whatsapp telegram vkontakte email

Сколько длится острый приступ подагры

Из этой статьи вы узнаете о приступе подагры: какие факторы его провоцируют, характерные симптомы, на ноге. Сколько длится приступ, как его лечат, чем снять боль, что делать в домашних условиях.

Стоянова Виктория

Автор статьи: Стоянова Виктория, врач 2 категории, заведующая лабораторией в лечебно-диагностическом центре (2015–2016 гг.).

Дата публикации статьи: 01.06.2019

Дата обновления статьи: 18.01.2020

Содержание статьи:

  • Причины приступа
  • Характерные симптомы
  • Диагностика
  • Как можно снять приступ подагры
  • Профилактика дальнейших обострений
  • Прогноз
  • Первоисточники информации, научные материалы по теме

Накопление кристаллов мочевой кислоты в суставах приводит к развитию подагрических приступов с интенсивным болевым синдромом.

Накопление и отложение мочевой кислоты в суставе при подагре. Нажмите на фото для увеличения

накопление и отложение мочевой кислоты в суставе при подагре

Подагрический приступ связан с:

  • повреждением мягких тканей и хрящей сустава;
  • развитием острого воспаления (например, при артрите);
  • ограничением движения в суставе.

Подагрическими приступами чаще страдают мужчины в возрасте после 40 лет при погрешностях в диете – переедании мясной пищи, злоупотреблении алкоголем.

Подагра – хроническое заболевание, частые приступы ведут к потере трудоспособности вследствие нарушения функции суставов и развития его неподвижности (анкилоза).

Наблюдением и лечением болезни занимается ревматолог. При первичном возникновении приступа необходимо обратиться к терапевту для уточнения диагноза и направления на консультацию узкого специалиста, который посоветует, как снять приступ подагры.

Причины приступа

Чаще всего обострение появляется ночью. Оно может возникать без видимой причины.

Однако риск его развития повышается после употребления:

  • алкоголя;
  • большого количества пищи, содержащей много пуринов, – красного мяса, шоколада, какао, чая, кофе;
  • продуктов, в составе которых избыток щавелевой кислоты, – щавеля, шпината, ревеня, редиса, баклажан, спаржи, зеленого лука, свеклы.

В зависимости от того, как часто возникают приступы, выделяют несколько степеней тяжести подагры:

Степень Частота приступов, количество пораженных суставов

Легкая

1–2 раза в год

1 или 2 сустава

Среднетяжелая

1 раз в 3–4 месяца

От 2 до 4 суставов

Тяжелая

1 раз в 3 месяца и чаще

4 сустава – серьезные патологические изменения даже вне обострений

Тяжелая форма подагры

тяжелая форма подагры

Характерные симптомы

Преимущественно от заболевания страдает плюснефаланговый сустав большого пальца на ноге. Первый приступ будет именно с поражением этого сустава.

Нажмите на фото для увеличения

пораженный сустав большого пальца ноги

Однако со временем патология может распространиться и на другие суставы (подтаранные, межфаланговые, голеностопные, коленные).

Обострение возникает внезапно, часто это происходит ночью. Оно проявляется такими признаками в области больного сустава:

  1. Резкая невыносимая боль.
  2. Припухлость.
  3. Отечность.
  4. Краснота кожи.

Острый приступ может продолжаться до 10 дней без лечения. При правильной терапии он длится меньше 3–7 дней.

Диагностика

Если приступ развился впервые, то человек может еще не знать, в чем дело.

При обращении к врачу нужно будет подробно описать свои симптомы, а также пройти обследование:

  • общий анализ крови – вследствие развития воспаления идет повышение уровня лейкоцитов;
  • биохимический анализ крови – при подагрической болезни повышается уровень фибрина, мочевой кислоты, сиаловых кислот, гамма- и альфа-2-глобулинов);
  • рентгенографию – поможет обнаружить патологические процессы в суставе;
  • пункцию сустава с последующим микроскопическим анализом синовиальной жидкости – позволяет выявить в ней кристаллы урата натрия.

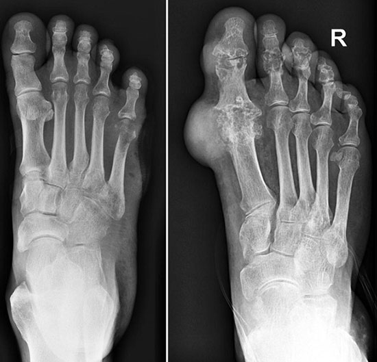
Рентген здоровой ступни (слева на фото) и пораженной подагрой (справа)

рентген здоровой ступни и пораженной подагрой

Как можно снять приступ подагры

Что делать, если сустав на ноге опух, как снять боль при подагре? Первая помощь заключается в немедленном обращении к врачу.

В связи с тем, что обострение чаще всего застает человека в ночное время, лучше всего вызвать скорую.

Симптомы и лечение острой формы подагры взаимосвязаны. Терапевтические меры направлены на избавление от болевых ощущений, отека и снятие воспаления.

Комплексное лечение состоит из:

  • приема препаратов;
  • физиотерапии;
  • диеты;
  • постельного режима;
  • народных средств.

1. Лекарства

Медикаментозное лечение включает:

  1. Колхицин – препарат, специально предназначенный для лечения подагры. Он действенно снимает воспаление, воздействуя непосредственно на механизмы его возникновения. Средство угнетает гранулоциты – иммунные клетки, которые пытаются бороться в суставе с кристаллами уратов, провоцируя тем самым воспалительный процесс.
  2. Нестероидные препараты с противовоспалительным эффектом (НПВП) – снимают воспаление за счет блокирования циклооксигеназы – фермента, который участвует в развитии воспалительного процесса. Также обладают обезболивающим действием.

    Препараты из этой группы выпускаются в таблетках и уколах. Для снятия приступа подагры используют Мелоксикам, Диклофенак.

  3. Нажмите на фото для увеличения

    НПВП, которые содержат салицилаты (Аспирин, Дифлунизал), противопоказаны, так как могут только усугубить ситуацию.

  4. Кортикостероиды – гормональные препараты, обладающие мощным противовоспалительным действием. При подагре эффективно их применение в виде мазей, кремов, гелей. (Флуцинар, Бетаметазон).
  5. Нажмите на фото для увеличения

    Инъекции внутрь сустава применяются в крайних случаях – когда другие способы не помогли снять воспаление.

  6. Препараты для местного использования – мази с НПВП в составе (Вольтарен, Фастум-гель), Финалгон, Фулфлекс и другие. Они помогают снять болевые ощущения и отечность.
  7. Нажмите на фото для увеличения

мази Вольтарен, Фастум-гель, Финалгон и Фулфлексмази Флуцинар и Бетаметазонпрепараты Мелоксикам и Диклофенакпрепарат Колхицин

Читайте также:

 

Подагра и полиартрит что общего

2. Физиотерапия

Из физиотерапевтических процедур применяют:

  • УВЧ – воздействие на организм высокочастотного магнитного поля для усиления кровотока и лимфотока, активизации иммунной системы, снятия воспаления;
  • ультрафиолетовое облучение – применение ультрафиолетовых лучей для усиления тока крови, нормализации обмена веществ в клетках, стимуляции иммунитета;
  • электрофорез с калием и литием – введение лекарственных веществ с помощью электрического тока для улучшения питания тканей;
  • импульсные токи – лечение импульсами тока для устранения боли, воспаления, улучшения кровотока;
  • компрессы с димексидом – препарат помещают в сложенную в 4 раза марлю, компресс накладывают на больной сустав на 20–30 минут ежедневно в течение 10–15 дней.

Курс лечения длится до выздоровления, и еще процедуры продолжатся 2 дня после.

Процедура электрофореза

процедура электрофореза

3. Диета

Чтобы поскорее снять воспаление, нужно пить много воды (1,5–2 л в сутки, если нет почечной или сердечной недостаточности). Желательно пить минеральную щелочную воду, так как она поможет нормализовать в организме кислотно-щелочной баланс (Боржоми, Ессентуки № 4 и 17, Лужанская). Также можно пить и любые другие напитки, кроме кофе, чая и какао.

Что можно и нужно есть Следует отказаться от продуктов, которые усугубляют проблемы с обменом веществ при подагре

Овощи: свежие, тушеные, отварные

Жирная рыба

Овощные супы

Красное мясо

Каши

Щавель

Фрукты

Шпинат

Шоколад

Ревень

Баклажаны

Редис

Свекла

Спаржа

Копчености

Консервы

Алкоголь (в особенности красное вино) категорически противопоказан

Эта же диета рекомендована и в периоды ремиссии.

4. Постельный режим

Больному рекомендован покой. Больную ногу (чаще всего сустав воспаляется на ноге) нельзя сильно нагружать. Желательно во время лежания подложить под нее подушку или валик, чтобы она была на возвышенности. Это поспособствует снятию отека.

5. Народные средства

Подагрический приступ лечить самостоятельно в домашних условиях лучше не пытаться – обострение пройдет, но само заболевание останется.

Домашние средства используются как дополнение к традиционным методам. Для снятия болей и отека эффективны:

  1. Компрессы из прополиса. Измельчите 50 г прополиса, поместите в термос и залейте 0,5 л кипятка. Оставьте настояться на сутки. Смочите сложенную в несколько раз марлю в приготовленной настойке и наложите на больной сустав. Держите компресс 15–20 минут. Делайте 2 раза в день. Прополис помогает снимать воспаление, отечность и боль.
  2. Ванночки из ромашки. Залейте 50 г растения 5 л горячей воды. Подождите, пока заварится. Дождитесь, когда вода будет комнатной температуры, так как греть больной сустав категорически запрещено. Поместите ногу в ванночку и подержите там 20 минут. Ромашка оказывает противовоспалительное действие.
  3. Отвар из череды. Залейте 20 г растительного сырья 1 стаканом воды. Поставьте на огонь, доведите до кипения и держите еще 15 минут. Пейте по 1 ст. л. 3 раза в день после еды. Череда снимает воспаление и способствует нормализации обмена веществ.

Перед применением любого народного средства проконсультируйтесь с лечащим врачом.

Прополис и настойка из него

настойка прополиса

Профилактика дальнейших обострений

Чтобы избежать приступов, соблюдайте такие правила:

  • придерживайтесь диеты;
  • полностью откажитесь от алкоголя;
  • не забывайте принимать препараты, которые выписал врач для постоянного лечения подагры.

Прогноз

Чем чаще обострения – тем хуже прогноз.

Тяжелая подагра может оказаться летальной, так как воспаленность суставов на ее фоне – лишь одно из проявлений. Производные мочевой кислоты в виде кристаллов откладываются и на внутренних органах, что приводит к осложнениям со стороны сердечно-сосудистой и выделительной систем.

Из-за подагры способна развиться острая недостаточность левого желудочка, инфаркт миокарда, хроническая почечная недостаточность. Все перечисленные патологии могут стать фатальными.

Чтобы не допускать настолько тяжелой, опасной для жизни стадии подагры, нужно вовремя лечить приступы, а также строго соблюдать все правила, рекомендованные врачом, в периоды ремиссии.

Подагра в легкой форме имеет более благоприятный прогноз. Если начать лечение при первом же приступе, то можно добиться стойкой ремиссии на годы.

Первоисточники информации, научные материалы по теме

  • Подагра. Клинические рекомендации. Ассоциация ревматологов России, 2016.
    https://pharm-spb.ru/docs/lit/Revmatologia_Rekomendazii%20po%20diagnostike%20i%20lecheniyu%20podagry%20(ARR,%202014).pdf
  • Стандарты лечения подагры. Барскова В. Г.
    https://cyberleninka.ru/article/n/standarty-lecheniya-podagry-rekomendatsii-eular
  • Царев В. П. Внутренние болезни – 2013.
  • Противовоспалительная терапия острого и хронического подагрического артрита. Барскова В. Г., Якунина И. А., Consilium medicum, 2005, № 2 (7), стр. 103–106.
  • Как быстро помочь больному с подагрическим артритом и не совершить ошибок (рекомендации практикующему врачу. Барскова В. Г. Русский медицинский журнал.
    https://www.rmj.ru/articles/revmatologiya/Kak_bystro_pomochy_bolynomu_s_podagricheskim_artritom_i_ne_sovershity_oshibok_rekomendacii_praktikuyuschemu_vrachu/#ixzz5l50tDfCb
  • Обновленные рекомендации EULAR по лечению подагры. 2016 updated EULAR evidence-based recommendations for the management of gout.
    https://ard.bmj.com/content/76/1/29

Загрузка…

Приступ подагры с воспалением суставов является единственным клиническим проявлением острой формы заболевания. Длительность и интенсивность атаки помогают установить стадию и тяжесть поражения.

Чаще наблюдается поражение одного сочленения нижней конечности, причем у половины пациентов это оказывается большой палец стопы. Реже в патологический процесс вовлекаются локти и лучезапястные кости с кистями рук. Разрушения и деформации хрящевой ткани после приступа не возникает.

Читайте также:

 

Примерное семидневное меню при подагре

Постельный режим

Причины обострения подагры

Увеличение уровня мочевой кислоты в плазме выше 0,42–0,50 ммоль/л у мужчин и 0,36 ммоль/л у женщин считается патологией. С подобным явлением чаще сталкиваются представители сильного пола хорошего сложения и излишнего питания, но телесно недеятельные. Острый подагрический артрит может обнаружиться и у прекрасной половины человечества, но только в климактерический период.

Непосредственной причиной острого приступа становится накопление уратов в области сустава. Кристаллизуясь, игловидные соединения быстро формируют микротофусы и оседают на поверхности хряща и в синовии.

Под влиянием резких колебаний мочевой кислоты в крови подагрические узелки разрушаются и высвобождают кристаллы, которые проникают в полость сочленения и вызывают воспаление. Провокатором подобных нарушений чаще всего становится уменьшение концентрации уратов.

Острый приступ подагры редко возникает у людей молодого возраста и подростков. Болезнь может много лет прогрессировать незамеченной, и активизироваться лишь к 40 годам.

Симптомы приступа

Первое описание недуга сделал английский врач Томас Сиденхем еще в конце XVII века. За прошедшие годы симптомы болезни ничуть не изменились. Правда, в последнее время заметно пополнились знания о биохимии подагры, причинах, симптомах и лечении, пересмотрены предельные значения, выше которых происходит кристаллизация уратов.

Классическая картина подагрической атаки имеет следующие типичные черты:

  1. Внезапное начало ночью или под утро, возможно, из-за перенасыщения синовия солями натрия на фоне замедления диффузии уратов в моноуратов натрия.
  2. Для боли характерна очень высокая интенсивность, присутствует синдром «простыни».
  3. Быстрое усиление симптоматики, достигающей максимума через 6–10 часов. Вокруг косточки большого пальца появляется эритема и сильная опухоль, повышается местная температура. Кожа над суставом натягивается и приобретает глянцевый блеск.
  4. Воспаление может перекинуться на периартикулярные структуры, формирую симптоматику, близкую к флегмоне или флебиту.
  5. Наблюдается значительное ограничение движений.
  6. Полное самопроизвольное угасание болезни.

Подобная клиническая картина может возникать и при других патологиях сустава, однако наличие таких признаков, как резкая болезненность вкупе с опухолью и эритемой заставляет подозревать именно острый артрит.

Неотложная помощь при приступе

Первое воспаление подагры требует обязательного обращения к доктору. А можно ли помочь себе до прихода врача?

При остром приступе подагры необходимо соблюдать постельный режим.

Первое, что следует сделать пациенту — лечь в постель и максимально ограничить движения, причиняющие дискомфорт. Больную конечность необходимо положить на возвышенность (подушку или свернутое одеяло). Ни в коем случае не следует пытаться шевелить суставом или преодолевать неподвижность.

При резких болях можно приложить к воспаленному месту лед на 10–15 минут. Прогревать сочленение нежелательно — тепло способно усилить отек и дискомфорт. Именно поэтому в первые часы атаки нельзя делать спиртовые компрессы или укутывать конечность в шерстяные вещи.

Как снять боль во время атаки?

Для быстрого купирования острого артрита рекомендуется принять НПВП и/или колхицин. К лечению следует приступать как можно раньше, желательно в первые минуты атаки. При этом очень важно расслабиться и не думать о плохом. Дело в том, что излишний стресс способен усилить обострение подагры.

Прием медикаментозных препаратов необходим до полного исчезновения симптомов воспаления. Отсутствие грамотной терапии или недостаточное лечение, а также самовольный выбор препаратов может привести к затяжному течению болезни.

К тому же, чем дольше недуг остается без внимания, тем чаще и сильнее он рецидивирует.

Уколы и медикаменты

Сегодня существует огромное количество подобных препаратов. Некоторые из них помогают моментально, но их влияние заканчивается уже через 3–4 часа. Другие, пролонгированные формы НПВП, работают весь день, но имеют больше противопоказаний и побочных явлений. Узнать такие лекарства можно по приставке «ретард» к наименованию.

При подагрической атаке чаще всего назначают следующие противовоспалительные средства в таблетках и уколах:

  • Ортофен;
  • Найз;
  • Кетанов;
  • Кеторолак;
  • Индометацин;
  • Нимесулид;
  • Кеторол;
  • Напроксен;
  • Ибупрофен.

Эти лекарства действуют недолго, поэтому принимать их рекомендуется 3 раза в сутки.

Для длительного применения

Среди препаратов длительного влияния наибольшую эффективность показали Сулиндак, Денебол, Пироксикам, Кетопрофен, Целебрекс. Эти медикаменты можно употреблять всего раз в сутки.

Особое место среди противовоспалительных средств занимает Аэртал. Препарат обладает минимум противопоказаний, хорошо всасывается в ЖКТ и быстро выводится из организма. Предназначен для длительного применения.

Одновременно с НПВП или вместо них можно принимать Колхицин. Средство отлично устраняет боль, но имеет много побочных реакций и подходит не всем. Препаратом не желательно лечить больных с серьезными поражениями сердца, сосудов, почек и ЖКТ, поскольку он увеличивает риск нежелательных эффектов.

В редких случаях колхицин назначают внутривенно. Такое введение зачастую приводит к тяжелейшим токсическим реакциям — судорогам, сердечной и почечной недостаточности, гипокальциемии.

Глюкокортикоиды используют при наличии противопоказаний к применению Колхицина и НПВС. При сильных болях практикуют внутрисуставные уколы Метилпреднизолона, Преднизолона, Бетаметазона или Триамцинолона.

Читайте также:

 

Как снять отек при подагре народными средствами

Народные средства

Снять проявления острого приступа поможет обычная рыба. Причем народные целители гарантируют избавление от боли всего за несколько дней.

Сам процесс лечения заключается в следующем:

  1. Нужно взять 1 кг филе и разделить на 10 равных частей.
  2. Полученные кусочки завернуть в полиэтилен и убрать в морозильную камеру.
  3. Вечером перед сном оттаять порцию рыбы и наложить на пораженный сустав. Сверху накрыть полиэтиленом и закрепить повязкой. Оставить на ночь.

Хорошо останавливают приступ подагры контрастные ванночки. Терапия заключается в поочередном опускании пораженного сустава в емкость с теплой и ледяной водой.

Справиться с острой атакой в домашних условиях поможет несоленой свиное сало. Мороженый продукт нарезают тонкими ломтиками и прикладывают к воспаленному суставу. После того как кусочек размягчится, его заменяют новым. Процедуры проводят несколько раз в день, пока не пройдет боль и отек.

Еще один эффективный способ побороть приступ — отвар лаврового листа. Снадобье хорошо выводит соли и быстро купирует болевой синдром. Для его приготовления ½ пачки пряности заливают 600 мл воды и кипятят 5 минут. Настаивают и употребляют по 1 стакану в день. Лечение продолжают до тех пор, пока сустав не приобретет нормальный вид.

Как предотвратить приступ подагры

Подагра — болезнь серьезная и коварная, но при соблюдении определенных рекомендаций можно рассчитывать на мирное сосуществование с ней. Для предотвращения острых атак следует соблюдать диету, больше пить, вести здоровый образ жизни и не забывать о базисном лечении противоподагрическими препаратами.

К сожалению, многие больные после устранения острой симптоматики прекращают прием лекарств или употребляют их нерегулярно и возвращаются к прежнему образу жизни, что только усугубляет течение недуга. Поэтому пациенту очень важно понять, что остановив острый приступ — он не вылечился, а лишь получил передышку.

Диета и питание

Диета при подагре

Подагра часто настигает тех, кто злоупотребляет мясными и жирными блюдами, увлекается алкоголем, особенно пивом, не признает ограничений в еде. Поэтому из рациона необходимо исключить все блюда, содержащие  большое количество пуринов:

  • красное мясо, колбасы, сало;
  • бобовые;
  • студни;
  • насыщенные бульоны;
  • субпродукты;
  • копчености;
  • консервы и полуфабрикаты;
  • лакомства и изделия из сдобного теста.

Людям, страдающим от подагры, противопоказана жирная, соленая и пряная рыба, соленые сыры, соусы и приправы. Следует избегать блюд из щавеля, редьки, редиса и репы. Запрещается алкоголь в любом виде.

Что же можно есть? Рекомендуется употреблять овощи и фрукты, зерновые, молочнокислые продукты, каши, вегетарианские супы, изредка рыбу и белое мясо, яйца. Из напитков следует предпочесть зеленый чай, компот без сахара, клюквенный или брусничный морс, отвар овса. Морс из клюквы нормализует pH организма и улучшает выведение уратов.

Ответы на вопросы

Что вызывает приступ подагры?

Подагра считается болезнью образа жизни. Спровоцировать очередную атаку может переедание, прием алкоголя, эмоциональное перенапряжение и прочие «излишества». Особенно часто приводит к обострению неумеренное поглощение мясных и жирных блюд, колбас и копченостей.

Другие предрасполагающие факторы:

  • травма сустава, вызывающая внутренний отек;
  • хирургическое вмешательство;
  • строгая диета, голодание;
  • резкое переохлаждение;
  • прием диуретиков или цитостатиков.

Примерно у 30–40% больных подагрой при госпитализации развивается острый артрит. Причиной в данном случае становится стресс, назначение новых медикаментов, смена привычного образа жизни.

Острая атака может возникнуть и в начале терапии Аллопуринолом или другими противоподагрическими средствами, а также во время приема низких доз ацетилсалициловой кислоты — например, в период простуды или для борьбы с бляшками артерий.

Сколько длится приступ подагры?

Обычная продолжительность атаки — 3–4 дня, иногда больше. Затем симптоматика начинает медленно уменьшаться и приходит в норму на 8–10 сутки. Если подагру не лечить, приступ может продлиться 12–14 дней.

Выздоровление часто сопровождается зудом и шелушением кожи в области пораженного сочленения. На ногте появляется глубокая борозда, указывающая на время приступа, постепенно приходит в норму уровень уратов в крови.

Влияет ли подагра на зачатие ребенка?

Подагра и беременность — не такое уж редкое, сочетание, как принято думать. Многочисленные клинические случаи не показывают снижения плодовитости женщин, страдающих уратным расстройством, хотя оно было бы ожидаемым в отношении этой категории пациенток.

Барышни с подагрой точно так же беременеют и успешно вынашивают ребенка. Более того, будущие мамы нередко отмечают урежение атак острого артрита или полное исчезновение неприятной симптоматики.

Заключение

Локализация приступа подагры не означает совершенного выздоровления. Излечиться от уратного расстройства невозможно. Грамотная терапия способна лишь облегчить течение недуга и на время устранить мучительные боли. Поэтому пациенту следует настроиться на долгую и тяжелую борьбу с недомоганием.

Ссылка на основную публикацию
Похожее