whatsapp telegram vkontakte email

Спайки в легких при пневмонии

Спайки в лёгких – не такое редкое явление даже в сравнении с самыми распространёнными лёгочными болезнями. Они появляются незаметно, часто проходят бессимптомно до определённого момента и больной может очень удивиться, обнаружив их у себя после, казалось бы, успешно вылеченного бронхита или пневмонии.

Механизм и причины развития

Спайки в лёгких это результат неудачно прошедшего воспалительного процесса. Возникают они постепенно, и только если лечение воспаления было неверным или долго откладывалось:

  • в плевральную полость, охватывающую лёгкие словно бы мешком и защищающую их от любых внешних воздействий, попадают патогенные микроорганизмы и начинают размножаться;
  • иммунная система реагирует на них и начинается воспаление;
  • на воспалённых участках появляется плёнка из белка фибрина, которая призвана изолировать их от всего остального органа и не дать инфекции распространиться;
  • плевральные листы соприкасаются, фибрин «склеивается»;
  • воспаление проходит, отступив перед лечением, листы расходятся, но листы, склеенные фибрином, были вместе слишком долго и потому не могут разойтись;
  • то место, где они так и остались соединены и называется спайкой – это соединительная ткань, которая мешает листам двигаться относительно друг друга и ограничивает подвижность лёгких.

Если спайка в лёгких одна, она не представляет особой опасности и обычно не проявляется симптомами. Но если спаек много, они фиксируют листы друг напротив друга, в результате чего движение плевры становится ограниченным и у больного возникают проблемы с дыханием.

Причиной появления спаек всегда является воспалительный процесс. Вызывать его может:

  • плеврит и пневмония – то есть, воспаление плевральных листов либо непосредственно лёгких, которое вызывает попавшая в организм инфекция и которое проявляется болями, кашлем, одышкой, повышением температуры и слабостью;
  • бронхит, острый или хронический, то есть, воспаление бронхов, которое сопровождается болями, мучительным кашлем, лихорадкой, удушьем;
  • заражение паразитами, которые живут в крови и проявляют себя слабостью, интоксикацией, головными болями, проблемами с дыханием и пищеварением;
  • рак лёгкого, который всегда сопровождается воспалением, а также болями, кашлем с отходом кровавой мокроты, одышкой, удушьем и ночным апноэ;
  • операции на лёгких, в ходе которых хирургу пришлось иметь дело с плеврой;
  • врождённые пороки развития или травмы лёгких – чаще всего закрытые.

Спайки – их ещё называют плевральные шварты – с большей вероятностью возникают, если в лёгких уже проходит процесс деградации, делающий их особенно уязвимыми. Причиной его может стать:

  • курение, при котором реснитчатый эпителий замещается гладкой мышечной тканью, погибают реснички и оседают внутри канцерогены и яды;
  • профессиональный контакт с аллергенами, при котором лёгкие изнутри постоянно раздражены и часть пыли в них так и оседает, не выводясь с мокротой;
  • неблагополучная экологическая обстановка, при которой лёгкие также постоянно раздражены.

Спайки в лёгких опасны, когда их больше одной, тем, что не дают плевральным листам двигаться относительно друг друга – это и приводит к возникновению симптомов.

Симптоматика

Симптомы шварта в лёгких неприятны и мало отличаются от стандартных для любой лёгочной болезни. Больным обычно отмечается:

  • одышка, которая возникает при попытке заниматься физической активностью – провоцирует её то, что лёгкие не способны полностью раскрыться и обеспечить организм кислородом;
  • боли в груди при физической активности – их провоцирует то, что плевральные листы всё же пытаются двигаться, дёргая и растягивая спайку;
  • тахикардия – попытка организма восполнить недостаток кислорода ускорением сердечного ритма и движения крови;
  • стандартные симптомы кислородного голодания – среди них изменение цвета кожи на более бледный и синюшный, головные боли, слабость, сонливость, вялость, сниженная мотивация ко всему, проблемы с когнитивными способностями, возможно, депрессивные состояния.

Если спаек становится слишком много, возможно постепенное развитие дыхательной недостаточности – одышка усиливается, со временем становится тяжело дышать. При физической активности может наступить приступ удушья, который нужно будет купировать с участием «скорой».

Диагностика

Лечение плевропульмональных спаек невозможно без точного диагноза, поставить который может только врач после всех необходимых диагностических мероприятий:

  • Сбор анамнеза. Врач спрашивает, какие симптомы беспокоят пациента, не было ли у него операций на лёгких, не переносил ли он недавно бронхит или пневмонию.
  • Пальпация. Врач прощупывает грудную клетку и осматривает больного.
  • Флюорография. На ней будут видны неподвижные тени по краям лёгкого, которые укажут на наличие лишней ткани.
  • Рентген. На нём также будут видны тени, положение которых не будет изменяться ни на вдохе, ни на выдохе. Более того, всё лёгочное поле будет затемнено.

По результатам диагностики врач определит, как расположены спайки – это могут быть плевродиафрагмальные спайки слева (расположенные внизу плевры), справа, с обеих сторон. Могут плевроапикальные спайки – то есть, расположенные в верхушечной части.

Расположение не влияет на симптоматику, но сказывается на лечении, если потребуется хирургическое вмешательство.

Лечение и профилактика

Плевродиафрагмальные спайки лечатся сначала консервативными методами, то есть, с применением физиотерапии и медикаментов. Лечение включает в себя:

  • Медикаменты. Как правило, если в лёгких есть спайки, это говорит о том, что в них идёт воспалительный процесс – до сих пор. Потому необходимо применение лекарственных средств, которые уничтожат возбудитель. Параллельно с антибиотиками применяются противовоспалительные средства и муколитики, которые снимают отёк, уменьшают воспаление и облегчают отход мокроты – в результате больному становится легче дышать.
  • Дренаж. Позволяет откачать из плевральной полости плевральный выпот, которого часто становится слишком много из-за наличия спаек. Для этого под ребро больному вводят пластиковую трубку, из которой постепенно выливается вся лишняя жидкость.
  • Изменение образа жизни. Чтобы спайки в лёгких ушли и не появились, больному рекомендуют заниматься физической активностью: гулять, плавать или ездить на велосипеде на свежем воздухе. Следует отказаться от вредных привычек, которые усугубляют течение любой болезни и начать правильно питаться: меньше жареного, солёного, перчёного, фастфуда и еды с консервантами. Больше жидкости, вареного, пареного, свежих овощей и фруктов. Также в диете должно быть больше белка: для этого в рацион нужно включить яйца, белое мясо, молоко и кисломолочные продукты.

Читайте также:

 

Синдром пневмонии при инфекционных заболеваниях

Всё вместе должно привести к тому, что спайки постепенно рассосутся, а общее состояние организма улучшится. Однако, если есть опасность развития дыхательной недостаточности, а спаек в лёгких много, не остаётся другого выхода кроме хирургического вмешательства:

  • Частичное удаление лёгкого. Удаляется часть плеврального листа, к которой крепится спайка. В результате проходят симптомы, но больному потребуется долгое восстановление – как и все полостные операции, эта требует большого мастерства от хирурга и большого количества сил от организма.
  • Полное удаление лёгкого. Удаляется весь плевральный лист, поражённый спайками, и доля лёгкого под ним. Это очень тяжёлая операция, после которой пациенту придётся всю жизнь придерживаться диеты и соблюдать определённые ограничения, но зато он будет спасён от вероятности умереть от удушья.

Плевральные спайки в лёгких это неприятно, и проще не допустить их развития, чем после лечить их – или даже ложиться на операцию. Тем более что профилактика не так сложна. Нужно:

  • Вовремя лечить все воспалительные процессы в лёгких. Если кашель не проходит за неделю, это повод посетить врача, а не переживать его на ногах. Если появляется температура, не нужно сбивать её жаропонижающими, лучше вызвать врача.
  • Придерживаться здорового образа жизни. Правильно питаться, заниматься физической активностью, пить витамины зимой – это поддержит иммунитет на должном уровне и снизит вероятность подхватить инфекцию.
  • Отказаться от курения и работать на вредных предприятиях в респираторе. Это уменьшит вероятность, что даже при воспалении в лёгких разовьются спайки.

Чтобы лечить спайки в лёгких, их нужно вовремя обнаружить. При появлении кашля, одышки, болей, не стоит списывать это на простуду – нужно посетить врача и начать лечение.

Редактор

Неля Савчук

Врач высшей категории

Плевродиафрагмальные спайки – это разросшиеся соединительные ткани, находящиеся между серозными оболочками полости плевры (ткань, покрывающая стенки грудного отдела и легких).

Уплотнения в легких могут быть как единичными, так и множественными. Нередко остаточные изменения становятся результатом ранее перенесенного воспаления легких.

В медицине они имеют и другие названия – синехия, плевропульмональная шварта или комиссура. Тотальное количество шварт приводит порой даже к полному срастанию соединительных тканей, что вызывает массу негативных последствий, в виде болевых ощущений и острой дыхательной недостаточности.

Механизм формирования

Образоваться спайки могут везде, где есть соединительная ткань. Причиной их возникновения, как правило, становится перенесенный воспалительный процесс, например, пневмония или плеврит. Развитию синехий также способствуют остротекущие бронхиты, поражение легкого паразитами, наличие саркомы, туберкулез, а также курение, травмы и онкология.

Спаечный процесс в легких

Еще одним фактором возникновения разрастаний является вдыхание вредных веществ, например, на химических предприятиях. Появляются спайки в результате слишком большого скопления жидкости в плевральной оболочке, что приводит к откладыванию фибрина (нерастворимый волокнистый белок), который в процессе выздоровления не исчезает и формируется в шварту.

Внимание! Опасность наличия спаек в легких заключается в возможном инфицировании срастаний соединительных тканей, что приводит к новообразованиям.

Симптомы

Симптоматика наличия спаек довольно схожа с признаками воспаления легких. Но заподозрить у себя наличие этой патологии вполне возможно. Наиболее частыми проявлениями являются:

  • Появление острой боли при дыхании.
  • Одышка при физических нагрузках.
  • Повышение температуры.
  • Беспричинное учащение сердцебиения.
  • Бледность кожных покровов.
  • Ощущение тяжести при вдохе и выдохе.
  • Усиленный частый кашель.
  • Головные боли.
  • Слабость, сонливость.
  • Проблемы с когнитивными способностями.

Перечисленные симптомы ни в коем случае нельзя оставлять без внимания, так как они могут быть причиной не только спаечных процессов, но и указывать на присутствие других заболеваний.

При образовании большого количества спаек может постепенно возникнуть дыхательная недостаточность – когда пациенту тяжело дышать, одышка усиливается. В результате физической нагрузки возможен приступ удушья, требующий неотложной помощи.

Диагностика

Выявить спайки без надлежащего обследования врача невозможно. Диагностирование начинается с устного опроса больного на предмет заболеваний в анамнезе, таких как бронхит или пневмония. Обязателен и вопрос о наличии перенесенных операций или травм грудины. После этого доктор проводит пальпацию, то есть ощупывает пальцами грудную клетку и осматривает пациента. Затем, при необходимости, назначается более подробная диагностика.

Читайте также:

 

Как накормить черепаху при пневмонии

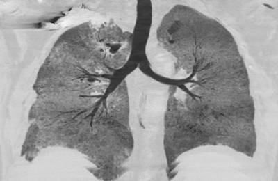
Самым распространенным методом диагностики легких является – флюорография. Но если врач подозревает, что у пациента есть спайки, то больной отправляется на рентген. По рентгеновскому снимку распознать синехию можно по мутным темным пятнам. Она выглядит, как теневое затемнение и неподвижна при вдохе и выдохе.

Плевродиафрагмальная спайка на снимке рентгена

Иногда выявляется деформация грудной клетки и диафрагмы. Чаще всего спаечный процесс отмечается в нижней части легкого. Такой вид спаек – плевродиафрагмальный, а вид спаек в верхней части – плевроапикальный.

Лечение

Лечение спаек основывается на запущенности процесса и причин, приводящих к его развитию. В период обострения у больных наблюдается слабая дыхательная активность, вследствие этого проводятся различные мероприятия, основанные на подавлении гнойно-воспалительного процесса, а также санация дыхательных путей. Процедура состоит в откачивании скопившейся жидкости через специальную трубку. Обязателен и прием антибиотиков, вводимых внутримышечно или внутривенно. В некоторых случаях такие препараты инфузируют эндобронхиальным введением во время санации.

Сращения, появляющиеся после воспалений, нередко покрывают практически всю зону легкого. Из-за растянутых тяжей, тотально локализованных по всей области плевры, человеку становится трудно дышать, вентиляция легких нарушается, что приводит к кислородному голоданию.

В этом случае назначается хирургическое вмешательство – лапароскопия. Операция основывается на разделении спаек посредством выжигания или разрезания сросшихся тканей. Методика проводится только в самых запущенных случаях, когда лечебный массаж и физиотерапия не оказывают должного эффекта.

Полезно знать! Лапароскопия – малоинвазивное вмешательство, основанное на введении специального инструмента – торакоскопа, с помощью которого можно не только осмотреть всю плевральную полость без касания к органам, но и удалить мелкие узлы и спайки.

Иногда может понадобиться удаление всего легкого. В таком случае полностью убирают пораженный спайками плевральный лист и ту долю легкого, которая находится под ним. Такое вмешательство очень тяжелое, после него пациенту необходимо постоянно соблюдать некоторые ограничения и придерживаться особой диеты.

Рекомендована умеренная физическая нагрузка – плавание, прогулки пешие и велосипедные. Нужно потреблять меньше соленого, перченого, жареного, фаст-фудов, острого. В рационе должна быть пареная и вареная пища, много жидкости, свежие фрукты и овощи.

Важно есть много белка – кисломолочные продукты, молоко, мясо белых сортов, яйца. Такой образ жизни и питание будут способствовать постепенному рассасыванию спаек и улучшению общего состояния пациента.

При развитии спаечного процесса целесообразен прием антибиотиков, так как принципом устранения сращиваний, является избавление от причины заболевания. В основном болезнь носит инфекционный характер, что дает «благодатную почву» для разрастания спаек. Терапия также включает в себя прием отхаркивающих препаратов, так как при спаечном процессе выход накапливаемого секрета затруднен. Для снятия отеков и уменьшения воспаления назначают противовоспалительные препараты и щелочное питье.

Заключение

Диагностировать, и тем более самостоятельно лечить спайки легких нельзя и даже опасно. После перенесенной пневмонии любые симптомы, проявляющиеся даже не слишком отчетливо, являются поводом для похода к врачу. Воспаление легких – заболевание серьезное, и последствия оно несет не менее значительные.

Спаечный процесс после неграмотно пролеченной пневмонии – явление частое и коварное, так как синихеи могут развиваться очень медленно, не вызывая никаких подозрений по поводу их наличия в легких. Постоянный контроль за своим здоровьем гарантирует своевременное избавление от негативных осложнений.

Большое распространение легочных заболеваний объясняется тем, что они, как правило, сопутствуют сезонным вирусным болезням. Редко кому хотя бы раз в год удается не заболеть ОРЗ или гриппом. В результате могут в легких могут образовываться плевральные спайки, которые негативно влияют на работу всего организма.

Чтобы не запустить заболевание, нужно вовремя обратиться к врачу, который поставит диагноз и назначит лечение.

  • Народные методы

Причины болезни

Спайки образуются в плевральной полости, которая находится между оболочками, покрывающими внутреннюю сторону грудной клетки и внешнюю сторону легких. Эта оболочка представляет собой гладкую поверхность с большим количеством нервных окончаний. Она заполнена жидкостью, которая выделяется на поверхности плевры, покрывающей грудную клетку, после чего всасывается через оболочку, прилегающую к легким.

Плеврит

Плеврит

Причины, приводящие к заболеванию плевры, бывают самыми разнообразными. Воспалительные процессы, протекающие в организме, могут привести к тому, что увеличивается количество образующейся жидкости. При этом выделяется белок, который оседает на поверхности плевры, делая ее шершавой. При глубоком дыхании поверхности трутся, раздражая нервные окончания, что приводит к возникновению кашля и болей в боках грудной клетки. Такая симптоматика характерна для такого заболевания как плеврит.

Иногда излишек жидкости в плевральной полости доходит до полутора литра. Такое увеличение происходит при повреждении оболочки легкого, когда жидкость не впитывается.

Это может привести к сжатию легкого, в результате чего у человека появляется отдышка, затрудняющая дыхание и вызывающая тяжесть в боках. Такие симптомы чаще всего сопутствуют болезням почек или сердечной недостаточности, также такая картина возможна при развитии туберкулеза или опухоли.

Читайте также:

 

Приснилось что я заболела пневмонией

Однако развитие болезни плевры необязательно связано с образованием избыточной жидкости в ней, хотя такие заболевания наиболее проблематичны. Причиной болезни могут быть плевральные спайки. Даже их незначительное количество может доставлять при дыхании боль. Образуются спайки после воспаления, когда рассасывается образовавшаяся при этом жидкость.

Больные легкие

Бывают случаи, когда спайки образовываются в большом количестве, при этом уменьшается свободное пространство. Это также приводит к снижению подвижности оболочек, что способствует сильной отдышке и затруднению дыхания. В таких случаях необходимо срочное лечение.

Спайки в легких

Они образуются в любом месте благодаря наличию соединительной ткани. Образованию спаек подвержены многие органы человеческого организма.

В плевре спайки представляют собой соединительную ткань, растущую между оболочками легкого и грудной клетки.

Они могут иметь единичную структуру, а могут так разрастаться, что в конечном итоге занимают всю плевральную полость. В этом случае нужна экстренная медицинская помощь.

Симптомы, которые возникают при наличии в плевральной полости спаек:

  • повышенное сердцебиение,
  • отдышка,
  • боли в грудном отделе,
  • нарушение вентиляции легких,
  • усиленный кашель,
  • бледная кожа,
  • повышенная температура.

Боль в груди

Как правило, образованию спаек предшествуют перенесенные легочные заболевания, которые служат толчком к их развитию. Выделяют основные болезни, которые являются первопричиной образования спаек:

  • воспаление легких,
  • бронхит,
  • туберкулез,
  • рак легких,
  • плеврит,
  • пневмония,
  • инфицирование легких,

Среди плевральных спаек можно выделить плевродиафрагмальные спайки, которые располагаются в нижней части грудной клетки. В основном толчком для их развития служат заболевания бронх. Рубцы образовываются в местах прилегания легкого к диафрагме.

Больные легкие

В небольшом количестве спайки не представляют опасности, однако нужно избегать вирусных заболеваний, которые провоцируют их развитие и увеличение количества. Что в конечном итоге может привести к легочной недостаточности.

Разрастаясь, спайки способны снизить кровообращение в легких, перекрывая сосуды, а также бронхи. Перекрытие бронхов, приводит к снижению уровня кислорода в крови. В спайках при длительном развитии возможно образование собственных сосудов и нервов.

Плевропульмональные рубцы, как правило, можно отнести к туберкулезным изменениям. В основном они происходят в верхней части плевры, причем на рентгене имеют прерывистый неровный вид. Такой спаечный процесс может происходить при хронических инфекционных болезнях.

Снимок легких

Плеврокостальные спайки в основном образовываются после фибринозных или гнойных плевритов, причем они развиваются очень быстро. Образующиеся утолщения плевры в основном происходят в боковых отделах, на стенках, по направлению к поверхности ребер легкого.

Диагностика и лечебные мероприятия

Для обнаружения легочных заболеваний в первую очередь используется флюорография. Эту процедуру необходимо проводить ежегодно, в основном она направлена на выявление ранней стадии туберкулеза. Однако опытный рентгенолог может выявить на снимке образовавшиеся плевральные спайки, которые выглядят тенями. Причем форма их не меняется в зависимости от вдоха и выдоха.

При необходимости дополнительно назначается рентген. Как правило, спайки располагаются в нижней части легкого. При этом будет более темная картинка, а также может быть частичная деформация грудной клетки и диафрагмы.

При диагностировании плевральных спаек дальнейшее лечение зависит от их количества и стадии развития. Как правило, достаточно терапевтического воздействия сопровождающегося физиопроцедурами.

Однако в случае запущенности болезни, когда развивается легочная недостаточность, и возникает угроза жизни пациента, применяется хирургическое вмешательство. При этом удаляется часть легкого, которую заполняют спайки. Такая операция получила название лобэктомия.

Лечащий врач

При обострении воспалительных процессов в легких, которые приводят к образованию спаек, нужно, прежде всего, их локализовать. Для этого используются антибиотики, которые вводятся внутривенно или внутримышечно. Как правило, такие процессы сопровождаются кашлем, поэтому необходимы препараты улучшающие отхождение мокроты.

После того, как воспаление будет остановлено, можно начинать ингаляции и электрофорез. Также при образовании плевральных спаек хорошо зарекомендовали себя дыхательная гимнастика и массаж грудной клетки.

Важно отметить, что при легочных заболеваниях большую роль играет правильное питание.

В рацион необходимо включать продукты, содержащие большое количество витаминов и белков. В меню пациента должны быть:

Полезная еда

  • рыба,
  • творог,
  • мясо,
  • овощи,
  • фрукты.

При предрасположенности организма к легочным болезням рекомендуется периодически проходить курортное лечение. Это будет способствовать оздоровлению организма. Также следует не подвергать организм переохлаждению, заниматься спортом и отказаться от вредных привычек.

Народные методы

Кроме лекарственных препаратов при борьбе со спайками хорошо использовать народные средства. Они недорогие, к тому же не нагружают организм как лекарства, и кроме того весьма эффективны. Вот некоторые рецепты, которые позволят избавиться от спаек:

  1. Для приготовления чая используют шиповник, крапиву и бруснику.

    Перемешав составляющие, их заливают кипятком и настаивают. Также хорошо помогает отвар, в который входят смородина, шиповник и малина.

  2. Эффективным средством показал себя отвар из зверобоя. Его легко можно собрать самостоятельно, а затем высушить и измельчить.
  3. Быстро помогает восстановить дыхание и избавиться от кашля применение эфирных масел.

Лечебные травы

Следует помнить, что нельзя заниматься самолечением, это может привести к необратимым процессам. Прежде всего, необходима консультация специалиста.

Загрузка…

Ссылка на основную публикацию
Похожее