whatsapp telegram vkontakte email

Стрептококк пневмонии в горле лечение

Стрептококк пневмонии в горле лечение

Streptococcus pneumoniae (стрептококк пневмония, пневмококк) – условно-патогенный микроорганизм, являющийся естественным обитателем органов дыхания человека и локализующийся преимущественно в носовой полости, глотке, бронхолегочном аппарате и других органах. Пневмококк вызывает развитие воспалительного процесса лишь при определенных негативных условиях, ослабляющих иммунную защиту и снижающих общую резистентность организма.

Streptococcus pneumoniae – возбудитель лобарной пневмонии, фарингита, тонзиллита, ринита, синусита, среднего отита. Стрептококк пневмония может расти и размножаться в бескислородных условиях. Проникая в системный кровоток, микроб разносится по всему организму, вызывая вторичное инфицирование внутренних органов — мозговых оболочек, суставов, костей, эндокарда, брюшины, подкожно-жировой клетчатки. Пик заболеваемости пневмококковой инфекцией приходится на осенний и весенний период, когда воздух становится достаточно теплым и увлажненным.

Патологические процессы, обусловленные стрептококком пневмония, чаще диагностируются у детей. Это связано с особенностями строения и физиологии органов дыхания, а также несовершенной иммунной системой. Streptococcus pneumoniae – пневмотропный микроорганизм, вызывающий тяжелые бронхолегочные заболевания у пожилых людей и лиц с ослабленным иммунитетом. Микроб может вызывает развитие гнойных осложнений.

Пневмококковая пневмония – опасное заболевание, являющееся следствием воспалительных процессов в других органах дыхательной системы. Напрямую в легочную ткань микроб попадает крайне редко. Воспаление легких пневмококковой этиологии отличается высокими показателями смертности детей во всем мире. Альвеолы легких теряют воздушность и заполняются гнойным экссудатом. В результате у больных возникает одышка, кашель и лихорадка, дыхание становится учащенным и затрудненным, грудная клетка втягивается на вдохе. Стрептококковая пневмония отличается стремительным развитием. Раннее обращение пациентов к врачу не позволяет патологии трансформироваться в запущенную форму благодаря своевременно начатому лечению. В крайне редких случаях пневмококковое воспаление протекает бессимптомно.

Диагностика патологии, вызванной Streptococcus pneumoniae, основывается на данных, полученных в ходе микробиологического исследования мокроты, крови, плеврального экссудата. Рентгенографическое или томографическое исследование легких позволяет подтвердить диагноз пневмонии. Всем больным показано этиотропное противомикробное лечение антибиотиками из группы пенициллинов, макролидов, аминогликозидов, цефалоспоринов.

Этиология

Streptococcus pneumoniae впервые был выделен Пастером в 1881 году. Френкель и Вайхзельбаум спустя три года доказали роль этого микроорганизма в этиологии бактериального воспаления легких.

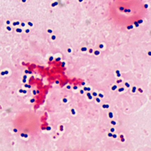
  • Streptococcus pneumoniae под микроскопом

    Морфология. Streptococcus pneumoniae — бактерии сферической или продолговатой формы, образующие пары. Эти диплококки неподвижны и аспорогенны. Клеточная стенка пневмококка имеет в своем составе пептидогликан, углеводы, тейхоевые кислоты, липопротеины, поверхностные белки. Мощная полисахаридная капсула защищает бактерии от фагоцитоза.

  • Тинкториальные свойства. Streptococcus pneumoniae окрашиваются по Грамму в синий цвет. В мазке из биоматериала имеют ланцетовидную форму и попарное расположение. Колонии, полученные в лабораторных условиях искусственным путем, состоят из округлых бактерий, расположенных короткими цепочками.
  • Физиологические свойства. Streptococcus pneumoniae свободно растут и развиваются как в присутствии кислорода, так и в бескислородных условиях. Они размножаются путем митотического деления и наследуют генетический набор хромосом от родительской клетки. Бактерии не устойчивы в окружающей среде и быстро погибают при нагревании до 60 градусов, воздействии дезинфицирующих и антибактериальных средств, а также желчи и оптохина. Эти вещества широко применяются для идентификации бактерий. Микробы сохраняют жизнеспособность при замораживании и высыхании. Чем дольше они находятся во внешней среде, тем менее выраженными становятся их болезнетворные свойства.
  • Культуральные свойства. Streptococcus pneumoniae требователен к питательным средам. Для выращивания бактерий в лабораторных условиях требуется высокая концентрация углекислоты. Растут они исключительно на специальных средах, содержащих компоненты крови. Эти вещества Streptococcus pneumoniae используют в качестве источника энергии. Инкубируют посевы в термостате при 37 °С, хотя бактерии способны расти и в более широком диапазоне температур. На кровяном агаре спустя сутки образуются полупрозрачные сероватые очень мелкие колонии с зеленящим гемолизом по периферии. В бульонеStreptococcus pneumoniae растут в виде диффузной мути и осадка на дне пробирки.
  • Биохимия. Streptococcus pneumoniae являются каталазо- и оксидазоотрицательными. Они ферментируют лактозу, аргинин, раффинозу и трегалозу.
  • Антигены. Streptococcus pneumoniae имеют соматический и капсульный антигены.
  • К факторам патогенности относится капсула, М-белок клеточной стенки, эндотоксин, ферменты. Они обеспечивают адгезию на эпителии слизистой оболочки, инвазию в эпителиоциты, подавление фагоцитоза, развитие воспаления.

3758478578788

Эпидемиология

Streptococcus pneumoniae обнаруживают на объектах внешней среды и в организме теплокровных животных. Этот микроб является нормальным обитателем различных локусов человеческого организма. В норме его количество не должно превышать 10 в 5 степени микробных клеток.

Заражение здоровых людей происходит в результате контакта с больными лицами или бессимптомными носителями. Бактерионосители сами не страдают недугом, но заражают окружающих и считаются опасными в эпидотношении.

Распространение инфекции происходит следующими путями:

  1. Воздушно-капельным — при кашле или чихании, общении с больным,
  2. Аспирационным — из носа или горла в легкие при дыхании,
  3. Контактным – через грязные руки при непосредственном контакте: поцелуе, рукопожатии, объятии,
  4. Алиментарным — через обсемененные продукты питания,
  5. Гематогенным или лимфогенным — из первичного очага по всему организму,
  6. Трансплацентарным — от матери плоду,
  7. Вертикальным — заражении новорожденных при прохождении через родовые пути матери.

48645869849

Группу риска по пневмококковой инфекции составляют:

  • Дети,
  • Пожилые люди,
  • Лица, перенесшие корь, грипп, ветряную оспу или коклюш,
  • Алкоголики,
  • Пациенты, имеющие хронические соматические заболевания.

Факторы, провоцирующие развитие патологии:

  1. Стрессы,
  2. Переохлаждения,
  3. Иммунодефицитные состояния,
  4. Тяжелые заболевания – анемия, миеломная болезнь, сахарный диабет,
  5. Состояния после хирургических вмешательств,
  6. Длительная и бесконтрольная антибиотикотерапия,
  7. Лечение цитостатиками или гормонами,
  8. Физическое перенапряжение,
  9. Сложная экологическая обстановка.

Патогенез

Патогенетические звенья пневмококкового воспаления легких:

  • Воздействие провоцирующего фактора,
  • Снижение иммунной защиты,
  • Проникновение бактерий в организм,
  • Фиксация их на эпителии респираторного тракта,
  • Размножение микробов в эпителиоцитах,
  • Выработка бактериями белка, подавляющего иммунные клетки,
  • Развитие местного воспаления,
  • Образование язв и очагов некроза на слизистой трахеи и бронхов,
  • Секреция геморрагического экссудата,
  • Распространение инфекции в бронхолегочный аппарат,
  • Поражение плевральной зоны и скопление гнойного экссудата в плевральной полости,
  • Появление очагов воспаления в легких,
  • Поражение межальвеолярных перегородок,
  • Слияние мелких очагов,
  • Развитие долевой пневмонии,
  • Отек легочной ткани,
  • Нарушение продвижения воздуха по дыхательным путям,
  • Развитие дыхательной недостаточности,
  • Гипоксия и сердечная дисфункция,
  • Гематогенная диссеминация возбудителя из первичного очага в перикард, мозговые оболочки, суставы.

Читайте также:

 

У кошки температура при пневмонии

Симптоматика

Симптоматика заболеваний, вызванных Streptococcus pneumoniae, зависит от локализации очага поражения. У детей чаще всего патология развивается в носу, горле, легких.

84984958989949

  1. Ринит проявляется обильными слизисто-гнойными выделениями, стойким субфебрилитетом, ухудшением общего самочувствия, раздражительностью, потерей аппетита.
  2. Фарингит вызывает массу проблем: боль в горле, беспокойство при глотании, отказ от еды, вялость, регионарный лимфаденит, покашливания, осиплость голоса. ЛОР-врач, обследуя больного, обнаруживает гиперемию глотки, точечные геморрагии, отечные миндалины с рыхлым налетом, увеличение лимфоузлов.
  3. При воспалении слизистой зева развивается ангина. У больных увеличиваются миндалины и покрываются гнойным налетом, который легко снимается шпателем. Поднимается температура тела, возникает нестерпимая боль при глотании, озноб, слабость, миалгия, цефалгия, недомогание, затрудняется дыхание.
  4. Пневмококковое воспаление легких проявляется резких подъемом температуры до фебрильных значений, сотрясающим ознобом, одышкой, гипергидрозом, прочими признаками астенизации и интоксикации. У лихорадящих больных появляется мучительный кашель с густой гнойной мокротой. Одна половина грудной клетки заметно отстает при дыхании, кожа бледнеет, появляется акроцианоз. Боль в груди, диспепсия, приступы удушья, сыпь на коже, аритмия, помрачение сознания – признаки развившихся осложнений.
  5. Острый гнойный отит, вызванное Streptococcus pneumoniae, проявляется шумом в ушах, ощущением заложенности ушей, резкой болью в ухе, снижением слуха, признаками интоксикации, гнойным отделяемым из слухового прохода.
  6. Гнойный пневмококковый менингит — грозное заболевание, приводящее к инвалидизации и смерти больных. У них возникает цефалгия, неукротимая рвота, лихорадка, дезориентация, ригидность затылочных мышц, судороги, параличи и парезы, обмороки.
  7. Пневмококковый сепсис проявляется интоксикацией, лихорадкой, тахикардией, гипотонией, цианозом, одышкой, сыпью на коже и слизистых, помрачением сознания, заторможенностью или гипервозбудимостью.

Обнаружение микробов

Диагностика заболеваний, вызванных Streptococcus pneumoniae, вызывает определенные трудности у специалистов. Они связаны с особенностями строения микробной клетки, биохимическими свойствами возбудителя, стремительным развитием патологического процесса, острым началом и короткой инкубацией, а также недостаточным уровнем знаний в области современных диагностических методов.

Микробиологическое исследование материала от больного позволяет определить этиологию заболевания. Для этого в бактериологическую лабораторию доставляют биоматериал: при рините — выделения из носа, при фарингите — отделяемое слизистой зева, при ангине — мазок с миндалин, при пневмонии — мокроту, при плеврите — плевральный экссудат. При подозрении на генерализацию инфекции и появление септических очагов в организме исследуют кровь и ликвор.

89898989999887

  • Первый этап — изучение биоматериала под микроскопом после его окрашивания и фиксации. Streptococcus pneumoniae — грампозитивные кокки слегка продолговатой формы, расположенные парами или цепочками и окруженные микрокапсулой.
  • Затем засевают материал на кровяной агар для первичной идентификации и сахарный бульон для накопления культуры, инкубируют 24 часа.
  • На следующий день просматривают чашки и изучают характер роста. На кровяном агаре растут мелкие, прозрачные с сероватым оттенком колонии, окруженные зоной зеленящего гемолиза. В сахарном бульоне обнаруживают рост в виде диффузной мути и легкого осадка.
  • Для постановки специальных тестов чистую культуру накапливают на скошенном кровяном или сывороточном агаре. Streptococcus pneumoniae не растет в присутствии оптохина и желчи, ферментирует инулин.
  • На основании полученных в ходе исследования данных выделенный микроб относят к виду Streptococcus pneumoniae. Затем определяют его чувствительность к антибиотикам и фагам.

Биопроба на лабораторных мышах — метод выделения чистой культуры возбудителя. Из мокроты, ликвора или другого биоматериала готовят взвесь с помощью физраствора. Надосадочную жидкость вводят белым мышам интраперитонеально. Если мыши погибают в течение 3 суток, готовят мазки-отпечатки из органов и крови, а затем делают вывод об этиологической роли Streptococcus pneumoniae в данной патологии.

Серологическое исследование заключается в выявлении в крови больного антител к Streptococcus pneumoniae. К экспресс-методам относятся латекс–агглютинация и ИФА.

ПЦР-диагностика позволяет поставить диагноз в кратчайшие сроки. Этот быстрый и универсальный диагностический метод направлен на выявление генетического материала Streptococcus pneumoniae в исследуемом образце.

Общетерапевтические мероприятия

Чтобы избавиться от патологии и ее основных проявлений, необходимо воздействовать на причинные факторы, а именно уничтожить бактерии. Для этого больным назначают противомикробные препараты — антибиотики. Патогенетическое лечение направлено на дезинтоксикацию и коррекцию водно-электролитного баланса. Симптоматическая терапия — применение жаропонижающих, антигистаминных, местных антисептических средств. Дополнительно проводят лечение иммуномодуляторами и иммуностимуляторами.

Лихорадящим больным показан строгий постельный режим, обильное питье для выведения токсинов и правильное питание — исключение грубой и термически раздражающей пищи, преобладание в рационе пюре, разваренных каш, молочной продукции. Переход к традиционному питанию возможен только после снятия острых симптомов инфекции.

  1. Антибактериальное лечение проводится препаратами из группы пенициллинов – «Амоксиклав», «Аугментин», аминогликозидов – «Стрептомицин», «Канамицин», макролидов – «Азитромицин», «Кларитромицин», цефалоспоринов – «Цефалексин», «Цефтазидим» с учетом результата теста на чувствительность.
  2. Противомикробным действием обладает также «Бактериофаг стрептококковый». Он вызывает лизис бактерий, не нарушая естественной микрофлоры организма.
  3. Дезинтоксикация и дегидратация — внутривенное введение коллоидных и кристаллоидных растворов.
  4. Диуретики для выведения из организма токсинов с мочой и снятия интоксикации – «Верошпирон», «Диакарб», «Маннитол».
  5. Для профилактики дисбактериоза кишечника, обусловленного применением синтетических препаратов, требуется прием пре- и пробиотиков – «Линекса», «Ацепола», «Бифиформа» и их аналогов.
  6. Для уменьшения отечности слизистой и устранения зуда показано применение антигистаминных средств – «Супрастина», «Зодака», «Диазолина».
  7. Жаропонижающие препараты при лихорадке – «Нурофен», «Ибупрофен», «Парацетамол».
  8. Местные антисептики для промывания носа и полоскания горла – «Фурацилин», «Хлорофиллипт», «Аквалор».
  9. Леденцы для рассасывания с антисептических эффектом – «Септолете», «Доктор Мом», «Граммидин», а также спреи – «Ингалипт», «Каметон», «Стопангин».
  10. Иммуномодуляторы для повышения защитных сил организма – «Полиоксидоний», «Ликопид», «Бронхомунал».
  11. Поливитамины и минеральные комплексы.

3475873878

Читайте также:

 

Как определить пневмонию или бронхит в домашних условиях

После купирования интоксикации назначают физиопроцедуры – электрофорез, УВЧ, индуктотермию, СВЧ-терапию, аэроионотерапию, ингаляции, а также массаж грудной клетки, иглоукалывание, ЛФК.

Своевременное и правильное лечение делает прогноз инфекции благоприятным. В противном случае заболевание приобретает затяжное течение, развиваются тяжелые осложнения, возможен смертельный исход.

Предупреждающие процедуры

Неспецифические профилактические мероприятия, предупреждающие развитие инфекции, вызываемой Streptococcus pneumoniae:

  • Раннее выявление и лечение больных и бактерионосителей,
  • Укрепление иммунитета — закаливание, спорт, правильное питание,
  • Борьба с табакокурением,
  • Отказ от употребления спиртных напитков,
  • Прием витаминов и минералов,
  • Сбалансированное питание,
  • Санация очагов хронической инфекции,
  • Соблюдение санитарно-гигиенических норм и правил,
  • Ношение одежды по сезону,
  • Защита организма от переохлаждения и сквозняков.

Специфическая профилактика заключается в массовой иммунизации населения. Для вакцинации успешно применяется полисахаридная поливалентная вакцина. Проводится она однократно. Ревакцинация показана лицам из группы риска. В настоящее время в нашей стране прививка от пневмококковой инфекции является обязательной. Она внесена в Национальный календарь Российской Федерации.

Видео: врач о пневмококковой инфекции

Видео: вакцинация от пневмококка – Доктор Комаровский

Мнения, советы и обсуждение:

Стрептококк вызывает многие заболевания человеческого организма, бактерия локализуется в носу, горле, легких, других органах и провоцирует воспалительные процессы. Стрептококк представляет собой сдвоенную бактерию в форме шара, которая активно присутствует на поверхности растений, проникает в почву, развивается в теле человека и теплокровных животных. Бактерия не всегда проявляет себя в виде патогенного возбудителя, действует только в определенных условиях. Иногда носитель инфекции не болеет, но способен заразить людей, находящихся в контакте с ним.

Возбудитель стрептококковой инфекции

Описание стрептококков

Стрептококки присутствуют на коже и слизистых оболочках почти у всех людей, поэтому заразиться бактерией можно от больного человека, или от абсолютно здорового носителя. Помимо легочных заболеваний, бактерия провоцирует ангину в зеве, ларингит и фарингит в горле, насморк в носовых пазухах. Так как развитие болезни стремительное, то пациенты сразу обращаются к врачу, поэтому запушенные формы заболевания встречаются редко.

Стрептококк в горле

Streptococcus занимают лидирующие позиции среди вредных микроорганизмов и провоцирует заболевания в 70% случаев от общего числа. Путем передачи признается воздушно-капельный, иногда наблюдаются случаи заражения ребенка через продукты питания или столовые приборы и посуду.

Началом болезни считается период, когда микробы осеменяют верхний слой слизистой горла, носа. В этот период бактерия вырабатывает особый белок, который предназначен для подавления деятельности иммунных клеток, микроорганизмы со временем подвергаются мутации и изобретают новые способы для проникновения в человеческий организм.

Подразделение стрептококков

Микроорганизмы делят на:

Разновидности стрептококков

  1. К группе А (альфа) относят гемолитический или зеленящий стрептококк, который долгое время может мирно обитать во рту и зеве. При активном внедрении способствует развитию воспалений носоглотки или провоцирует сердечный эндокардит.
  2. Группа В содержит горловой стафилококк, являющийся причиной общего сепсиса, менингита, фарингита, ангины. Распространенный вид инфекции, провокатор скарлатины у ребенка, Известный пиогенный streptococcus определяется как подвид этой группы.
  3. Бактерии группы Гамма не вызывают патологических изменений в организме, местом дислокации выбирают ротовую полость и кишечник.

Симптомы горлового стрептококка

В зависимости от возраста пациента эти проявления могут отличаться:

Симптомы появления стрептококка в горле у ребенка

  • у ребенка грудного возраста из носа появляются обильные выделения желтоватого или зеленоватого цвета, наблюдается субфебрильная температура, детки раздражены и плохо едят;
  • ребенок до трех лет проявляет беспокойство при глотании, не желает есть, отличается вялым поведением, при осмотре прощупываются лимфатические узлы в передней шейной области;
  • с увеличением возрастных показателей ребенок тяжелее переносит инфекционное воспаление, у подростков температура достигает высоких показателей, миндалины обсеяны налетом гноя, ощущается сильная боль при глотании, иногда дыхание затруднено и нет возможности проглотить слюну, в таких ситуациях нужно срочно вызывать скорую помощь.

Тонзиллит и ангина чаще всего возникают под воздействием гемолитического стрептококка. Резкое повышение температуры, слабость, недомогание, боль в глотке, разрастание в размерах лимфатических узлов под челюстью. Так как ангина относится к категории тяжелых болезней, то консультация доктора является обязательной. Болезнь у ребенка осложняется проблемами с почками, сердцем, чем ранее начата терапия антибиотиками, тем чаще болезнь протекает без существенных осложнений.

Горловая стрептококк пневмония часто приводит к развитию гломерулонефрита и ревматизма, это является следствием непрофессионального самостоятельного лечения антибиотикам по неприемлемой схеме или употребления только народных рецептов, которые должны рассматриваться как комплексное дополнение к основному лечению.

Иногда симптомы в горле ограничиваются только болью при глотании, подчелюстные узлы не выражены, температура не поднимается высоко, в таком случае можно говорить об обострении тонзиллита хронического течения. В любом случае правильный диагноз ребенку поставит врач, но нужно уделить внимание общеукрепляющим процедурам и поднятию иммунитета, чтобы преодолеть активность размножения бактериальных возбудителей.

Стрептококковая пневмония

Существуют негативные условия, которые способствуют развитию воспалительного процесса:

  • частое и неоправданное употребление для лечения антибиотиков;
  • пониженный иммунитет, приобретенный или хронический;
  • частые заболевания продолжительного течения;
  • плохое питание, антисанитарные условия проживания, работы;
  • переохлаждение всего организма или отдельных областей;
  • травмы горла или миндалин у ребенка.

Симптомы стрептококковой пневмонии

Читайте также:

 

Протокол ведения больных с внебольничными пневмониями

Streptococcus pneumoniae является воспалением легких, вызванным пиогенной разновидностью стрептококков группы А. Отмечается у пациентов в одном случае из пяти, поэтому частотой не отличается.

Крайне редко встречаются бессимптомные разновидности течения streptococcus pneumoniae, в таком случае говорят о скрытой пневмонии. S пневмония является сезонным заболеванием, так как привязана к жарким и влажным климатическим условиям, поэтому пик болезни приходится на осеннее и весеннее время. Воспаление легких иногда становится осложнением после другого инфицирования организма, например, ветрянки, ангины, тонзиллита, коклюша, кори. Ребенок часто болеет дети по причине недоразвитости легочной структуры и органов дыхания.

S пневмония является продолжением развития других болезней, которые вызываются стрептококками, но в некоторых случаях бактерии внедряются непосредственно в легочную ткань, минуя другие системы и органы.

Стрептококковая pneumoniae вызывается только бактериями streptococcus, являющимися аэробными грампозитивными палочками. В большинстве случаев агентом выступает альфа-гемолитические стрептококки, реже оказывают влияние бета-гемолитические возбудители. В очень редких случаях проявляют себя другие различные стрептококковые штаммы, которые условно подразделяют на условно патогенные и патогенные виды.

В обычных условиях в гортани ребенка постоянно присутствуют стрептококковые возбудители, нормой считается небольшое количество, которое определяется как 10 в 6 степени. Увеличение указанного числа ведет к тому, что бактерии переходят в разряд патогенных, и могут приводить к возникновению стрептококковой пневмонии.

Механизмы инфицирования организма

Вариантов попадания стрептококков в легкие есть несколько:

  • наиболее распространенным считается попадание возбудителя посредством дыхательных путей, то есть, механическим способом, такое случается при развитии нисходящего воспаления или при дыхании с патогенным количеством бактерий;
  • иногда причиной развития пневмонии является зараженная кровь, которая поступает в легкие из других инфицированных органов при развитии в них сепсиса;
  • редким способом инфицирования легочной ткани выступает путь, когда стрептококк переносится посредством лимфатического тока из больных органов;
  • Попадая на поверхность слизистой оболочки, бактерии проникают через нее, и оказывается в легочной ткани, где начинается процесс бурного размножения. Если областью локализации является плевральная область, то ожидается развитие экссудативного плеврита.

Пути инфицирования стрептококком

Картина пневмококковой инфекции в легких

Интоксикация организма ребенка развивается стремительно, иногда появляются симптомы сердечной и дыхательной недостаточности, что может вызвать тяжелые последствия для человека. В некоторых случаях больные испытывают удушающие приступы, боли в пораженном боку, аритмии, потерю сознания и памяти. Их всех экссудативных плевритов на детские случаи приходится около трети заболеваний. Изменения в легких под действием воспалительного процесса ведут к появлению абсцессов с хроническим течением, к общему сепсису, перикардиту.

Пневмония у детей

Проведение диагностики

Постановка диагноза у ребенка выполняется с обработкой данных анамнеза, немалое значение имеют другие действия:

Рентгенн-диагностика пневмонии

  • при выстукивании и прослушивании зоны легких наблюдается притупление перкуторного звучания, а в случае экссудативного вида плеврита звук приглушается по всему пораженному участку легкого;
  • для выслушивания зоны легких и для определения границы хрипов, свистов и везикулярного дыхания собирают аускультативные (прослушивание фоноскопом) данные;
  • основным и наиболее информативным способом определения пневмонии является рентген, на снимках четко обознаются области затемнения, которые говорят о воспалительных очагах, и уровень плевральной жидкости;
  • чтобы определить тип бактериального возбудителя делают анализ крови, для стрептококковой инфекции характерно проявление нейтрофильного лейкоцитоза, показывающее сдвиг лейкоцитов в левую сторону, повышение уровня тромбоцитов и показателя СОЭ;
  • берётся анализ на бактериальный посев. С его помощью различают тип этиологического возбудителя и выбирают антибиотик, к которому чувствительный этот агент;
  • при этом считают число условно-патогенных организмов, которые сравнивают со стандартной нормой;
  • дифференцируют заболевание с похожими вариантами пневмоний, например, стафилококковой, при которой развиваются совсем другие симптомы.

Медикаментозное лечение стафилококковой пневмонии

Основным методом лечения является назначение антибиотиков, прежде всего пенициллинов (аммоксициллин, азлоциллин, аугментин, ампициллин). При выявлении у больного аллергических ответов организма на предложенные противомикробные препараты, их меняют на средства с активным компонентом ванкомицин или эритромицин. Время лечения и дозы приема выбираются только лечащим врачом.

Медикаментозное лечение пневмонии

Помимо антибактериальных средств, врач выписывает диуретик, который способствует усиленному выведению мочи вместе с продуктами распада микроорганизмов, тем самым уменьшая уровень интоксикации организма. В качестве мочегонных препаратов назначают гипотиазид, лазикс, фуросемид. Допускается в качестве диуретика использование традиционных травяных отваров, например, земляники, толокнянки, брусники, березы, пижмы.

Чтобы не допустить развития дисбактериоза в кишечнике и для восстановления поврежденной кишечной микрофлоры приписывают пить эубиотики (нормобакт, бифидумбактерин, лацидофил, линекс) в которых активным веществом выступают высушенные и переработанные останки бифидо— и лактобактерии.

В лечении стрептококковой пневмонии в горле и легких обязательным является назначение витаминов и минералов. Прием элементов следует согласовать с врачом, так как некоторые не рекомендуется употреблять при высокой температуре.

Если течение заболевания осложняется возникновением экссудативного плеврита, то делают дренаж плевральной полости (торакоскопию). В поврежденное легкое вводят трубки, по которым выходит лишняя жидкость. Впоследствии вводят раствор антисептика и антибиотика. При правильно выбранном медикаментозном лечении пневмония проходит через 1,5–2 недели.

Дополнительные немедикаментозные процедуры

Электрофорез назначают для снятия воспаления с пораженных органов. Помимо этого, большое значение играют ингаляции, в результате которых лекарственные компоненты вместе с вдыхаемым воздухом активно проникают в бронхи и легкие, способствуют восстановлению дыхательных функций.

Методика электофореза при воспалении легких

В качестве антисептического средства при пневмонии эффективно помогают волны магнитной индукции повышенной частоты. Использование нетрадиционного метода иглоукалывания рекомендуется в период спада стрептококковой пневмонии, а назначение физиопроцедур противопоказано при поднятии температуры тела.

Стрептококковая инфекция представляет опасность для человеческого организма, и бороться с ней необходимо на первоначальном этапе, иначе возникнут описанные выше осложнения.

Ссылка на основную публикацию
Похожее