация мекония
  • насильственное кормление ребенка
  • вдыхание инородных тел в бронхи

Патогенез

Сценарий развертывания событий при аспирации содержимого в трахеобронхиальное дерево может варьировать от полного отсутствия нарушений до развития респираторного дистресс-синдрома, дыхательной недостаточности и гибели пациента. Условиями, приводящими к развитию аспирационной пневмонии, служат нарушения факторов местной защиты в дыхательных путях и патологический характер аспирационных масс (количество, химические свойства и рН, степень инфицированности и пр.). Основными патогенетическими звеньями, приводящими к возникновению аспирационной пневмонии, выступают механическая обструкция дыхательных путей, острый химический пневмонит и бактериальная пневмония.

Читайте также:

 

На сколько выдается больничный лист при пневмонии

При вдыхании большого объема аспирата или крупных твердых частиц возникает механическая обструкция трахеобронхиального дерева. Возникающий при этом защитный кашлевой рефлекс способствует еще более глубокому проникновению аспирированного субстрата в бронхи и бронхиолы, что может привести к развитию отека легких. Механическая обструкция сопровождается развитием ателектазов легкого и застоем бронхиального секрета, на фоне которых увеличивается риск инфицирования легочной паренхимы.

В ответ на агрессивное воздействие аспирированного содержимого развивается острый химический пневмонит, характеризующийся выбросом биологически активных веществ, активацией системы комплемента, высвобождением факторов некроза опухолей, цитокинов и т. д. Дальнейшие патологические изменения в легочной паренхиме обусловлены ее повреждением биологически активными веществами, а не прямым действием аспирата. На фоне рефлекторного бронхоспазма, ателектаза части легкого, снижения легочной перфузии и прямого повреждения альвеол быстро развивается гипоксемия. С присоединением бактериального компонента нарастает дыхательная недостаточность, лихорадка, кашель, т. е. появляются все признаки бактериальной пневмонии. В этой стадии аспирационной пневмонии рентгенологически определяются очаги инфильтрации, нередко возникают легочные абсцессы и эмпиема плевры.

Симптомы аспирационной пневмонии

В клиническом течении аспирационная пневмония проходит этапы пневмонита, некротизирующей пневмонии, абсцедирования и эмпиемы плевры. В отличие от бактериальной легочной инфекции, клиника аспирационной пневмонии разворачивается постепенно и стерто. В течение нескольких дней после эпизода аспирации могут иметь место субфебрилитет, слабость, сухой мучительный кашель. В дальнейшем нарастают диспноэ, боли в грудной клетке, лихорадка, тахикардия, цианоз, выделение пенистой мокроты с примесью крови при кашле. Нередко, уже спустя 10-14 суток при аспирационной пневмонии возникает абсцедирование легочной ткани и эмпиема плевры. При этом появляется продуктивный кашель с выделением гнойной мокроты с гнилостным запахом, кровохарканье, ознобы.

Диагностика

На аспирационную пневмонию указывает наличие в анамнезе эпизода аспирации, подтверждаемое физикальными, рентгенологическими, эндоскопическими и микробиологическими данными. При осмотре выявляются признаки гипоксемии (одышка, цианоз, тахикардия), отставание пораженной стороны грудной клетки при дыхании, иногда — гнилостный запах изо рта. Для выяснения причин, приведших к аспирационной пневмонии, кроме осмотра пациента пульмонологом и торакальным хирургом, может потребоваться консультация гастроэнтеролога, невролога, отоларинголога.Подтверждающая диагностика включает:

  • Рентген. Рентгенография легких в 2-х проекциях позволяет определить типичную локализацию аспирационной пневмонии в так называемых зависимых сегментах легкого: задних верхнедолевых и верхних нижнедолевых сегментах (при аспирации содержимого в горизонтальном положении) или нижних долях (при нахождении пациента во время аспирации в горизонтальной позиции). Кроме этого, определяются ателектазы легкого, очаги деструкции в легочной паренхиме, скопление газа над экссудатом в полости плевры.
  • Выделение возбудителя. Важным этапом диагностики аспирационной пневмонии служит бактериологический посев мокроты на микрофлору с определением чувствительности к антибиотикам, а также бактериологическое исследование промывных вод бронхов. Поэтому с диагностической целью обычно прибегают к проведению бронхоскопии с забором мокроты, взятию промывных вод из трахеобронхиального дерева.
  • Исследование крови. Для выяснения тяжести гипоксемии при аспирационной пневмонии исследуется газовый состав крови, КОС крови. Проводится исследование биохимических показателей крови, посев крови на стерильность, на аэробные и анаэробные бактерии.

Лечение аспирационной пневмонии

При аспирации инородных тел, приводящих к обтурации просвета воздухоносных путей, показано срочное эндоскопическое удаление инородного тела из трахеи/бронха. Проводится оксигенотерапия — подача увлажненного кислорода, в тяжелых случаях – интубация и ИВЛ. Основой лечения аспирационной пневмонии служит антибактериальная терапия. При назначении противомикробных препаратов учитывается чувствительность к ним анаэробных и аэробных возбудителей. При аспирационных пневмониях обычно назначают комбинации нескольких антибактериальных препаратов (например, фторхиналонов или цефалоспоринов и метронидазола). Продолжительность курса антибактериального лечения при аспирационной пневмонии составляет 14 дней.

При наличии абсцессов в легких выполняется их дренирование, проводится вибрационный массаж, перкуторный массаж грудной клетки. При необходимости осуществляется повторная трахеальная аспирация секрета, санационные бронхоскопии и бронхоальвеолярный лаваж. К хирургическому вмешательству прибегают при организации абсцессов больших размеров (более 6 см), легочном кровотечении, образовании бронхоплевральной фистулы. При аспирационной пневмонии, осложненной эмпиемой плевры, выполняется дренирование плевральной полости, проводятся санационные промывания, введение в полость плевры антибиотиков и фибринолитиков. Возможно проведение открытого дренирования (торакостомии), плеврэктомии с декортикацией легкого.

Прогноз и профилактика

При небольших объемах аспирированного содержимого, стабильном общем фоне и своевременном грамотном лечении, прогноз при аспирационной пневмонии не вызывает опасений. В случае развития массивного пневмонита, легочных абсцессов, эмпиемы плевры, бронхоплевральных свищей, сепсиса – прогноз крайне серьезен. Летальность при осложненном течении аспирационных пневмоний составляет 22%.

Учитывая высокий риск аспирационной пневмонии среди лиц, страдающих заболеваниями нервной и пищеварительной систем, необходимо проводить лечение основного патологического состояния. Пациентам с дисфагией и склонностью к аспирации рекомендуется дробное питание и щадящая диета. Для профилактики рефлюкса у пациентов с дисфагией, тяжелобольных и послеоперационных пациентов необходимо приподнимать головной конец кровати под углом 30-45°. Особое внимание следует уделять пациентам, находящимся на ИВЛ, зондовом питании. Большую роль в предупреждении аспирационных пневмоний играет гигиена и своевременная санация полости рта, регулярное посещение стоматолога.

Ссылка на основную публикацию
Похожее